Skip to main content

Key Product Details

Species Reactivity

Validated:

Human

Cited:

Human, Canine, Fish - Danio rerio (Zebrafish), Rabbit

Applications

Validated:

Immunohistochemistry, Western Blot, Simple Western, Immunoprecipitation

Cited:

Immunohistochemistry, Immunohistochemistry-Paraffin, Western Blot, Immunocytochemistry, ELISA Microarray Development

Label

Unconjugated

Antibody Source

Polyclonal Goat IgG

Product Specifications

Immunogen

Chinese hamster ovary cell line CHO-derived recombinant human MMP-2
Ile34-Cys660
Accession # P08253

Specificity

Detects human MMP-2 in direct ELISAs and Western blots.

Clonality

Polyclonal

Host

Goat

Isotype

IgG

Scientific Data Images for Human MMP-2 Antibody

Detection of Human MMP-2 antibody by Western Blot.

Detection of Human MMP-2 by Western Blot.

Western blot shows lysate of U-118-MG human glioblastoma/astrocytoma cell line. PVDF membrane was probed with 1 µg/mL of Goat Anti-Human MMP-2 Antigen Affinity-purified Polyclonal Antibody (Catalog # AF902) followed by HRP-conjugated Anti-Goat IgG Secondary Antibody (HAF017). A specific band was detected for MMP-2 at approximately 72 kDa (as indicated). This experiment was conducted under reducing conditions and using Immunoblot Buffer Group 1.
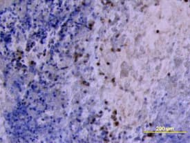
MMP-2 antibody in Human Ovarian Cancer Tissue by Immunohistochemistry (IHC-P).

MMP‑2 in Human Ovarian Cancer Tissue.

MMP-2 was detected in immersion fixed paraffin-embedded sections of human ovarian cancer tissue using Goat Anti-Human MMP-2 Antigen Affinity-purified Poly-clonal Antibody (Catalog # AF902) at 10 µg/mL overnight at 4 °C. Tissue was stained using the Anti-Goat HRP-DAB Cell & Tissue Staining Kit (brown; CTS008) and counter-stained with hematoxylin (blue). View our protocol for Chromogenic IHC Staining of Paraffin-embedded Tissue Sections.
MMP-2 antibody in Human Ovary by Immunohistochemistry (IHC-P).

MMP‑2 in Human Ovary.

MMP-2 was detected in immersion fixed paraffin-embedded sections of human ovarian array using Goat Anti-Human MMP-2 Antigen Affinity-purified Polyclonal Antibody (Catalog # AF902) at 10 µg/mL overnight at 4 °C. Tissue was stained using the Anti-Goat HRP-DAB Cell & Tissue Staining Kit (brown; CTS008) and counterstained with hematoxylin (blue). Lower panel shows a lack of labeling if primary antibodies are omitted and tissue is stained only with secondary antibody followed by incubation with detection reagents. View our protocol for Chromogenic IHC Staining of Paraffin-embedded Tissue Sections.

Applications for Human MMP-2 Antibody

Application
Recommended Usage

Immunohistochemistry

5-15 µg/mL
Sample: Immersion fixed paraffin-embedded sections of human ovarian cancer tissue and normal human ovarian array

Immunoprecipitation

25 µg/mL
Sample: Conditioned cell culture medium spiked with Recombinant Human MMP-2 (Catalog # 902-MP), see our available Western blot detection antibodies

Simple Western

10 µg/mL
Sample: U‑118‑MG human glioblastoma/astrocytoma cell line

Western Blot

1 µg/mL
Sample: U‑118‑MG human glioblastoma/astrocytoma cell line

Reviewed Applications

Read 4 reviews rated 4.3 using AF902 in the following applications:

Formulation, Preparation, and Storage

Purification

Antigen Affinity-purified

Reconstitution

Reconstitute at 0.2 mg/mL in sterile PBS. For liquid material, refer to CoA for concentration.

Reconstitution Buffer Available:
Size / Price
Qty
Loading...

Formulation

Lyophilized from a 0.2 μm filtered solution in PBS with Trehalose. *Small pack size (SP) is supplied either lyophilized or as a 0.2 µm filtered solution in PBS.

Shipping

Lyophilized product is shipped at ambient temperature. Liquid small pack size (-SP) is shipped with polar packs. Upon receipt, store immediately at the temperature recommended below.

Stability & Storage

Use a manual defrost freezer and avoid repeated freeze-thaw cycles.
  • 12 months from date of receipt, -20 to -70 °C as supplied.
  • 1 month, 2 to 8 °C under sterile conditions after reconstitution.
  • 6 months, -20 to -70 °C under sterile conditions after reconstitution.

Background: MMP-2

Matrix metalloproteinases are a family of zinc and calcium dependent endopeptidases with the combined ability to degrade all the components of the extracellular matrix. MMP-2 (gelatinase A), a type IV collagenase, can degrade a broad range of substrates including type IV, V, VII and X collagens as well as elastin and fibronectin. It is believed to act synergistically with interstitial collagenase (MMP-1) in the degradation of fibrillar collagens as it degrades their denatured gelatin forms. MMP-2 has been shown to be associated with many connective tissue cells as well as neutrophils, macrophages and monocytes. Structurally, MMP-2 may be divided into several distinct domains: a pro-domain which is cleaved upon activation; a catalytic domain containing the zinc binding site; a fibronectin-like domain thought to play a role in substrate targeting; and a carboxyl terminal (hemopexin-like) domain containing 2 N-linked glycosylation sites.

Long Name

Matrix Metalloproteinase 2

Alternate Names

Gelatinase A, MMP2

Entrez Gene IDs

4313 (Human); 17390 (Mouse)

Gene Symbol

MMP2

UniProt

Additional MMP-2 Products

Product Documents for Human MMP-2 Antibody

Certificate of Analysis

To download a Certificate of Analysis, please enter a lot number in the search box below.

Note: Certificate of Analysis not available for kit components.

Product Specific Notices for Human MMP-2 Antibody

For research use only

Loading...
Loading...
Loading...
Loading...