Skip to main content

Key Product Details

Species Reactivity

Human

Applications

Immunohistochemistry, Western Blot

Label

Unconjugated

Antibody Source

Monoclonal Mouse IgG2B Clone # 588726

Product Specifications

Immunogen

E.coli-derived recombinant human Cyclin D3
Met1-Leu292
Accession # P30281

Specificity

Detects human Cyclin D3 in direct ELISAs. In direct ELISAs and Western blots, approximately 5% cross-reactivity with recombinant human (rh) Cyclin B1 and D1 is observed. No cross-reactivity with rhCyclin A1, A2, B2, C, D2, E1, or E2 is observed.

Clonality

Monoclonal

Host

Mouse

Isotype

IgG2B

Scientific Data Images for Human Cyclin D3 Antibody

Detection of Human and Mouse Cyclin D3 antibody by Western Blot.

Detection of Human and Mouse Cyclin D3 by Western Blot.

Western blot shows lysates of BaF3 mouse pro-B cell line, Jurkat human acute T cell leukemia cell line, and K562 human chronic myelogenous leukemia cell line. PVDF Membrane was probed with 1 µg/mL of Human Cyclin D3 Monoclonal Antibody (Catalog # MAB6570) followed by HRP-conjugated Anti-Mouse IgG Secondary Antibody (Catalog # HAF007). A specific band was detected for Cyclin D3 at approximately 37 kDa (as indicated). This experiment was conducted under reducing conditions and using Immunoblot Buffer Group 1.
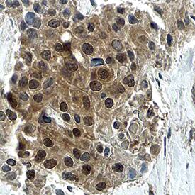
Cyclin D3 antibody in Human Breast Cancer Tissue by Immunohistochemistry (IHC-P).

Cyclin D3 in Human Breast Cancer Tissue.

Cyclin D3 was detected in immersion fixed paraffin-embedded sections of human breast cancer tissue using Human Cyclin D3 Monoclonal Antibody (Catalog # MAB6570) at 15 µg/mL overnight at 4 °C. Before incubation with the primary antibody, tissue was subjected to heat-induced epitope retrieval using Antigen Retrieval Reagent-Basic (Catalog # CTS013). Tissue was stained using the Anti-Mouse HRP-DAB Cell & Tissue Staining Kit (brown; Catalog # CTS002) and counterstained with hematoxylin (blue). Specific staining was localized to nuclei and cytoplasm. View our protocol for Chromogenic IHC Staining of Paraffin-embedded Tissue Sections.

Applications for Human Cyclin D3 Antibody

Application
Recommended Usage

Immunohistochemistry

8-25 µg/mL
Sample: Immersion fixed paraffin-embedded sections of human breast cancer tissue

Western Blot

1 µg/mL
Sample: BaF3 mouse pro-B cell line, Jurkat human acute T cell leukemia cell line, and K562 human chronic myelogenous leukemia cell line

Reviewed Applications

Read 1 review rated 4 using MAB6570 in the following applications:

Formulation, Preparation, and Storage

Purification

Protein A or G purified from hybridoma culture supernatant

Reconstitution

Sterile PBS to a final concentration of 0.5 mg/mL. For liquid material, refer to CoA for concentration.

Reconstitution Buffer Available:
Size / Price
Qty
Loading...

Formulation

Lyophilized from a 0.2 μm filtered solution in PBS with Trehalose. *Small pack size (SP) is supplied either lyophilized or as a 0.2 µm filtered solution in PBS.

Shipping

Lyophilized product is shipped at ambient temperature. Liquid small pack size (-SP) is shipped with polar packs. Upon receipt, store immediately at the temperature recommended below.

Stability & Storage

Use a manual defrost freezer and avoid repeated freeze-thaw cycles.
  • 12 months from date of receipt, -20 to -70 °C as supplied.
  • 1 month, 2 to 8 °C under sterile conditions after reconstitution.
  • 6 months, -20 to -70 °C under sterile conditions after reconstitution.

Background: Cyclin D3

Cyclin D3 is a 37 kDa cell cycle regulatory protein whose expression level and nuclear/cytoplasmic distribution are tightly regulated in synchrony with the cell cycle. Cyclin D3 complexes containing Cdk4 or Cdk6 induce phosphorylation of Rb, a requirement for progression through the G1/S cell cycle transition. Human Cyclin D3 shares 95% and 93% amino acid sequence identity with mouse and rat Cyclin D3, respectively.

Alternate Names

CCND3

Entrez Gene IDs

896 (Human)

Gene Symbol

CCND3

UniProt

Additional Cyclin D3 Products

Product Documents for Human Cyclin D3 Antibody

Certificate of Analysis

To download a Certificate of Analysis, please enter a lot number in the search box below.

Note: Certificate of Analysis not available for kit components.

Product Specific Notices for Human Cyclin D3 Antibody

For research use only

Loading...
Loading...
Loading...
Loading...