Skip to main content

Key Product Details

Species Reactivity

Human

Applications

Immunohistochemistry, Western Blot, Immunoprecipitation

Label

Unconjugated

Antibody Source

Monoclonal Mouse IgG1 Clone # 638708

Product Specifications

Immunogen

E. coli-derived recombinant human Cytosolic Sulfotransferase 1A1/SULT1A1
Glu2-Leu295
Accession # P50225

Specificity

Detects human Cytosolic Sulfotransferase 1A1/SULT1A1 in direct ELISAs and Western blots. In direct ELISAs, 100% cross-reactivity with recombinant human (rh) SULT1A3 and rhSULT1C4 and approximately 10% cross-reactivity with rhSULT1B1 is observed. No cross-reactivity with rhSULT1E1, 2A1, 2B1, or 4A1 is observed.

Clonality

Monoclonal

Host

Mouse

Isotype

IgG1

Scientific Data Images for Human Cytosolic Sulfotransferase 1A1/SULT1A1 Antibody

Detection of Human Cytosolic Sulfotransferase 1A1/SULT1A1 antibody by Western Blot.

Detection of Human Cytosolic Sulfotransferase 1A1/SULT1A1 by Western Blot.

Western blot shows lysates of human liver tissue. PVDF Membrane was probed with 0.5 µg/mL of Human Cytosolic Sulfotransferase 1A1/SULT1A1 Monoclonal Antibody (Catalog # MAB5546) followed by HRP-conjugated Anti-Mouse IgG Secondary Antibody (Catalog # HAF007). A specific band was detected for Cytosolic Sulfotransferase 1A1/SULT1A1 at approximately 35 kDa (as indicated). This experiment was conducted under reducing conditions and using Immunoblot Buffer Group 1.
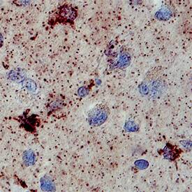
Cytosolic Sulfotransferase 1A1/SULT1A1 antibody in Human Brain by Immunohistochemistry (IHC-P).

Cytosolic Sulfotransferase 1A1/SULT1A1 in Human Brain.

Cytosolic Sulfotransferase 1A1/SULT1A1 was detected in immersion fixed paraffin-embedded sections of human brain using Human Cytosolic Sulfotransferase 1A1/SULT1A1 Monoclonal Antibody (Catalog # MAB5546) at 15 µg/mL overnight at 4 °C. Before incubation with the primary antibody, tissue was subjected to heat-induced epitope retrieval using Antigen Retrieval Reagent-Basic (Catalog # CTS013). Tissue was stained using the Anti-Mouse HRP-DAB Cell & Tissue Staining Kit (brown; Catalog # CTS002) and counterstained with hematoxylin (blue). Specific staining was localized to neurons and glial cells (punctate). View our protocol for Chromogenic IHC Staining of Paraffin-embedded Tissue Sections.
Detection of Cytosolic Sulfotransferase 1A1/SULT1A1 by Western Blot

Detection of Cytosolic Sulfotransferase 1A1/SULT1A1 by Western Blot

SULT1A1 is highly expressed in primary human monocyte-derived macrophages (MDMs). a The cellular sulfonation pathway. The first step of the cellular sulfonation pathway involves import through a sulfate transporter of a sulfate ion that is then used as a substrate by either 3′-phosphoadenosine-5′phosphosulfate (PAPS) synthetase enzymes PAPSS1 or PAPSS2. These proteins catalyze two enzymatic steps to generate PAPS, the high-energy universal sulfonate-donor from sulfate and two molecules of ATP. PAPS can be transported across the Golgi membrane and used by the Golgi sulfotransferases to generate sulfonated proteins, glycoproteins, glycoproteins, glycolipids, and proteoglycans. Alternatively, PAPS can be used by cytosolic sulfotransferases (SULTS) to sulfonate small molecules such as hormones, neurotransmitters, and xenobiotics. b Human CD4+ T cells and CD14+ monocytes were isolated from donor PBMCs by magnetic bead isolation. Resting CD4+ T cells were lysed directly after separation, and the remaining CD4+ T cells were activated using CD3/CD28 beads for three days. Monocytes were cultured for 7 days in the presence of 20 ng/ml M-CSF, were lysed, subjected to gel electrophoresis, and immunoblotting was performed to detect SULT1A1 or the loading control Ku86 protein Image collected and cropped by CiteAb from the following open publication (https://pubmed.ncbi.nlm.nih.gov/26906565), licensed under a CC-BY license. Not internally tested by R&D Systems.

Applications for Human Cytosolic Sulfotransferase 1A1/SULT1A1 Antibody

Application
Recommended Usage

Immunohistochemistry

8-25 µg/mL
Sample: Immersion fixed paraffin-embedded sections of human brain

Immunoprecipitation

25 µg/mL
Sample: Cell lysates spiked with Recombinant Human SULT1A1 (Catalog # 5546-ST), see our available Western blot detection antibodies

Western Blot

0.5 µg/mL
Sample: Human liver tissue

Formulation, Preparation, and Storage

Purification

Protein A or G purified from hybridoma culture supernatant

Reconstitution

Sterile PBS to a final concentration of 0.5 mg/mL. For liquid material, refer to CoA for concentration.

Reconstitution Buffer Available:
Size / Price
Qty
Loading...

Formulation

Lyophilized from a 0.2 μm filtered solution in PBS with Trehalose. *Small pack size (SP) is supplied either lyophilized or as a 0.2 µm filtered solution in PBS.

Shipping

Lyophilized product is shipped at ambient temperature. Liquid small pack size (-SP) is shipped with polar packs. Upon receipt, store immediately at the temperature recommended below.

Stability & Storage

Use a manual defrost freezer and avoid repeated freeze-thaw cycles.
  • 12 months from date of receipt, -20 to -70 °C as supplied.
  • 1 month, 2 to 8 °C under sterile conditions after reconstitution.
  • 6 months, -20 to -70 °C under sterile conditions after reconstitution.

Background: Cytosolic Sulfotransferase 1A1/SULT1A1

Cytosolic Sulfotransferase 1A1 (SULT1A1; also phenol sulfotransferase 1 and thermostable phenol sulfotransferase) is a 35 kDa enzyme belonging to the sulfotransferase 1 family of proteins.  Human SULT1A1 is 295 amino acids (aa) in length.  Human SULT1A1 shares 78% and 73% aa identity with rat and mouse SULT1A1, respectively.  SULT1A1 exists as a homodimer and is expressed in liver, lung, adrenal gland, brain, platelets, and skin.  Functionally, it catalyzes the sulfate conjugation of catecholamines, phenolic drugs and neurotransmitter.  It also mediates the metabolic activation of carcinogenic N-hydroxyarylamines to DNA binding products and could participate as a modulating factor of cancer risk.

Alternate Names

P-PST, PST, ST1A3, STP1, SULT1A1, TSPST1

Entrez Gene IDs

6817 (Human); 20887 (Mouse); 83783 (Rat)

Gene Symbol

SULT1A1

UniProt

Additional Cytosolic Sulfotransferase 1A1/SULT1A1 Products

Product Documents for Human Cytosolic Sulfotransferase 1A1/SULT1A1 Antibody

Certificate of Analysis

To download a Certificate of Analysis, please enter a lot number in the search box below.

Note: Certificate of Analysis not available for kit components.

Product Specific Notices for Human Cytosolic Sulfotransferase 1A1/SULT1A1 Antibody

For research use only

Loading...
Loading...
Loading...
Loading...