Skip to main content

Human Cytokeratin 17 Antibody

R&D Systems, part of Bio-Techne | Catalog # MAB11571

R&D Systems, part of Bio-Techne

Key Product Details

Species Reactivity

Human

Applications

Immunohistochemistry, Western Blot, Immunocytochemistry, Simple Western

Label

Unconjugated

Antibody Source

Monoclonal Mouse IgG2B Clone # 1080235

Product Specifications

Immunogen

Cytokeratin 17 containing synthetic peptide
Accession # Q04695

Specificity

Detects a synthetic peptide specific for Cytokeratin 17 around amino acid 120 in Direct ELISA. 

Clonality

Monoclonal

Host

Mouse

Isotype

IgG2B

Scientific Data Images for Human Cytokeratin 17 Antibody

Detection of Human Cytokeratin 17 by Western Blot.

Western Blot shows lysates of MDA-MB-468 human breast cancer cell line and A431 human epithelial carcinoma cell line. PVDF membrane was probed with 2 µg/ml of Mouse Anti-Human Cytokeratin 17 Monoclonal Antibody (Catalog # MAB11571) followed by HRP-conjugated Anti-Mouse IgG Secondary Antibody (Catalog # HAF018). A specific band was detected for Cytokeratin 17 at approximately 53 kDa (as indicated). This experiment was conducted under reducing conditions and using Western Blot Buffer Group 1.

Detection of Cytokeratin 17 in Human Prostate.

Cytokeratin 17 was detected in immersion fixed paraffin-embedded sections of human prostate using Mouse Anti-Human Cytokeratin 17 Monoclonal Antibody (Catalog # MAB11571) at 5 µg/ml for 1 hour at room temperature followed by incubation with the Anti-Mouse IgG VisUCyte™ HRP Polymer Antibody (Catalog # VC001) or the HRP-conjugated Anti-Mouse IgG Secondary Antibody (Catalog # HAF007). Before incubation with the primary antibody, tissue was subjected to heat-induced epitope retrieval using VisUCyte Antigen Retrieval Reagent-Basic (Catalog # VCTS021). Tissue was stained using DAB (brown) and counterstained with hematoxylin (blue). Specific staining was localized to the cytoplasm. View our protocol for Chromogenic IHC Staining of Paraffin-embedded Tissue Sections.

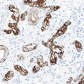
Detection of Cytokeratin 17 in Human Squamous Cell Carcinoma.

Cytokeratin 17 was detected in immersion fixed paraffin-embedded sections of human squamous cell carcinoma using Mouse Anti-Human Cytokeratin 17 Monoclonal Antibody (Catalog # MAB11571) at 5 µg/ml for 1 hour at room temperature followed by incubation with the Anti-Mouse IgG VisUCyte™ HRP Polymer Antibody (Catalog # VC001) or the HRP-conjugated Anti-Mouse IgG Secondary Antibody (Catalog # HAF007). Before incubation with the primary antibody, tissue was subjected to heat-induced epitope retrieval using VisUCyte Antigen Retrieval Reagent-Basic (Catalog # VCTS021). Tissue was stained using DAB (brown) and counterstained with hematoxylin (blue). Specific staining was localized to the cytoplasm. View our protocol for Chromogenic IHC Staining of Paraffin-embedded Tissue Sections.

Applications for Human Cytokeratin 17 Antibody

Application
Recommended Usage

Immunocytochemistry

3-25 µg/mL
Sample:  fixed MDA-MB-468 human breast cancer cell line (Positive) and absent in Ramos human Burkitt's lymphoma cell line (Negative)

Immunohistochemistry

3-25 µg/mL
Sample: Immersion fixed paraffin-embedded sections of human prostate and of human squamous cell carcinoma

Simple Western

100 µg/mL
Sample: MDA-MB-468 human breast cancer cell line

Western Blot

2 µg/mL
Sample: MDA-MB-468 human breast cancer cell line and A431 human epithelial carcinoma cell line

Formulation, Preparation, and Storage

Purification

Protein A or G purified from hybridoma culture supernatant

Reconstitution

Reconstitute lyophilized material at 0.2mg/ml in sterile PBS. For liquid material, refer to CoA for concentration.

Reconstitution Buffer Available:
Size / Price
Qty
Loading...

Formulation

Lyophilized from a 0.2 μm filtered solution in PBS with Trehalose.

Shipping

Lyophilized product is shipped at ambient temperature. Liquid small pack size (-SP) is shipped with polar packs. Upon receipt, store immediately at the temperature recommended below.

Stability & Storage

Use a manual defrost freezer and avoid repeated freeze-thaw cycles.
  • 12 months from date of receipt, -20 to -70 °C as supplied.
  • 1 month, 2 to 8 °C under sterile conditions after reconstitution.
  • 6 months, -20 to -70 °C under sterile conditions after reconstitution.

Background: Cytokeratin 17

Cytokeratin 17 (KRT17) is a 48 kDa, 432 aa type I keratin that has been studied in several types of cancer. KRT17 promotes epithelial cell proliferation and tumor growth in skin. Many studies have shown KRT17 overexpression in many cancers including cervical, oral, ovarian, gastric, lung and pancreatic cancer among others. In certain types of  breast cancer, KRT17 overexpression has been associated with poor prognosis. KRT17 expression is closely associated with prognosis in cancer and can be a novel therapeutic target.

References

  1. Tang S, Liu W, Yong L, Liu D, Lin X, Huang Y, Wang H, Cai F. Reduced Expression of KRT17 Predicts Poor Prognosis in HER2high Breast Cancer. Biomolecules. 2022 Aug 25;12(9):1183. doi: 10.3390/biom12091183. PMID: 36139022; PMCID: PMC9496156.
  2. Hu H, Xu DH, Huang XX, Zhu CC, Xu J, Zhang ZZ, Zhao G. Keratin17 Promotes Tumor Growth and is Associated with Poor Prognosis in Gastric Cancer. J Cancer. 2018 Jan 1;9(2):346-357. doi: 10.7150/jca.19838. PMID: 29344281; PMCID: PMC5771342. 
  3. Li D, Ni XF, Tang H, Zhang J, Zheng C, Lin J, Wang C, Sun L, Chen B. KRT17 Functions as a Tumor Promoter and Regulates Proliferation, Migration and Invasion in Pancreatic Cancer via mTOR/S6k1 Pathway. Cancer Manag Res. 2020 Mar 19;12:2087-2095. doi: 10.2147/CMAR.S243129. PMID: 32256116; PMCID: PMC7090205.

Long Name

Cytokeratin 17/KRT17

Alternate Names

CK-17, cytokeratin-17, K17, keratin 17, type I, keratin, type I cytoskeletal 17, PCHC1

Entrez Gene IDs

3872 (Human); 16667 (Mouse); 287702 (Rat)

Gene Symbol

Q04695

UniProt

Additional Cytokeratin 17 Products

Product Documents for Human Cytokeratin 17 Antibody

Certificate of Analysis

To download a Certificate of Analysis, please enter a lot number in the search box below.

Note: Certificate of Analysis not available for kit components.

Product Specific Notices for Human Cytokeratin 17 Antibody

For research use only

Loading...
Loading...
Loading...
Loading...