Skip to main content

Human ErbB2/Her2 Herstatin Isoform Antibody

R&D Systems, part of Bio-Techne | Catalog # MAB11291

Key Product Details

Species Reactivity

Human

Applications

Multiplex Immunofluorescence, Immunohistochemistry, COMET

Label

Unconjugated

Antibody Source

Monoclonal Mouse IgG2B Clone # 416711

Product Specifications

Immunogen

S. frugiperda insect ovarian cell line Sf 21-derived recombinant human ErbB2/Her2 Herstatin Isoform
Thr23-Gly419
Accession # AAD56009

Specificity

Detects human ErbB2/Her2 Herstatin Isoform in direct ELISAs and Western blots. In direct ELISAs and Western blots, no cross-reactivity with recombinant human (rh) EGFR or rhErbB3 is observed.

Clonality

Monoclonal

Host

Mouse

Isotype

IgG2B

Scientific Data Images for Human ErbB2/Her2 Herstatin Isoform Antibody

Detection of HER2 in Human Breast Cancer via Multiplex Immunofluorescence staining on COMET™​

HER2 was detected in immersion fixed paraffin-embedded sections of human breast cancer using Mouse Anti-Human ErbB2/HER2 Monoclonal Antibody (Catalog # MAB11291) at 12ug/mL at 37 ° Celsius for 4 minutes. Before incubation with the primary antibody, tissue underwent an all-in-one dewaxing and antigen retrieval preprocessing using PreTreatment Module (PT Module) and Dewax and HIER Buffer H (pH 9). Tissue was stained using the Alexa Fluor™ 647 Goat anti-Mouse IgG Secondary Antibody at 1:200 at 37 ° Celsius for 2 minutes. (Yellow; Lunaphore Catalog # DR647MS) and counterstained with DAPI (blue; Lunaphore Catalog # DR100). Specific staining was localized to the cytoplasm. Protocol available in COMET™ Panel Builder.​
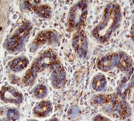
ErbB2/Her2 antibody in Human Breast Cancer Tissue by Immunohistochemistry (IHC-P).

ErbB2/Her2 in Human Breast Cancer Tissue.

ErbB2/Her2 was detected in immersion fixed paraffin-embedded sections of human breast cancer tissue using Mouse Anti-Human ErbB2/Her2 Herstatin Isoform Monoclonal Antibody (Catalog # MAB11291) at 8 µg/mL overnight at 4 °C. Tissue was stained using the Anti-Mouse HRP-DAB Cell & Tissue Staining Kit (brown; Catalog # CTS002) and counterstained with hematoxylin (blue). Specific labeling was localized to the cytoplasm of cancer cells. View our protocol for Chromogenic IHC Staining of Paraffin-embedded Tissue Sections.
ErbB2/Her2 antibody in Human Breast by Immunohistochemistry (IHC-P).

ErbB2/Her2 in Human Breast.

ErbB2/Her2 was detected in immersion fixed paraffin-embedded sections of human breast using Mouse Anti-Human ErbB2/Her2 Herstatin Isoform Monoclonal Antibody (Catalog # MAB11291) at 25 µg/mL overnight at 4 °C. Tissue was stained using the Anti-Mouse HRP-DAB Cell & Tissue Staining Kit (brown; Catalog # CTS002) and counterstained with hematoxylin (blue). View our protocol for Chromogenic IHC Staining of Paraffin-embedded Tissue Sections.

Applications for Human ErbB2/Her2 Herstatin Isoform Antibody

Application
Recommended Usage

COMET

Immunohistochemistry

8-25 µg/mL
Sample: Immersion fixed paraffin-embedded sections of human breast cancer tissue

Multiplex Immunofluorescence

12 µg/mL
Sample: Immersion fixed paraffin-embedded sections of human Breast Cancer

Reviewed Applications

Read 4 reviews rated 4.8 using MAB11291 in the following applications:

Formulation, Preparation, and Storage

Purification

Protein A or G purified from hybridoma culture supernatant

Reconstitution

Reconstitute at 0.5 mg/mL in sterile PBS. For liquid material, refer to CoA for concentration.

Reconstitution Buffer Available:
Size / Price
Qty
Loading...

Formulation

Lyophilized from a 0.2 μm filtered solution in PBS with Trehalose. See Certificate of Analysis for details.
*Small pack size (-SP) is supplied either lyophilized or as a 0.2 µm filtered solution in PBS.

Shipping

Lyophilized product is shipped at ambient temperature. Liquid small pack size (-SP) is shipped with polar packs. Upon receipt, store immediately at the temperature recommended below.

Stability & Storage

Use a manual defrost freezer and avoid repeated freeze-thaw cycles.
  • 12 months from date of receipt, -20 to -70 °C as supplied.
  • 1 month, 2 to 8 °C under sterile conditions after reconstitution.
  • 6 months, -20 to -70 °C under sterile conditions after reconstitution.

Background: ErbB2/Her2

Herstatin is a secreted 68 kDa glycoprotein encoded by an alternate transcript of the HER-2/neu (erbB-2) gene containing the N-terminal 304 amino acids (aa) of subdomain I and II, and 79 intron-encoded aa at the C-terminus. It is an endogenous inhibitor of the EGF receptor family that disrupts receptor interactions and inhibits growth of tumor cells that overexpress HER-2.

Long Name

Receptor Tyrosine Protein Kinase ErbB2

Alternate Names

CD340, HER2, Neu Oncogene, NGL, TKR1

Entrez Gene IDs

2064 (Human); 13866 (Mouse); 24337 (Rat); 102146608 (Cynomolgus Monkey)

Gene Symbol

ERBB2

UniProt

Additional ErbB2/Her2 Products

Product Documents for Human ErbB2/Her2 Herstatin Isoform Antibody

Certificate of Analysis

To download a Certificate of Analysis, please enter a lot number in the search box below.

Note: Certificate of Analysis not available for kit components.

Product Specific Notices for Human ErbB2/Her2 Herstatin Isoform Antibody

For research use only

Loading...
Loading...
Loading...
Loading...
Loading...