Skip to main content

Human CCR2 Antibody

R&D Systems, part of Bio-Techne | Catalog # MAB150

Clone 48607 was used by HLDA to establish CD designation
R&D Systems, part of Bio-Techne

Key Product Details

Species Reactivity

Validated:

Human

Cited:

Human, Mouse, Rat, Primate - Chlorocebus pygerythrus (Vervet Monkey)

Applications

Validated:

Immunohistochemistry, Flow Cytometry, CyTOF-ready

Cited:

Immunohistochemistry, Immunohistochemistry-Paraffin, Neutralization, Flow Cytometry, Immunocytochemistry/Immunofluorescence, Immunocytochemistry, Cell Culture

Label

Unconjugated

Antibody Source

Monoclonal Mouse IgG2B Clone # 48607

Product Specifications

Immunogen

NS0 mouse myeloma cell line transfected with human CCR2
Met1-Leu360
Accession # NP_001116868

Specificity

Detects human CCR-2 transfectants but not the parental cell line or CCR-5 transfectants.

Clonality

Monoclonal

Host

Mouse

Isotype

IgG2B

Scientific Data Images for Human CCR2 Antibody

Detection of CCR2 antibody in Human Blood Monocytes antibody by Flow Cytometry.

Detection of CCR2 in Human Blood Monocytes by Flow Cytometry.

Human peripheral blood monocytes were stained with Mouse Anti-Human CD14 PE-conjugated Monoclonal Antibody (Catalog # FAB3832P) and either (A) Mouse Anti-Human CCR2 Monoclonal Antibody (Catalog # MAB150) or (B) Mouse IgG2BFlow Cytometry Isotype Control (Catalog # MAB0041) followed by Allophycocyanin-conjugated Anti-Mouse IgG Secondary Antibody (Catalog # F0101B). View our protocol for Staining Membrane-associated Proteins.
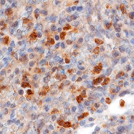
CCR2 antibody in Human Tonsil by Immunohistochemistry (IHC-P).

CCR2 in Human Tonsil.

CCR2 was detected in immersion fixed paraffin-embedded sections of human tonsil using Mouse Anti-Human CCR2 Monoclonal Antibody (Catalog # MAB150) at 50 µg/mL overnight at 4 °C. Tissue was stained using the Anti-Mouse HRP-DAB Cell & Tissue Staining Kit (brown; Catalog # CTS002) and counterstained with hematoxylin (blue). Specific staining was localized to lymphocytes. View our protocol for Chromogenic IHC Staining of Paraffin-embedded Tissue Sections.
Detection of CCR2 by Flow Cytometry

Detection of CCR2 by Flow Cytometry

Receptor internalization.(A) FACS analysis. THP-1 cells were incubated with 200 nM CCL2 and CCR2 expression was measured after the indicated times (upper left). Similarly, THP-1 cells stably transfected with alpha2AAR (upper right), alpha2AAR-YFP and alpha2AAR-YFP/CFP (lower panels) were incubated with 1µM UK 14'304. Red lines represent isotype controls (IgG2b). (B) Confocal microscopy images of wild type THP-1 cells (upper panels) and THP-1 transfected with alpha2AAR-YFP/CFP (lower panels). Cells were untreated (control) or stimulated with 200 nM CCL2 or 1µM UK14'304 (UK) for 30 min fixed and processed as described in Methods. Receptor expression in wild type (CCR2) was revealed with specific anti-CCR2 (left panel, green). For localization of alpha2AAR-YFP/CFP the fluorescence of receptor associated YFP was measured (left panel, yellow). The middle panels depict F-actin revealed with phalloidin-Alexa594. Right panels are merged images including nuclear staining (DAPI, blue). Image collected and cropped by CiteAb from the following open publication (https://pubmed.ncbi.nlm.nih.gov/20419163), licensed under a CC-BY license. Not internally tested by R&D Systems.

Applications for Human CCR2 Antibody

Application
Recommended Usage

CyTOF-ready

Ready to be labeled using established conjugation methods. No BSA or other carrier proteins that could interfere with conjugation.

Flow Cytometry

0.25 µg/106 cells
Sample: Human peripheral blood monocytes

Immunohistochemistry

8-50 µg/mL
Sample: Immersion fixed paraffin-embedded sections of human tonsil

Reviewed Applications

Read 1 review rated 5 using MAB150 in the following applications:

Formulation, Preparation, and Storage

Purification

Protein A or G purified from ascites

Reconstitution

Reconstitute at 0.5 mg/mL in sterile PBS. For liquid material, refer to CoA for concentration.

Reconstitution Buffer Available:
Size / Price
Qty
Loading...

Formulation

Lyophilized from a 0.2 μm filtered solution in PBS with Trehalose. *Small pack size (SP) is supplied either lyophilized or as a 0.2 µm filtered solution in PBS.

Shipping

Lyophilized product is shipped at ambient temperature. Liquid small pack size (-SP) is shipped with polar packs. Upon receipt, store immediately at the temperature recommended below.

Stability & Storage

Use a manual defrost freezer and avoid repeated freeze-thaw cycles.
  • 12 months from date of receipt, -20 to -70 °C as supplied.
  • 1 month, 2 to 8 °C under sterile conditions after reconstitution.
  • 6 months, -20 to -70 °C under sterile conditions after reconstitution.

Background: CCR2

CCR2 is a G-protein linked seven transmembrane domain spanning chemokine receptor that preferentially binds monocyte chemoattractant proteins-1 and -3 (MCP-1 and MCP-3). Two isoforms of this receptor (CCR2A and CCR2B) are expressed on cell surfaces as a result of alternate splicing from the same gene. These two CCR2 variants differ only at their intracellular carboxyl terminals, with the CCR2A form possessing 14 additional amino acids. This may provide a mechanism by which cells responding to similar extracellular ligands can activate different intracellular second messengers. Cells that respond to the action of MCP-1 and therefore are likely to express CCR2 receptors, include monocytes, T cells, NK cells, basophils, mast cells and dendritic cells. A recent report suggests that B cells may also express CCR2 receptors. The recognition that a variety of chemokine receptors, including CCR2, can serve as HIV fusion co-factors and as facilitators of T cell recruitment during inflammation makes chemokine receptor monitoring an important exercise in elucidating the HIV infection process and the regulation of inflammatory reactions.

Alternate Names

CC-CKR-2, CCR2, CCR2B, CD192, CKR2, CKR2A, CMKBR2, FLJ78302, MCP-1-R

Entrez Gene IDs

729230 (Human); 12772 (Mouse); 60463 (Rat)

Gene Symbol

CCR2

UniProt

Additional CCR2 Products

Product Documents for Human CCR2 Antibody

Certificate of Analysis

To download a Certificate of Analysis, please enter a lot number in the search box below.

Note: Certificate of Analysis not available for kit components.

Product Specific Notices for Human CCR2 Antibody

For research use only

Loading...
Loading...
Loading...
Loading...
Loading...