Skip to main content

Key Product Details

Species Reactivity

Human

Applications

Immunohistochemistry, Western Blot

Label

Unconjugated

Antibody Source

Monoclonal Mouse IgG2B Clone # 1064818

Product Specifications

Immunogen

Mouse myeloma cell line NS0-derived recombinant human GM-CSF Ralpha
Met1-Gly320
Accession # P15509

Specificity

Detects human GM-CSF in direct ELISA.

Clonality

Monoclonal

Host

Mouse

Isotype

IgG2B

Scientific Data Images for Human GM-CSF R alpha Antibody

Detection of GM-CSF R alpha in Melanoma.

GM-CSF R alpha was detected in immersion fixed paraffin-embedded sections of Melanoma using Mouse Anti-Human GM-CSF R alpha Monoclonal Antibody (Catalog # MAB7062) at 5 µg/mL for 1 hour at room temperature followed by incubation with the Anti-Mouse IgG VisUCyte™ HRP Polymer Antibody (Catalog # VC001). Before incubation with the primary antibody, tissue was subjected to heat-induced epitope retrieval using VisUCyte Antigen Retrieval Reagent-Basic (Catalog # VCTS021). Tissue was stained using DAB (brown) and counterstained with hematoxylin (blue). Specific staining was localized to cell surface in cancer cells. View our protocol for IHC Staining with VisUCyte HRP Polymer Detection Reagents.

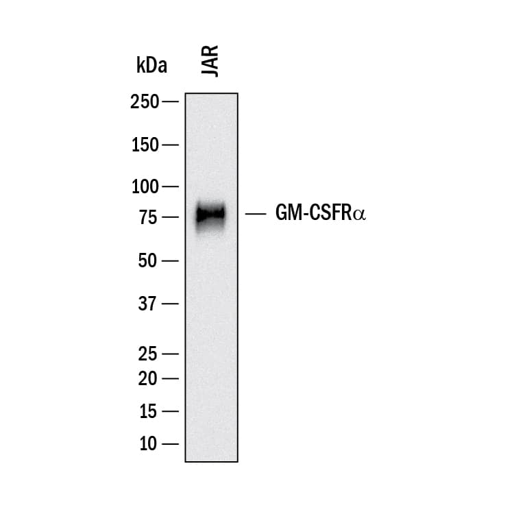
Detection of Human GM-CSF R alpha by Western Blot.

Western blot shows lysates of JAR human choriocarcinoma cells. PVDF membrane was probed with 2 µg/mL of Mouse Anti-Human GM-CSF R alpha Monoclonal Antibody (Catalog # MAB7062) followed by HRP-conjugated Anti-Mouse IgG Secondary Antibody (Catalog # HAF018). A specific band was detected for GM-CSF R alpha at approximately 80 kDa (as indicated). This experiment was conducted under reducing conditions and using Western Blot Buffer Group 1.

Applications for Human GM-CSF R alpha Antibody

Application
Recommended Usage

Immunohistochemistry

5-15 µg/mL
Sample: Immersion fixed paraffin-embedded sections of Melanoma

Western Blot

2 µg/mL
Sample: JAR human choriocarcinoma cells

Formulation, Preparation, and Storage

Purification

Protein A or G purified from hybridoma culture supernatant

Reconstitution

Reconstitute at 0.5 mg/mL in sterile PBS. For liquid material, refer to CoA for concentration.

Reconstitution Buffer Available:
Size / Price
Qty
Loading...

Formulation

Lyophilized from a 0.2 μm filtered solution in PBS with Trehalose. *Small pack size (SP) is supplied either lyophilized or as a 0.2 µm filtered solution in PBS.

Shipping

Lyophilized product is shipped at ambient temperature. Liquid small pack size (-SP) is shipped with polar packs. Upon receipt, store immediately at the temperature recommended below.

Stability & Storage

Use a manual defrost freezer and avoid repeated freeze-thaw cycles.
  • 12 months from date of receipt, -20 to -70 °C as supplied.
  • 1 month, 2 to 8 °C under sterile conditions after reconstitution.
  • 6 months, -20 to -70 °C under sterile conditions after reconstitution.

Background: GM-CSF R alpha

Granulocyte macrophage colony stimulating factor receptor alpha (GM-CSF R alpha), also known as CD116, is a component of the receptor complex that mediates cellular responses to GM-CSF. GM-CSF promotes the differentiation and mobilization of granulocyte-macrophage, erythroid, megakaryocyte, and eosinophil progenitors. It enhances the activation of myeloid cell effector functions and plays a role in the development of Th1 biased immune responses, allergic inflammation, and autoimmunity (1‑4). Mature human GM-CSF R alpha is an 80 kDa type I transmembrane glycoprotein that consists of a 298 amino acid (aa) extracellular domain (ECD) with two fibronectin type III domains and a juxtamembrane WSxWS motif, a 26 aa transmembrane segment, and a 54 aa cytoplasmic domain (5). Within the ECD, human GM-CSF R alpha shares approximately 33% aa sequence identity with mouse and rat GM-CSF R alpha. Alternative splicing of human GM-CSF R alpha generates several additional isoforms that lack the cytoplasmic and/or transmembrane regions. Soluble forms of the receptor retain the ability to bind GM-CSF (6, 7). GM-CSF R alpha is expressed on hematopoietic stem cells, progenitor and differentiated cells in the myeloid lineage, vascular endothelial cells, placenta, and non-hematopoietic solid tumor cells (8). GM-CSF R alpha associates with the common beta chain/CD131 ( betac), a 135 kDa transmembrane protein that is also the signal transducing component of the receptors for IL-3 and IL-5 (9, 10). Association with betac converts GM-CSF R alpha from a low affinity to a high affinity receptor for GM-CSF (9‑11). The shared usage of betac underlies the synergism between GM-CSF, IL-3, and IL-5 in their effects on myeloid cell differentiation and activation (1, 2).

References

  1. Martinez-Moczygemba, M. and D.P. Huston (2003) J. Allergy Clin. Immunol. 112:653.
  2. Fleetwood, A.J. et al. (2005) Crit. Rev. Immunol. 25:405.
  3. Eksioglu, E.A. et al. (2007) Exp. Hematol. 35:1163.
  4. Cao, Y. (2007) J. Clin. Invest. 117:2362.
  5. Gearing, D.P. et al. (1989) EMBO J. 8:3667.
  6. Pelley, J.L. et al. (2007) Exp. Hematol. 35:1483.
  7. Raines, M.A. et al. (1991) Proc. Natl. Acad. Sci. USA 88:8203.
  8. Chiba, S. et al. (1990) Cell Regul. 1:327.
  9. Kitamura, T. et al. (1991) Proc. Natl. Acad. Sci. USA 88:5082.
  10. Hayashida, K. et al. (1990) Proc. Natl. Acad. Sci. USA 87:9655.
  11. Hoang, T. et al. (1993) J. Biol. Chem. 268:11881.

Long Name

Granulocyte Macrophage Growth Factor Receptor alpha

Alternate Names

CD116, CSF2R, CSF2RA, CSF2RY, GM-CSFRa, GMCSFR alpha

Entrez Gene IDs

1438 (Human); 12982 (Mouse); 102139775 (Cynomolgus Monkey)

Gene Symbol

CSF2RA

UniProt

Additional GM-CSF R alpha Products

Product Documents for Human GM-CSF R alpha Antibody

Certificate of Analysis

To download a Certificate of Analysis, please enter a lot number in the search box below.

Note: Certificate of Analysis not available for kit components.

Product Specific Notices for Human GM-CSF R alpha Antibody

For research use only

Loading...
Loading...
Loading...
Loading...