Skip to main content

Key Product Details

Validated by

Knockout/Knockdown

Species Reactivity

Validated:

Human

Cited:

Human, Mouse

Applications

Validated:

Immunohistochemistry, Western Blot, ELISA Detection (Matched Antibody Pair), Immunocytochemistry

Cited:

Immunohistochemistry, Western Blot

Label

Biotin

Antibody Source

Polyclonal Goat IgG

Product Specifications

Immunogen

Mouse myeloma cell line NS0-derived recombinant human Endoglin
Glu26-Gly256
Accession # Q5T9B9

Specificity

Detects human Endoglin in ELISAs and Western blots. In sandwich ELISAs, less than 0.2% cross-reactivity with recombinant mouse Endoglin, recombinant human (rh) Activin A, and rhTGF‑ beta1 is observed.

Clonality

Polyclonal

Host

Goat

Isotype

IgG

Scientific Data Images for Human Endoglin/CD105 Biotinylated Antibody

Endoglin/CD105 antibody in U937 Human Cell Line by Immunocytochemistry (ICC).

Endoglin/CD105 in U937 Human Cell Line.

Endoglin/CD105 was detected in immersion fixed U937 human histiocytic lymphoma cell line using Goat Anti-Human Endoglin/CD105 Biotinylated Antigen Affinity-purified Polyclonal Antibody (Catalog # BAF1097) at 10 µg/mL for 3 hours at room temperature. Cells were stained using the NorthernLights™ 557-conjugated Streptavidin (red; Catalog # NL999) and counterstained with DAPI (blue). View our protocol for Fluorescent ICC Staining of Cells on Coverslips.
Endoglin/CD105 antibody in Human Prostate by Immunohistochemistry (IHC-P).

Endoglin/CD105 in Human Prostate.

Endoglin/CD105 was detected in immersion fixed paraffin-embedded sections of human prostate using Goat Anti-Human Endoglin/CD105 Biotinylated Antigen Affinity-purified Polyclonal Antibody (Catalog # BAF1097) at 15 µg/mL overnight at 4 °C. Tissue was stained using the Anti-Goat HRP-DAB Cell & Tissue Staining Kit (brown; Catalog # CTS008) and counterstained with hematoxylin (blue). View our protocol for Chromogenic IHC Staining of Paraffin-embedded Tissue Sections.
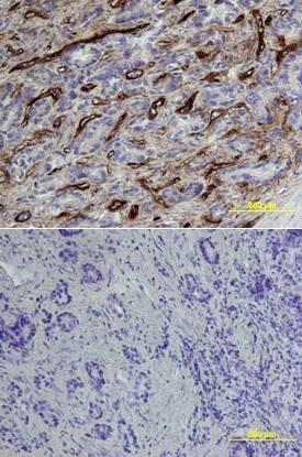
Endoglin/CD105 antibody in Human Prostate by Immunohistochemistry (IHC-P).

Endoglin/CD105 in Human Prostate.

Endoglin/CD105 was detected in immersion fixed paraffin-embedded sections of human prostate array using Goat Anti-Human Endoglin/CD105 Biotinylated Antigen Affinity-purified Polyclonal Antibody (Catalog # BAF1097) at 15 µg/mL overnight at 4 °C. Tissue was stained using the Anti-Goat HRP-DAB Cell & Tissue Staining Kit (brown; Catalog # CTS008) and counterstained with hematoxylin (blue). Lower panel shows a lack of labeling if primary antibodies are omitted and tissue is stained only with secondary antibody followed by incubation with detection reagents. View our protocol for Chromogenic IHC Staining of Paraffin-embedded Tissue Sections.

Applications for Human Endoglin/CD105 Biotinylated Antibody

Application
Recommended Usage

Immunocytochemistry

5-15 µg/mL
Sample: Immersion fixed U937 human histiocytic lymphoma cell line

Immunohistochemistry

5-15 µg/mL
Sample: Immersion fixed paraffin-embedded sections of human prostate

Western Blot

0.1 µg/mL
Sample: Recombinant Human Endoglin/CD105 (Catalog # 1097-EN)

Human Endoglin/CD105 Sandwich Immunoassay

ELISA Detection (Matched Antibody Pair)
Recommended Concentration: 0.1-0.4 µg/mL
Use in combination with these reagents:
  • Capture Reagent: Human Endoglin/CD105 Antibody (Catalog # MAB10972)
  • Standard: Recombinant Human Endoglin/CD105 Protein (Catalog # 1097-EN)
Please Note: Optimal dilutions of this antibody should be experimentally determined.

Reviewed Applications

Read 1 review rated 4 using BAF1097 in the following applications:

Formulation, Preparation, and Storage

Purification

Antigen Affinity-purified

Reconstitution

Reconstitute at 0.2 mg/mL in sterile PBS.

