Skip to main content

Key Product Details

Species Reactivity

Human

Applications

Immunohistochemistry, ELISA, Immunocytochemistry

Label

Unconjugated

Antibody Source

Recombinant Monoclonal Rabbit IgG Clone # 2554B

Product Specifications

Immunogen

E. coli-derived human Apolipoprotein C‑II/ApoC2
Thr23-Glu101
Accession # P02655

Specificity

Detects human Apolipoprotein C‑II/ApoC2 in direct ELISA.

Clonality

Monoclonal

Host

Rabbit

Isotype

IgG

Scientific Data Images for Human Apolipoprotein C-II/ApoC2 Antibody

Apolipoprotein C-II/ApoC2 in THP-1 Human Cell Line.

Apolipoprotein C-II/ApoC2 was detected in immersion fixed THP-1 human acute monocytic leukemia cell line (left panel; positive staining) and MCF-7 human breast cancer cell line (right panel; negative staining) using Rabbit Anti-Human Apolipoprotein C-II/ApoC2 Monoclonal Antibody (Catalog # MAB44971) at 3 µg/mL for 3 hours at room temperature. Cells were stained using the NorthernLights™ 557-conjugated Anti-Rabbit IgG Secondary Antibody (red; NL004) and counterstained with DAPI (blue). Specific staining was localized to cytoplasm. Staining was performed using our protocol for Fluorescent ICC Staining of Non-adherent Cells.

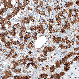
Apolipoprotein C-II/ApoC2 in Human Liver.

Apolipoprotein C-II/ApoC2 was detected in immersion fixed paraffin-embedded sections of human liver using Rabbit Anti-Human Apolipoprotein C-II/ApoC2 Monoclonal Antibody (Catalog # MAB44971) at 0.3 µg/mL for 1 hour at room temperature followed by incubation with the Anti-Rabbit IgG VisUCyte™ HRP Polymer Antibody (VC003). Before incubation with the primary antibody, tissue was subjected to heat-induced epitope retrieval using Antigen Retrieval Reagent-Basic (CTS013). Tissue was stained using DAB (brown) and counterstained with hematoxylin (blue). Specific staining was localized to cytoplasm in hepatocytes. Staining was performed using our protocol for IHC Staining with VisUCyte HRP Polymer Detection Reagents.

Human Apolipoprotein C-II/ApoC2 ELISA Standard Curve.

Recombinant Human Apolipoprotein C-II/ApoC2 protein was serially diluted 2-fold and captured by Rabbit Anti-Human Apolipoprotein C-II/ApoC2 Monoclonal Antibody (MAB4497) coated on a Clear Polystyrene Microplate (DY990). Rabbit Anti-Human Apolipoprotein C-II/ApoC2 Monoclonal Antibody (Catalog # MAB44971) was biotinylated and incubated with the protein captured on the plate. Detection of the standard curve was achieved by incubating Streptavidin-HRP (DY998) followed by Substrate Solution (DY999) and stopping the enzymatic reaction with Stop Solution (DY994).

Applications for Human Apolipoprotein C-II/ApoC2 Antibody

Application
Recommended Usage

ELISA

This antibody functions as an ELISA detection antibody when paired with Rabbit Anti-Human Apolipoprotein C‑II/ApoC2 Monoclonal Antibody (Catalog # MAB4497).

This product is intended for assay development on various assay platforms requiring antibody pairs.

Immunocytochemistry

3-25 µg/mL
Sample: Immersion fixed THP-1 human acute monocytic leukemia cell line

Immunohistochemistry

0.3-25 µg/mL
Sample: Immersion fixed paraffin-embedded sections of human liver

Reviewed Applications

Read 1 review rated 5 using MAB44971 in the following applications:

Formulation, Preparation, and Storage

Purification

Protein A or G purified from cell culture supernatant

Reconstitution

Reconstitute at 0.5 mg/mL in sterile PBS. For liquid material, refer to CoA for concentration.

Reconstitution Buffer Available:
Size / Price
Qty
Loading...

Formulation

Lyophilized from a 0.2 μm filtered solution in PBS with Trehalose. *Small pack size (SP) is supplied either lyophilized or as a 0.2 µm filtered solution in PBS.

Shipping

Lyophilized product is shipped at ambient temperature. Liquid small pack size (-SP) is shipped with polar packs. Upon receipt, store immediately at the temperature recommended below.

Stability & Storage

Use a manual defrost freezer and avoid repeated freeze-thaw cycles.
  • 12 months from date of receipt, -20 to -70 °C as supplied.
  • 1 month, 2 to 8 °C under sterile conditions after reconstitution.
  • 6 months, -20 to -70 °C under sterile conditions after reconstitution.

Background: Apolipoprotein C-II/ApoC2

Apolipoprotein C2 (ApoC2/II) is a 8‑9 kDa, secreted member of the Apolipoprotein C2 family of proteins. It is produced by hepatocytes and represents a major component of VLDL particles. It activates lipoprotein lipase and may self-associate to form amyloid-type fibrils. The human ApoC2 precursor is 101 amino acids (aa) in length. It contains a 22 amino acid (aa) signal sequence, followed by a 79 aa ProApoC2 that contains a lipid-binding region (aa 43‑51) and an enzyme interaction site (aa 55‑78). ProApoC2 represents >90% of circulating ApoC2. In human, limited proteolytic processing occurs with removal of the six aa prosegment (aa 23‑28). This does not affect activity. Human ProApoC2 is 59% and 62% aa identical to mouse and rat ProApoC2, respectively.

Alternate Names

APOC2, Apolipoprotein CII

Entrez Gene IDs

344 (Human); 11813 (Mouse); 292697 (Rat)

Gene Symbol

APOC2

UniProt

Additional Apolipoprotein C-II/ApoC2 Products

Product Documents for Human Apolipoprotein C-II/ApoC2 Antibody

Certificate of Analysis

To download a Certificate of Analysis, please enter a lot number in the search box below.

Note: Certificate of Analysis not available for kit components.

Product Specific Notices for Human Apolipoprotein C-II/ApoC2 Antibody

For research use only

Loading...
Loading...
Loading...
Loading...