Skip to main content

Human Betacellulin/BTC Antibody

R&D Systems, part of Bio-Techne | Catalog # AF-261-NA

R&D Systems, part of Bio-Techne

Key Product Details

Species Reactivity

Validated:

Human

Cited:

Human, Mouse

Applications

Validated:

Immunohistochemistry, Western Blot, Neutralization

Cited:

Immunohistochemistry, Immunohistochemistry-Paraffin, Immunohistochemistry-Frozen, Western Blot, Neutralization, ELISA Capture

Label

Unconjugated

Antibody Source

Polyclonal Goat IgG

Product Specifications

Immunogen

E. coli-derived recombinant human Betacellulin
Asp32-Tyr111
Accession # P35070

Specificity

Detects Betacellulin/BTC in direct ELISAs and Western blots.

Clonality

Polyclonal

Host

Goat

Isotype

IgG

Endotoxin Level

<0.10 EU per 1 μg of the antibody by the LAL method.

Scientific Data Images for Human Betacellulin/BTC Antibody

Detection of Human Betacellulin/BTC antibody by Western Blot.

Detection of Human Betacellulin/BTC by Western Blot.

Western blot shows lysates of MCF-7 human breast cancer cell line and OVCAR-3 human ovarian carcinoma cell line. PVDF membrane was probed with 2 µg/mL of Goat Anti-Human Betacellulin/BTC Antigen Affinity-purified Polyclonal Antibody (Catalog # AF-261-NA) followed by HRP-conjugated Anti-Goat IgG Secondary Antibody (Catalog # HAF017). A specific band was detected for Betacellulin/BTC at approximately 32 kDa (as indicated). This experiment was conducted under reducing conditions and using Immunoblot Buffer Group 1.
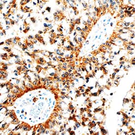
Betacellulin/BTC antibody in Human Lung Cancer Tissue by Immunohistochemistry (IHC-P).

Betacellulin/BTC in Human Lung Cancer Tissue.

Betacellulin/BTC was detected in immersion fixed paraffin-embedded sections of human lung cancer tissue using Goat Anti-Human Betacellulin/BTC Antigen Affinity-purified Polyclonal Antibody (Catalog # AF-261-NA) at 3 µg/mL overnight at 4 °C. Tissue was stained using the Anti-Goat HRP-DAB Cell & Tissue Staining Kit (brown; Catalog # CTS008) and counterstained with hematoxylin (blue). Specific staining was localized to cytoplasm. View our protocol for Chromogenic IHC Staining of Paraffin-embedded Tissue Sections.
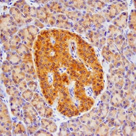
Betacellulin/BTC antibody in Human Pancreas by Immunohistochemistry (IHC-P).

Betacellulin/BTC in Human Pancreas.

Betacellulin/BTC was detected in immersion fixed paraffin-embedded sections of human pancreas using Goat Anti-Human Betacellulin/BTC Antigen Affinity-purified Polyclonal Antibody (Catalog # AF-261-NA) at 15 µg/mL overnight at 4 °C. Tissue was stained using the Anti-Goat HRP-DAB Cell & Tissue Staining Kit (brown; Catalog # CTS008) and counterstained with hematoxylin (blue). Specific staining was localized to islets. View our protocol for Chromogenic IHC Staining of Paraffin-embedded Tissue Sections.

Applications for Human Betacellulin/BTC Antibody

Application
Recommended Usage

Immunohistochemistry

3-15 µg/mL
Sample: Immersion fixed paraffin-embedded sections of human lung cancer tissue and human pancreas

Western Blot

2 µg/mL
Sample: MCF‑7 human breast cancer cell line and OVCAR‑3 human ovarian carcinoma cell line

Neutralization

Measured by its ability to neutralize Betacellulin/BTC-induced proliferation in the Balb/3T3 mouse embryonic fibroblast cell line. The Neutralization Dose (ND50) is typically 0.04-0.08 µg/mL in the presence of 1 ng/mL Recombinant Human Betacellulin/BTC.

Formulation, Preparation, and Storage

Purification

Antigen Affinity-purified

Reconstitution

Reconstitute at 0.2 mg/mL in sterile PBS. For liquid material, refer to CoA for concentration.

Reconstitution Buffer Available:
Size / Price
Qty
Loading...

Formulation

Lyophilized from a 0.2 μm filtered solution in PBS with Trehalose. *Small pack size (SP) is supplied either lyophilized or as a 0.2 µm filtered solution in PBS.

Shipping

Lyophilized product is shipped at ambient temperature. Liquid small pack size (-SP) is shipped with polar packs. Upon receipt, store immediately at the temperature recommended below.

Stability & Storage

Use a manual defrost freezer and avoid repeated freeze-thaw cycles.
  • 12 months from date of receipt, -20 to -70 °C as supplied.
  • 1 month, 2 to 8 °C under sterile conditions after reconstitution.
  • 6 months, -20 to -70 °C under sterile conditions after reconstitution.

Background: Betacellulin/BTC

Betacellulin (BTC) is a member of the EGF family of cytokines that is comprised of at least ten proteins including EGF, TGF-alpha, amphiregulin, HB-EGF, and the various heregulins. All of these cytokines are synthesized as transmembrane precursors and are characterized by the presence of one or more EGF structural units in their extracellular domain. The soluble forms of these cytokines are released by proteolytic cleavage. BTC, a heparin-binding protein, was originally isolated from the conditioned media of mouse pancreatic beta tumor cells as a 32 kDa glycoprotein composed of 80 amino acid residues. The cDNA encoding human BTC was cloned from a human breast adenocarcinoma cell line (MCF-7) cDNA library. Human and mouse cDNAs encode BTC precursor proteins of 178 and 177 amino acid residues, respectively. At the amino acid sequence level, human BTC precursor protein exhibits 79% identity with that of the mouse BTC precursor. In a mouse cell line transfected with human BTC cDNA, three forms of soluble human BTC have been detected: the glycosylated, intact BTC composed of 80 amino acid residues, a truncated molecule lacking 12 amino acid residues from the amino terminus, and a second truncated molecule lacking 30 amino acid residues from the amino terminus. The biological activities of these BTC forms were shown to be identical. BTC can bind to the EGF receptor and is a potent mitogen for Balb/c 3T3 fibroblasts, retinal pigment epithelial cells and vascular smooth muscle cells.

Alternate Names

BTC

Entrez Gene IDs

685 (Human); 12223 (Mouse)

Gene Symbol

BTC

UniProt

Additional Betacellulin/BTC Products

Product Documents for Human Betacellulin/BTC Antibody

Certificate of Analysis

To download a Certificate of Analysis, please enter a lot number in the search box below.

Note: Certificate of Analysis not available for kit components.

Product Specific Notices for Human Betacellulin/BTC Antibody

For research use only

Loading...
Loading...
Loading...
Loading...