Human Mer Antibody
R&D Systems, part of Bio-Techne | Catalog # AF891

Key Product Details
Validated by
Species Reactivity
Validated:
Cited:
Applications
Validated:
Cited:
Label
Antibody Source
Product Specifications
Immunogen
Arg26-Ala499
Accession # Q12866
Specificity
Clonality
Host
Isotype
Scientific Data Images for Human Mer Antibody
Detection of Human Mer by Western Blot.
Western blot shows lysates of U937 human histiocytic lymphoma cell line and PANC-1 human pancreatic carcinoma cell line. PVDF membrane was probed with 1 µg/mL of Goat Anti-Human Mer Antigen Affinity-purified Polyclonal Antibody (Catalog # AF891) followed by HRP-conjugated Anti-Goat IgG Secondary Antibody (Catalog # HAF017). A specific band was detected for Mer at approximately 170-230 kDa (as indicated). This experiment was conducted under reducing conditions and using Immunoblot Buffer Group 1.Western Blot Shows Human Mer Specificity by Using Knockout Cell Line.
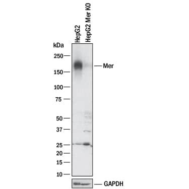
Western blot shows lysates of HepG2 human hepatocellular carcinoma parental cell line and Mer knockout HepG2 cell line (KO). PVDF membrane was probed with 1 µg/mL of Goat Anti-Human Mer Antigen Affinity-purified Polyclonal Antibody (Catalog # AF891) followed by HRP-conjugated Anti-Goat IgG Secondary Antibody (Catalog # HAF017). A specific band was detected for Mer at approximately 175 kDa (as indicated) in the parental HepG2 cell line, but is not detectable in knockout HepG2 cell line. GAPDH (Catalog # AF5718) is shown as a loading control. This experiment was conducted under reducing conditions and using Immunoblot Buffer Group 1.Applications for Human Mer Antibody
CyTOF-ready
Flow Cytometry
Sample: Human peripheral blood monocytes
Knockout Validated
Western Blot
Sample: U937 human histiocytic lymphoma cell line and PANC‑1 human pancreatic carcinoma cell line
Reviewed Applications
Read 1 review rated 5 using AF891 in the following applications:
Formulation, Preparation, and Storage
Purification
Reconstitution
Formulation
Shipping
Stability & Storage
- 12 months from date of receipt, -20 to -70 °C as supplied.
- 1 month, 2 to 8 °C under sterile conditions after reconstitution.
- 6 months, -20 to -70 °C under sterile conditions after reconstitution.
Background: Mer
Axl (Ufo, Ark), Dtk (Sky, Tyro3, Rse, Brt) and Mer (human and mouse homologues of chicken c-Eyk) constitute a receptor tyrosine kinase subfamily. The extracellular domains of these proteins contain two Ig-like motifs and two fibronectin type III motifs. This characteristic topology is also found in neural cell adhesion molecules and in receptor tyrosine phosphatases. These receptors bind the vitamin K-dependent protein growth-arrest-specific gene 6 (Gas6) which is structurally related to the anticoagulation factor protein S. Binding of Gas6 induces receptor autophosphorylation and downstream signaling pathways that can lead to cell proliferation, migration or the prevention of apoptosis. Recent studies suggest that this family of tyrosine kinase receptors may be involved in hematopoiesis, embryonic development, tumorigenesis and regulation of testicular functions.
References
- Nagata, K. et al. (1996) J. Biol. Chem. 22:30022.
- Crosier, K.E. and P.S Crosier (1997) Pathology 29:131.
Long Name
Alternate Names
Gene Symbol
UniProt
Additional Mer Products
Product Documents for Human Mer Antibody
Product Specific Notices for Human Mer Antibody
For research use only