Human CEACAM-4 Antibody
R&D Systems, part of Bio-Techne | Catalog # MAB4354
Conjugate
Catalog #
Key Product Details
Species Reactivity
Human
Applications
Immunohistochemistry, Western Blot
Label
Unconjugated
Antibody Source
Monoclonal Mouse IgG1 Clone # 568410
Product Specifications
Immunogen
E. coli-derived recombinant human CEACAM-4
Phe36-Val140
Accession # O75871
Phe36-Val140
Accession # O75871
Specificity
Detects human CEACAM‑4 in direct ELISAs and Western blots. In direct ELISAs, no cross-reactivity with recombinant human CEACAM-1, -3, -5, -6, -7, or -8 is observed.
Clonality
Monoclonal
Host
Mouse
Isotype
IgG1
Scientific Data Images for Human CEACAM-4 Antibody
Detection of Human CEACAM‑4 by Western Blot.
Western blot shows lysates of HL-60 human acute promyelocytic leukemia cell line, THP-1 human acute monocytic leukemia cell line, IMR-90 human lung fibroblast cell line, NCI-H596 human lung adenosquamous carcinoma cell line, and human lung cancer tissue. PVDF membrane was probed with 2 µg/mL of Mouse Anti-Human CEACAM-4 Monoclonal Antibody (Catalog # MAB4354) followed by HRP-conjugated Anti-Mouse IgG Secondary Antibody (Catalog # HAF007). A specific band was detected for CEACAM-4 at approximately 30 kDa (as indicated). This experiment was conducted under reducing conditions and using Immunoblot Buffer Group 1.CEACAM‑4 in Human Lung Cancer Tissue.
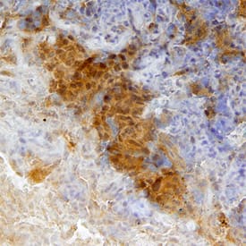
CEACAM-4 was detected in immersion fixed paraffin-embedded sections of human lung cancer tissue using Mouse Anti-Human CEACAM-4 Monoclonal Antibody (Catalog # MAB4354) at 15 µg/mL overnight at 4 °C. Before incubation with the primary antibody, tissue was subjected to heat-induced epitope retrieval using Antigen Retrieval Reagent-Basic (Catalog # CTS013). Tissue was stained using the Anti-Mouse HRP-DAB Cell & Tissue Staining Kit (brown; Catalog # CTS002) and counterstained with hematoxylin (blue). Specific staining was localized to the cytoplasm of epithelial cells. View our protocol for Chromogenic IHC Staining of Paraffin-embedded Tissue Sections.Applications for Human CEACAM-4 Antibody
Application
Recommended Usage
Immunohistochemistry
8-25 µg/mL
Sample: Immersion fixed paraffin-embedded sections of human lung cancer tissue
Sample: Immersion fixed paraffin-embedded sections of human lung cancer tissue
Western Blot
2 µg/mL
Sample: HL‑60 human acute promyelocytic leukemia cell line, THP‑1 human acute monocytic leukemia cell line, IMR‑90 human lung fibroblast cell line, NCI‑H596 human lung adenosquamous carcinoma cell line, and human lung cancer tissue under reducing conditions only
Sample: HL‑60 human acute promyelocytic leukemia cell line, THP‑1 human acute monocytic leukemia cell line, IMR‑90 human lung fibroblast cell line, NCI‑H596 human lung adenosquamous carcinoma cell line, and human lung cancer tissue under reducing conditions only
Formulation, Preparation, and Storage
Purification
Protein A or G purified from hybridoma culture supernatant
Reconstitution
Reconstitute at 0.5 mg/mL in sterile PBS. For liquid material, refer to CoA for concentration.
Formulation
Lyophilized from a 0.2 μm filtered solution in PBS with Trehalose. *Small pack size (SP) is supplied either lyophilized or as a 0.2 µm filtered solution in PBS.
Shipping
Lyophilized product is shipped at ambient temperature. Liquid small pack size (-SP) is shipped with polar packs. Upon receipt, store immediately at the temperature recommended below.
Stability & Storage
Use a manual defrost freezer and avoid repeated freeze-thaw cycles.
- 12 months from date of receipt, -20 to -70 °C as supplied.
- 1 month, 2 to 8 °C under sterile conditions after reconstitution.
- 6 months, -20 to -70 °C under sterile conditions after reconstitution.
Background: CEACAM-4
Carcinoembryonic antigen cell adhesion molecule 4 (CEACAM-4), also known as CGM7 and W236, is a 40 kDa transmembrane glycoprotein member of the CEACAM family of proteins. Its 209 amino acid extracellular domain contains one Ig-like V-type domain. CEACAM-4 is expressed on granulocytes as well as on B and T cell lymphoblastic leukemias. Mouse and rat orthologs of CEACAM-4 have not been described.
Long Name
Carcinoembryonic Antigen-related Cell Adhesion Molecule 4
Alternate Names
CEACAM4, CGM7
Entrez Gene IDs
1089 (Human)
Gene Symbol
CEACAM4
UniProt
Additional CEACAM-4 Products
Product Documents for Human CEACAM-4 Antibody
Product Specific Notices for Human CEACAM-4 Antibody
For research use only
Loading...
Loading...
Loading...
Loading...