Skip to main content

HAX-1 Antibody - BSA Free

Novus Biologicals, part of Bio-Techne | Catalog # NBP1-31647

Novus Biologicals, part of Bio-Techne
Catalog #
Availability
Size / Price
Qty
Loading...
NBP1-31647

Key Product Details

Species Reactivity

Human, Mouse, Rat

Applications

Immunohistochemistry, Immunohistochemistry-Paraffin, Western Blot, Immunocytochemistry/ Immunofluorescence

Label

Unconjugated

Antibody Source

Polyclonal Rabbit IgG

Format

BSA Free

Concentration

Concentrations vary lot to lot. See vial label for concentration. If unlisted please contact technical services.

Product Specifications

Immunogen

Recombinant protein encompassing a sequence within the center region of human HAX-1. The exact sequence is proprietary.

Localization

Mitochondrion, Endoplasmic reticulum, Nucleus membrane

Clonality

Polyclonal

Host

Rabbit

Isotype

IgG

Description

Novus Biologicals Rabbit HAX-1 Antibody - BSA Free (NBP1-31647) is a polyclonal antibody validated for use in IHC, WB and ICC/IF. All Novus Biologicals antibodies are covered by our 100% guarantee.

Scientific Data Images for HAX-1 Antibody - BSA Free

Immunocytochemistry/ Immunofluorescence: HAX-1 Antibody [NBP1-31647]

Immunocytochemistry/ Immunofluorescence: HAX-1 Antibody [NBP1-31647]

Immunocytochemistry/Immunofluorescence: HAX-1 Antibody [NBP1-31647] - Analysis of methanol-fixed A431, using HAX1 antibody (Green) at 1:500 dilution. Alpha-tubulin filaments were labeled with an alpha Tubulin antibody (Red) at 1:2000.
Immunohistochemistry-Paraffin: HAX-1 Antibody [NBP1-31647]

Immunohistochemistry-Paraffin: HAX-1 Antibody [NBP1-31647]

Immunohistochemistry-Paraffin: HAX-1 Antibody [NBP1-31647] - Sample: Paraffin-embedded rat ovary. HAX-1 antibody diluted at 1:500. Antigen Retrieval: Citrate buffer, pH 6.0, 15 min.
Immunohistochemistry-Paraffin: HAX-1 Antibody [NBP1-31647]

Immunohistochemistry-Paraffin: HAX-1 Antibody [NBP1-31647]

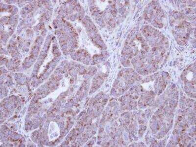
Immunohistochemistry-Paraffin: HAX-1 Antibody [NBP1-31647] - NCIN87 Xenograft , using HAX1 antibody at 1:100 dilution. Antigen Retrieval: Citrate buffer, pH 6.0, 15 min.

Applications for HAX-1 Antibody - BSA Free

Application
Recommended Usage

Immunocytochemistry/ Immunofluorescence

1:100-1:1000

Immunohistochemistry

1:100-1:1000

Immunohistochemistry-Paraffin

1:100-1:1000

Western Blot

1:500-1:3000

Formulation, Preparation, and Storage

Purification

Antigen Affinity-purified

Formulation

PBS, 20% Glycerol

Format

BSA Free

Preservative

0.025% Proclin 300

Concentration

Concentrations vary lot to lot. See vial label for concentration. If unlisted please contact technical services.

Shipping

The product is shipped with polar packs. Upon receipt, store it immediately at the temperature recommended below.

Stability & Storage

Aliquot and store at -20C or -80C. Avoid freeze-thaw cycles.

Background: HAX-1

HAX1 is known to associate with hematopoietic cell-specific Lyn substrate 1 (HS1), one of the substrates of receptor-coupled tyrosine kinases activated during clonal expansion and deletion in lymphoid cells. It also interacts with the product of the polycystic kidney disease 2 (PKD2) gene and with the F-actin-binding protein, cortactin. HAX1 is also reported to bind to hairpin structures in vimentin and DNA polymerase beta mRNAs, so may play a role in mRNA stability and transport. It may also function in promoting cell survival. Defects in HAX1 are the cause of autosomal recessive severe congenital neutropenia 3 (SCN3) also called Kostmann disease.

Long Name

HCLS1 associated protein X-1

Alternate Names

HAX1, HCLSBP1, HS1BP1, SCN3

Gene Symbol

HAX1

Additional HAX-1 Products

Product Documents for HAX-1 Antibody - BSA Free

Certificate of Analysis

To download a Certificate of Analysis, please enter a lot number in the search box below.

Product Specific Notices for HAX-1 Antibody - BSA Free

This product is for research use only and is not approved for use in humans or in clinical diagnosis. Primary Antibodies are guaranteed for 1 year from date of receipt.

Loading...
Loading...
Loading...
Loading...

⚠ WARNING: This product can expose you to chemicals including mercury, which is known to the State of California to cause reproductive toxicity with developmental effects.  For more information go to www.P65Warnings.ca.gov.