Skip to main content

Key Product Details

Species Reactivity

Human

Applications

Immunohistochemistry, Simple Western, Western Blot

Label

Unconjugated

Antibody Source

Polyclonal Goat IgG

Product Specifications

Immunogen

E. coli-derived recombinant human BLNK
Gly226-Ser456
Accession # Q8WV28

Specificity

Detects endogenous human BLNK in Western blots.

Clonality

Polyclonal

Host

Goat

Isotype

IgG

Scientific Data Images for Human BLNK Antibody

Detection of Human BLNK antibody by Western Blot.

Detection of Human BLNK by Western Blot.

Western blot shows lysates of Daudi human Burkitt's lymphoma cell line, Raji human Burkitt's lymphoma cell line, Ramos human Burkitt's lymphoma cell line, BJAB human Burkitt's lymphoma cell line, and Jurkat human acute T cell leukemia cell line. PVDF membrane was probed with 1 µg/mL of Human BLNK Antigen Affinity-purified Polyclonal Antibody (Catalog # AF4966) followed by HRP-conjugated Anti-Goat IgG Secondary Antibody (Catalog # HAF109). A specific band was detected for BLNK at approximately 70 kDa (as indicated). This experiment was conducted under reducing conditions and using Immunoblot Buffer Group 1.
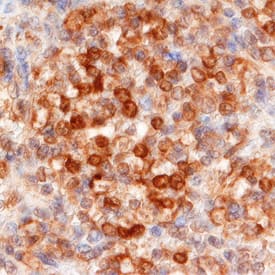
BLNK antibody in Human Spleen by Immunohistochemistry (IHC-P).

BLNK in Human Spleen.

BLNK was detected in immersion fixed paraffin-embedded sections of human spleen using Goat Anti-Human BLNK Antigen Affinity-purified Polyclonal Antibody (Catalog # AF4966) at 10 µg/mL overnight at 4 °C. Before incubation with the primary antibody, tissue was subjected to heat-induced epitope retrieval using Antigen Retrieval Reagent-Basic (Catalog # CTS013). Tissue was stained using the Anti-Goat HRP-DAB Cell & Tissue Staining Kit (brown; Catalog # CTS008) and counterstained with hematoxylin (blue). Specific staining was localized to splenocytes. View our protocol for Chromogenic IHC Staining of Paraffin-embedded Tissue Sections.
Detection of Human BLNK antibody by Simple WesternTM.

Detection of Human BLNK by Simple WesternTM.

Simple Western lane view shows lysates of Ramos human Burkitt's lymphoma cell line and Raji human Burkitt's lymphoma cell line, loaded at 0.2 mg/mL. A specific band was detected for BLNK at approximately 81 kDa (as indicated) using 10 µg/mL of Goat Anti-Human BLNK Antigen Affinity-purified Polyclonal Antibody (Catalog # AF4966) followed by 1:50 dilution of HRP-conjugated Anti-Goat IgG Secondary Antibody (Catalog # HAF109). This experiment was conducted under reducing conditions and using the 12-230 kDa separation system.

Applications for Human BLNK Antibody

Application
Recommended Usage

Immunohistochemistry

5-15 µg/mL
Sample: Immersion fixed paraffin-embedded sections of human spleen subjected to Antigen Retrieval Reagent-Basic (Catalog # CTS013)

Simple Western

10 µg/mL
Sample: Raji human Burkitt's lymphoma cell line, Ramos human Burkitt's lymphoma cell line

Western Blot

1 µg/mL
Sample: Jurkat human acute T cell leukemia cell line, Daudi human Burkitt's lymphoma cell line, Raji human Burkitt's lymphoma cell line, Ramos human Burkitt's lymphoma cell line, and BJAB human Burkitt's lymphoma cell line

Formulation, Preparation, and Storage

Purification

Antigen Affinity-purified

Reconstitution

Reconstitute at 0.2 mg/mL in sterile PBS. For liquid material, refer to CoA for concentration.

Reconstitution Buffer Available:
Size / Price
Qty
Loading...

Formulation

Lyophilized from a 0.2 μm filtered solution in PBS with Trehalose. *Small pack size (SP) is supplied either lyophilized or as a 0.2 µm filtered solution in PBS.

Shipping

Lyophilized product is shipped at ambient temperature. Liquid small pack size (-SP) is shipped with polar packs. Upon receipt, store immediately at the temperature recommended below.

Stability & Storage

Use a manual defrost freezer and avoid repeated freeze-thaw cycles.
  • 12 months from date of receipt, -20 to -70 °C as supplied.
  • 1 month, 2 to 8 °C under sterile conditions after reconstitution.
  • 6 months, -20 to -70 °C under sterile conditions after reconstitution.

Background: BLNK

BLNK (B cell linker protein; also SLP-65 and BASH) is a 50 kDa (predicted) cytoplasmic protein that runs anomalously at 65‑70 kDa in SDS‑PAGE. It is a B cell adapter molecule that, following phosphorylation by Syk, serves as a scaffold for assembly of macromolecular complexes that involve Grb2, Vav and PLC gamma. Tyrosine phosphorylation occurs at Tyr72/84/96/178/189. Human BLNK is 456 amino acids (aa) in length and it contains a Pro-rich region (aa 98‑260) and one SH2 domain (aa 346‑453). More than 10 potential splice variants have been detected and among these are four which show single in-frame deletions between aa 203‑225, 366‑417, 146‑417 and 211‑456, respectively. Over aa 226‑456, human BLNK shares 87% and 83% aa identity with canine and mouse BLNK, respectively.

Long Name

B-cell Linker Protein

Alternate Names

BASH, Ly57, SLP65

Entrez Gene IDs

29760 (Human); 17060 (Mouse); 499356 (Rat)

Gene Symbol

BLNK

UniProt

Additional BLNK Products

Product Documents for Human BLNK Antibody

Certificate of Analysis

To download a Certificate of Analysis, please enter a lot number in the search box below.

Note: Certificate of Analysis not available for kit components.

Product Specific Notices for Human BLNK Antibody

For research use only

Loading...
Loading...
Loading...
Loading...