Skip to main content

Human DC-SIGN+DC-SIGNR Antibody

R&D Systems, part of Bio-Techne | Catalog # MAB1621

R&D Systems, part of Bio-Techne

Key Product Details

Species Reactivity

Validated:

Human

Cited:

Human, Primate - Macaca mulatta (Rhesus Macaque)

Applications

Validated:

Immunohistochemistry, Flow Cytometry, CyTOF-ready

Cited:

Immunohistochemistry, Immunohistochemistry-Paraffin, Neutralization, Flow Cytometry, Immunocytochemistry, Functional Assay

Label

Unconjugated

Antibody Source

Monoclonal Mouse IgG2A Clone # 120612

Product Specifications

Immunogen

NIH-3T3 mouse embryonic fibroblast cell line transfected with human DC-SIGNR
Accession # Q9H2X3

Specificity

Recognizes both human DC-SIGN and human DC-SIGNR on transfected cells. Does not react with parental mouse cells or irrelevant transfectants.

Clonality

Monoclonal

Host

Mouse

Isotype

IgG2A

Scientific Data Images for Human DC-SIGN+DC-SIGNR Antibody

Detection of DC-SIGN+DC-SIGNR antibody in Human DC-SIGN or DC-SIGNR Transfected 3T3 Mouse Cell Line antibody by Flow Cytometry.

Detection of DC‑SIGN+DC‑SIGNR in Human DC‑SIGN or DC-SIGNR Transfected 3T3 Mouse Cell Line by Flow Cytometry.

Human DC-SIGN and DC-SIGNR transfected 3T3 mouse embryonic fibroblast cell line were stained with Mouse Anti-Human DC-SIGN+ DC-SIGNR Monoclonal Antibody (Catalog # MAB1621, filled histo­grams) or isotype control antibody (Catalog # MAB003, open histogram), followed by Phycoerythrin-conjugated Anti-Mouse IgG F(ab')2Secondary Antibody (Catalog # F0102B).
Detection of DC-SIGN+DC-SIGNR antibody in Human Monocyte Derived Dendritic Cells antibody by Flow Cytometry.

Detection of DC-SIGN+DC-SIGNR in Human Monocyte Derived Dendritic Cells by Flow Cytometry.

Human monocyte derived dendritic cells were stained with Mouse Anti-Human DC-SIGN+ DC-SIGNR Monoclonal Antibody (Catalog # MAB1621), followed by PE-conjugated anti-mouse secondary antibody (Catalog # F0102B) and Human B7-2/CD86 Fluorescein-conjugated Monoclonal Antibody (Catalog # FAB141F).Quadrant markers were set based on isotype control antibody staining (Catalog # MAB003).
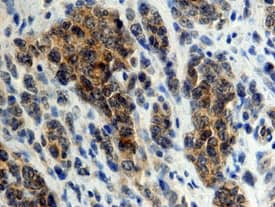
DC-SIGN+DC-SIGNR antibody in Human Lymphoma by Immunohistochemistry (IHC-P).

DC‑SIGN+DC‑SIGNR in Human Lymphoma.

DC-SIGN+DC-SIGNR was detected in immersion fixed paraffin-embedded sections of human lymphoma using 25 µg/mL Mouse Anti-Human DC-SIGN+ DC-SIGNR Monoclonal Antibody (Catalog # MAB1621) overnight at 4 °C. Tissue was stained with the Anti-Mouse HRP-DAB Cell & Tissue Staining Kit (brown; Catalog # CTS002) and counter-stained with hematoxylin (blue). View our protocol for Chromogenic IHC Staining of Paraffin-embedded Tissue Sections.

Applications for Human DC-SIGN+DC-SIGNR Antibody

Application
Recommended Usage

CyTOF-ready

Ready to be labeled using established conjugation methods. No BSA or other carrier proteins that could interfere with conjugation.

Flow Cytometry

2.5 µg/106 cells
Sample: Human DC‑SIGN or DC-SIGNR transfected 3T3 mouse embryonic fibroblast cell line, and human monocyte derived dendritic cells

Immunohistochemistry

8-25 µg/mL
Sample: Immersion fixed paraffin-embedded sections of human lymphoma

Reviewed Applications

Read 1 review rated 5 using MAB1621 in the following applications:

Formulation, Preparation, and Storage

Purification

Protein A or G purified from hybridoma culture supernatant

Reconstitution

Reconstitute at 0.5 mg/mL in sterile PBS. For liquid material, refer to CoA for concentration.