Reconstitution Buffer Available:
Size / Price
Qty
Loading...

Formulation

Lyophilized from a 0.2 μm filtered solution in PBS with BSA as a carrier protein.

Shipping

The product is shipped at ambient temperature. Upon receipt, store it immediately at the temperature recommended below.

Stability & Storage

Use a manual defrost freezer and avoid repeated freeze-thaw cycles.
  • 12 months from date of receipt, -20 to -70 °C as supplied.
  • 1 month, 2 to 8 °C under sterile conditions after reconstitution.
  • 6 months, -20 to -70 °C under sterile conditions after reconstitution.

Background: Endoglin/CD105

Endoglin (CD105) is a 90 kDa type I transmembrane glycoprotein of the zona pellucida (ZP) family of proteins (1-3). Endoglin and betaglycan/T betaRIII are type III receptors for TGF beta superfamily ligands, sharing 71% amino acid (aa) identity in the transmembrane (TM) and cytoplasmic domains. Endoglin is highly expressed on proliferating vascular endothelial cells, chondrocytes, and syncytiotrophoblasts of term placenta, with lower amounts on hematopoietic, mesenchymal and neural crest stem cells, activated monocytes, and lymphoid and myeloid leukemic cells (2-5). Human endoglin cDNA encodes 658 amino acids including a 25 aa signal sequence, a 561 aa extracellular domain (ECD) with an orphan domain and a two-part ZP domain, a TM domain and a 47 aa cytoplasmic domain (1-3). An isoform with a 14 aa cytoplasmic domain (S-endoglin) can oppose effects of long (L) endoglin (6, 7). The human endoglin ECD shares 65-72% aa identity with mouse, rat, bovine, porcine, and canine endoglin. Endoglin homodimers interact with TGF-beta 1 and TGF-beta 3 (but not TGF-beta 2), but only after binding T betaRII (8). Similarly, they interact with Activin A and BMP-7 via activin type IIA or B receptors, and with BMP-2 via BMPR-1A/ALK-3 or BMPR-1B/ALK-6 (9). BMP-9, however, is reported to bind endoglin directly (10). Endoglin modifies ligand-induced signaling in multiple ways. For example, expression of endoglin can inhibit TGF-beta 1 signals but enhance BMP7 signals in the same myoblast cell line (11). In endothelial cells, endoglin inhibits T betaRI/ALK5, but enhances ALK1-mediated activation (12). Deletion of mouse endoglin causes lethal vascular and cardiovascular defects, and human endoglin haploinsufficiency can a cause the vascular disorder, hereditary hemorrhagic telangiectasia type I (13, 14). These abnormalities confirm the essential function of endoglin in differentiation of smooth muscle, angiogenesis, and neovascularization (2-4, 12-14). In preeclampsia of pregnancy, high levels of proteolytically generated soluble endoglin and VEGF R1 (sFlt-1), along with low placental growth factor (PlGF), are pathogenic due to anti-angiogenic activity (15).

References

  1. Gougos, A. and M. Letarte (1990) J. Biol. Chem. 265:8361.
  2. ten Dijke, P. et al. (2008) Angiogenesis 11:79.
  3. Bernabeu, C. et al. (2007) J. Cell. Biochem. 102:1375.
  4. Mancini, M.L. et al. (2007) Dev. Biol. 308:520.
  5. Moody, J.L. et al. (2007) Stem Cells 25:2809.
  6. Velasco, S. et al. (2008) J. Cell Sci. 121:913.
  7. Perez-Gomez, E. et al. (2005) Oncogene 24:4450.
  8. Cheifetz, S, et al. (1992) J. Biol. Chem. 267:19027.
  9. Barbara, N.P. et al. (1999) J. Biol. Chem. 274:584.
  10. Scharpfenecker, M. et al. (2007) J. Cell Sci. 120:964.
  11. Scherner, O. et al. (2007) J. Biol. Chem. 282:13934.
  12. Pece-Barbara, N. et al. (2005) J. Biol. Chem. 280:27800.
  13. Arthur, H.M. et al. (2000) Dev. Biol. 217:42.
  14. Lebrin, F. and C.L. Mummery (2008) Trends Cardiovasc. Med. 18:25.    
  15. Venkatesha, S. et al. (2006) Nat. Med. 12:642.

Alternate Names

CD105, ENG

Entrez Gene IDs

2022 (Human); 13805 (Mouse); 497010 (Rat); 397096 (Porcine)

Gene Symbol

ENG

UniProt

Additional Endoglin/CD105 Products

Product Documents for Human Endoglin/CD105 Biotinylated Antibody

Certificate of Analysis

To download a Certificate of Analysis, please enter a lot number in the search box below.

Note: Certificate of Analysis not available for kit components.

Product Specific Notices for Human Endoglin/CD105 Biotinylated Antibody

For research use only

Loading...
Loading...
Loading...
Loading...