Human Apolipoprotein C-II/ApoC2 Antibody
R&D Systems, part of Bio-Techne | Catalog # MAB4497
Recombinant Monoclonal Antibody.
Conjugate
Catalog #
Key Product Details
Species Reactivity
Human
Applications
Immunohistochemistry, Western Blot, ELISA, Immunocytochemistry
Label
Unconjugated
Antibody Source
Recombinant Monoclonal Rabbit IgG Clone # 2554A
Product Specifications
Immunogen
E. coli-derived human Apolipoprotein C‑II/ApoC2
Thr23-Glu101
Accession # P02655
Thr23-Glu101
Accession # P02655
Specificity
Detects human Apolipoprotein C‑II/ApoC2 in direct ELISAs.
Clonality
Monoclonal
Host
Rabbit
Isotype
IgG
Scientific Data Images for Human Apolipoprotein C-II/ApoC2 Antibody
Detection of Human Apolipoprotein C‑II/ApoC2 by Western Blot.
Western blot shows lysates of human liver tissue and human plasma. PVDF membrane was probed with 0.5 µg/mL of Rabbit Anti-Human Apolipoprotein C-II/ApoC2 Monoclonal Antibody (Catalog # MAB4497) followed by HRP-conjugated Anti-Rabbit IgG Secondary Antibody (Catalog # HAF008). A specific band was detected for Apolipoprotein C-II/ApoC2 at approximately 11 kDa (as indicated). This experiment was conducted under reducing conditions and using Immunoblot Buffer Group 1.Apolipoprotein C‑II/ApoC2 in THP‑1 Human Cell Line.
Apolipoprotein C-II/ApoC2 was detected in immersion fixed THP-1 human acute monocytic leukemia cell line (positive stain) and MCF-7 human breast cancer cell line (negative stain) using Rabbit Anti-Human Apolipoprotein C-II/ApoC2 Monoclonal Antibody (Catalog # MAB4497) at 3 µg/mL for 3 hours at room temperature. Cells were stained using the NorthernLights™ 557-conjugated Anti-Rabbit IgG Secondary Antibody (red; Catalog # NL004) and counterstained with DAPI (blue). Specific staining was localized to cytoplasm. View our protocol for Fluorescent ICC Staining of Cells on Coverslips.Apolipoprotein C‑II/ApoC2 in Human Liver.
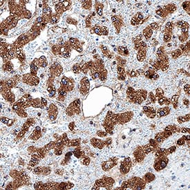
Apolipoprotein C-II/ApoC2 was detected in immersion fixed paraffin-embedded sections of human liver using Rabbit Anti-Human Apolipoprotein C-II/ApoC2 Monoclonal Antibody (Catalog # MAB4497) at 0.3 µg/mL for 1 hour at room temperature followed by incubation with the Anti-Rabbit IgG VisUCyte™ HRP Polymer Antibody (Catalog # VC003). Before incubation with the primary antibody, tissue was subjected to heat-induced epitope retrieval using Antigen Retrieval Reagent-Basic (Catalog # CTS013). Tissue was stained using DAB (brown) and counterstained with hematoxylin (blue). Specific staining was localized to cytoplasm in hepatocytes. View our protocol for IHC Staining with VisUCyte HRP Polymer Detection Reagents.Applications for Human Apolipoprotein C-II/ApoC2 Antibody
Application
Recommended Usage
ELISA
This antibody functions as an ELISA capture antibody when paired with Rabbit Anti-Human Apolipoprotein C‑II/ApoC2 Monoclonal Antibody (Catalog # MAB44971).
This product is intended for assay development on various assay platforms requiring antibody pairs.
Immunocytochemistry
3-25 µg/mL
Sample: Immersion fixed THP‑1 human acute monocytic leukemia cell line
Sample: Immersion fixed THP‑1 human acute monocytic leukemia cell line
Immunohistochemistry
0.3-25 µg/mL
Sample: Immersion fixed paraffin-embedded sections of human liver
Sample: Immersion fixed paraffin-embedded sections of human liver
Western Blot
0.5 µg/mL
Sample: Human liver tissue and Human plasma
Sample: Human liver tissue and Human plasma
Formulation, Preparation, and Storage
Purification
Protein A or G purified from cell culture supernatant
Reconstitution
Reconstitute at 0.5 mg/mL in sterile PBS. For liquid material, refer to CoA for concentration.
Formulation
Lyophilized from a 0.2 μm filtered solution in PBS with Trehalose. *Small pack size (SP) is supplied either lyophilized or as a 0.2 µm filtered solution in PBS.
Shipping
Lyophilized product is shipped at ambient temperature. Liquid small pack size (-SP) is shipped with polar packs. Upon receipt, store immediately at the temperature recommended below.
Stability & Storage
Use a manual defrost freezer and avoid repeated freeze-thaw cycles.
- 12 months from date of receipt, -20 to -70 °C as supplied.
- 1 month, 2 to 8 °C under sterile conditions after reconstitution.
- 6 months, -20 to -70 °C under sterile conditions after reconstitution.
Background: Apolipoprotein C-II/ApoC2
Alternate Names
APOC2, Apolipoprotein CII
Gene Symbol
APOC2
UniProt
Additional Apolipoprotein C-II/ApoC2 Products
Product Documents for Human Apolipoprotein C-II/ApoC2 Antibody
Product Specific Notices for Human Apolipoprotein C-II/ApoC2 Antibody
For research use only
Loading...
Loading...
Loading...
Loading...