Reconstitution Buffer Available:
Size / Price
Qty
Loading...

Formulation

Lyophilized from a 0.2 μm filtered solution in PBS with Trehalose. *Small pack size (SP) is supplied either lyophilized or as a 0.2 µm filtered solution in PBS.

Shipping

Lyophilized product is shipped at ambient temperature. Liquid small pack size (-SP) is shipped with polar packs. Upon receipt, store immediately at the temperature recommended below.

Stability & Storage

Use a manual defrost freezer and avoid repeated freeze-thaw cycles.
  • 12 months from date of receipt, -20 to -70 °C as supplied.
  • 1 month, 2 to 8 °C under sterile conditions after reconstitution.
  • 6 months, -20 to -70 °C under sterile conditions after reconstitution.

Background: DC-SIGN+DC-SIGNR

DC-SIGN (Dendritic Cell- Specific ICAM-3 Grabbing Non-Integrin) has been shown to play an important role in regulating dendritic cell (DC) and T cell interactions, including antigen presentation to T cells and enhancement of transinfection of CD4+ T cells by HIV-1 (1, 2). Efforts to identify additional type II membrane proteins resulted in the isolation of a molecule related in sequence to DC-SIGN known as DC-SIGNR (DC-SIGN Related) (3, 4). DC-SIGNR shares 73 - 80% amino acid homology with DC-SIGN and is located on human chromosome 19p13.3. Its structure is similar to DC-SIGN and therefore binds mannose residues in a calcium dependent fashion, including ICAM-3 and HIV-1 gp120 (5). DC-SIGNR, also known as L-SIGN (Liver/Lymph node-Specific ICAM-3-Grabbing Non-integrin) and DC-SIGNR, is polymorphic since allelic variations of the exon 4 encoded sequence have been isolated (5). This is further supported by a study demonstrating the ability to isolate a large repertoire of DC-SIGNR transcripts largely the result of alternative splicing of the 7 coding exons (6). L-SIGN/DC-SIGNR is primarily transcribed in the liver and lymph nodes but not in monocyte derived DC (5). Expression of L-SIGN/DC-SIGNR is restricted to endothelial cells derived from liver sinusoids, lymph nodes sinuses and capillaries (7) although variable expression in placenta and some monocytic cell lines has also been reported, including both membrane and soluble isoforms of the protein (6). Expression of DC-SIGN is induced during the in-vitro generation of DC from either monocytes or bone marrow progenitors, with maximal surface expression at day 7 of culture (1). Immature DC in the skin and mature DC in the tonsil have been demonstrated to express DC-SIGN (8). Analysis of various tissues and cell lines suggests that DC-SIGN expression is restricted to DC (1) although a more recent report finds evidence of expression in placenta, resting monocytes and monocytic cell lines (6). This discrepancy may be partially related to the multiple isoforms of DC-SIGN transcripts, including both membrane and soluble forms, as well as exon splice variants reported in the latter study (6).

References

  1. Geijtenbeek, T.B.H. et al. (2000) Cell 100:575.
  2. Geijtenbeek, T.B.H. et al. (2000) Cell 100:587.
  3. Yokoyama-Kobayashi, M.T. et al. (1999) Gene 228:161.
  4. Soilleux, E.J. et al. (2000) J. Immunol. 165:2937.
  5. Bashirova, A.A. et al. (2001) J. Exp. Med. 193:671.
  6. Mummidi, S. et al. (2001) J. Biol. Chem. 276:33196..
  7. Pohlman, S. et al. (2001) Proc. Natl. Acad. Sci. USA 98:2670.
  8. Geijtenbeek, T.B.H. et al. (2000) Nature Immunol. 1:353.

Long Name

Dendritic Cell-specific ICAM-3-grabbing Non-integrin

Alternate Names

DCSIGN+DCSIGNR

Entrez Gene IDs

30835 (Human)

Gene Symbol

CD209

UniProt

Additional DC-SIGN+DC-SIGNR Products

Product Documents for Human DC-SIGN+DC-SIGNR Antibody

Certificate of Analysis

To download a Certificate of Analysis, please enter a lot number in the search box below.

Note: Certificate of Analysis not available for kit components.

Product Specific Notices for Human DC-SIGN+DC-SIGNR Antibody

For research use only

Loading...
Loading...
Loading...
Loading...
Loading...