Skip to main content

Key Product Details

Validated by

Knockout/Knockdown

Species Reactivity

Validated:

Human

Cited:

Human, Mouse, Transgenic Mouse

Applications

Validated:

Immunohistochemistry, Western Blot, Immunocytochemistry, Simple Western, Chromatin Immunoprecipitation (ChIP)

Cited:

Immunohistochemistry, Immunohistochemistry-Paraffin, Western Blot, Immunocytochemistry, Immunoprecipitation, Chromatin Immunoprecipitation (ChIP), ChIP (chromatin immunoprecipit, Mobility Shift Assay

Label

Unconjugated

Antibody Source

Polyclonal Goat IgG

Product Specifications

Immunogen

E. coli-derived recombinant human KLF4
Ala2-Phe470
Accession # AAH29923

Specificity

Detects human KLF4 in direct ELISAs and Western blots.

Clonality

Polyclonal

Host

Goat

Isotype

IgG

Scientific Data Images for Human KLF4 Antibody

Detection of Human KLF4 antibody by Western Blot.

Detection of Human KLF4 by Western Blot.

Western blot shows lysates of HT-29 human colon adenocarcinoma cell line, SW480 human colorectal adenocarcinoma cell line, and HCT-116 human colorectal carcinoma cell line. PVDF membrane was probed with 0.5 µg/mL of Goat Anti-Human KLF4 Antigen Affinity-purified Polyclonal Antibody (Catalog # AF3640) followed by HRP-conjugated Anti-Goat IgG Secondary Antibody (HAF109). A specific band was detected for KLF4 at approximately 60 kDa (as indicated). This experiment was conducted under reducing conditions and using Immunoblot Buffer Group 5.
KLF4 antibody in BG01V Human Stem Cells by Immunocytochemistry (ICC).

KLF4 in BG01V Human Stem Cells.

KLF4 was detected in immersion fixed BG01V human embryonic stem cells using 10 µg/mL Goat Anti-Human KLF4 Antigen Affinity-purified Polyclonal Antibody (Catalog # AF3640) for 3 hours at room temperature. Cells were stained with the NorthernLights™ 557-conjugated Anti-Goat IgG Secondary Antibody (red; NL001) and counterstained with DAPI (blue). View our protocol for Fluorescent ICC Staining of Cells on Coverslips.
Detection of KLF4-regulated Genes antibody by Chromatin Immunoprecipitation.

Detection of KLF4-regulated Genes by Chromatin Immunoprecipitation.

BG01V human embryonic stem cells were fixed using formaldehyde, resuspended in lysis buffer, and sonicated to shear chromatin. KLF4/DNA complexes were immunoprecipitated using 5 µg Goat Anti-Human KLF4 Antigen Affinity-purified Polyclonal Antibody (Catalog # AF3640) or control antibody (AB-108-C) for 15 minutes in an ultrasonic bath, followed by Biotinylated Anti-Goat IgG Secondary Antibody (BAF109). Immunocomplexes were captured using 50 µL of MagCellect Streptavidin Ferrofluid (MAG999) and DNA was purified using chelating resin solution. TheB2Rpromoter was detected by standard PCR.

Applications for Human KLF4 Antibody

Application
Recommended Usage

Chromatin Immunoprecipitation (ChIP)

5 µg/5 x 106 cells
Sample: BG01V human embryonic stem cell chromatin, B2R promoter detected by standard PCR.

Immunocytochemistry

5-15 µg/mL
Sample: Immersion fixed BG01V human embryonic stem cells, HT 29 Human Colon Adenocarcinoma Cell Line (positive) and HDLM‑2 Human Hodgkin's Lymphoma Cell Line (negative) Cells

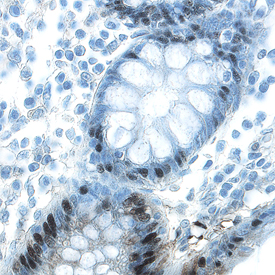
Immunohistochemistry

15 µg/mL
Sample:

Immersion fixed paraffin-embedded sections of human colon

Simple Western

25 µg/mL
Sample: HT‑29 human colon adenocarcinoma cell line

Western Blot

0.5 µg/mL
Sample: HT‑29 human colon adenocarcinoma cell line, SW480 human colorectal adenocarcinoma cell line, and HCT‑116 human colorectal carcinoma cell line

Reviewed Applications

Read 2 reviews rated 4 using AF3640 in the following applications:

Formulation, Preparation, and Storage

Purification

Antigen Affinity-purified

Reconstitution

Reconstitute at 0.2 mg/mL in sterile PBS. For liquid material, refer to CoA for concentration.

Reconstitution Buffer Available:
Size / Price
Qty
Loading...

Formulation

Lyophilized from a 0.2 μm filtered solution in PBS with Trehalose. *Small pack size (SP) is supplied either lyophilized or as a 0.2 µm filtered solution in PBS.

Shipping

Lyophilized product is shipped at ambient temperature. Liquid small pack size (-SP) is shipped with polar packs. Upon receipt, store immediately at the temperature recommended below.

Stability & Storage

Use a manual defrost freezer and avoid repeated freeze-thaw cycles.
  • 12 months from date of receipt, -20 to -70 °C as supplied.
  • 1 month, 2 to 8 °C under sterile conditions after reconstitution.
  • 6 months, -20 to -70 °C under sterile conditions after reconstitution.

Background: KLF4

Human KLF4, also known as epithelial zinc finger protein (EZF), is a 53 kDa (470 aa) member of the kruppel C2H2-type zinc finger protein family. It contains three C2H2-type zinc fingers at the carboxyl terminus that preferentially bind to cis-DNA elements that are GC rich. KLF4 regulates the expression of target genes that are involved in different cellular functions. KLF4 is highly expressed in the epithelial cells of the skin and the gastrointestinal tract. Human and mouse KLF4 share 90% amino acid sequence identity.

Long Name

Kruppel-Like Factor 4

Alternate Names

EZF

Entrez Gene IDs

9314 (Human)

Gene Symbol

KLF4

UniProt

Additional KLF4 Products

Product Documents for Human KLF4 Antibody

Certificate of Analysis

To download a Certificate of Analysis, please enter a lot number in the search box below.

Note: Certificate of Analysis not available for kit components.

Product Specific Notices for Human KLF4 Antibody

For research use only

Loading...
Loading...
Loading...
Loading...
Loading...