Skip to main content

Glutathione S-Transferase pi 1/GSTP1 Antibody (OTI4B6) - Azide and BSA Free

Novus Biologicals, part of Bio-Techne | Catalog # NBP2-70857

Novus Biologicals, part of Bio-Techne

Key Product Details

Species Reactivity

Human, Mouse, Rat

Applications

Immunohistochemistry, Immunohistochemistry-Paraffin, Western Blot

Label

Unconjugated

Antibody Source

Monoclonal Mouse IgG2B Clone # OTI4B6

Format

Azide and BSA Free

Concentration

LYOPH mg/ml

Product Specifications

Immunogen

Full length human recombinant protein of human GSTP1 (NP_000843) produced in E.coli.

Reactivity Notes

Please note that this antibody is reactive to Mouse and derived from the same host, Mouse. Mouse-On-Mouse blocking reagent may be needed for IHC and ICC experiments to reduce high background signal. You can find these reagents under catalog numbers PK-2200-NB and MP-2400-NB. Please contact Technical Support if you have any questions.

Clonality

Monoclonal

Host

Mouse

Isotype

IgG2B

Description

Novus Biologicals Mouse Glutathione S-Transferase pi 1/GSTP1 Antibody (OTI4B6) - Azide and BSA Free (NBP2-45916) is a monoclonal antibody validated for use in IHC and WB. All Novus Biologicals antibodies are covered by our 100% guarantee.

Scientific Data Images

Western Blot: Glutathione S-Transferase pi 1/GSTP1 Antibody (OTI4B6)Azide and BSA Free [NBP2-70857]

Western Blot: Glutathione S-Transferase pi 1/GSTP1 Antibody (OTI4B6)Azide and BSA Free [NBP2-70857]

Western Blot: Glutathione S-Transferase pi 1/GSTP1 Antibody (OTI4B6) - Azide and BSA Free [NBP2-70857] - Analysis of HEK293T cells were transfected with the pCMV6-ENTRY control (Left lane) or pCMV6-ENTRY GSTP1.
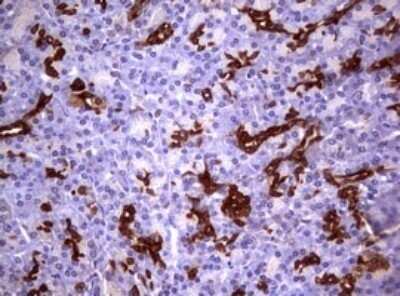
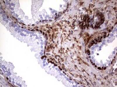
Immunohistochemistry: Glutathione S-Transferase pi 1/GSTP1 Antibody (OTI4B6) - Azide and BSA Free [NBP2-70857]

Immunohistochemistry: Glutathione S-Transferase pi 1/GSTP1 Antibody (OTI4B6) - Azide and BSA Free [NBP2-70857]

Immunohistochemistry: Glutathione S-Transferase pi 1/GSTP1 Antibody (OTI4B6) - Azide and BSA Free [NBP2-70857] - Analysis of Human prostate tissue. (Heat-induced epitope retrieval by 10mM citric buffer, pH6.0, 120C for 3min)
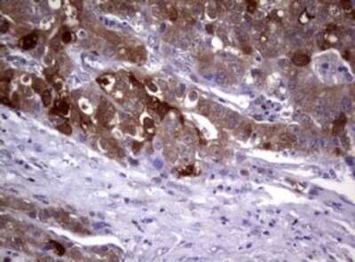
Immunohistochemistry: Glutathione S-Transferase pi 1/GSTP1 Antibody (OTI4B6) - Azide and BSA Free [NBP2-70857]

Immunohistochemistry: Glutathione S-Transferase pi 1/GSTP1 Antibody (OTI4B6) - Azide and BSA Free [NBP2-70857]

Immunohistochemistry: Glutathione S-Transferase pi 1/GSTP1 Antibody (OTI4B6) - Azide and BSA Free [NBP2-70857] - Analysis of Adenocarcinoma of Human colon tissue. (Heat-induced epitope retrieval by 10mM citric buffer, pH6.0, 120C for 3min)

Applications

Application
Recommended Usage

Immunohistochemistry

1:150

Western Blot

1:2000

Formulation, Preparation, and Storage

Purification

Immunogen affinity purified

Reconstitution

we recommend adding 100uL distilled water to a final antibody concentration of about 1 mg/mL. To use this carrier-free antibody for conjugation experiment, we strongly recommend performing another round of desalting process.

Formulation

Lyophilized from PBS (pH 7.3) with 8% Trehalose

Format

Azide and BSA Free

Preservative

No Preservative

Concentration

LYOPH mg/ml

Shipping

The product is shipped with polar packs. Upon receipt, store it immediately at the temperature recommended below.

Stability & Storage

Store at -20C. Avoid freeze-thaw cycles.

Background: Glutathione S-Transferase pi 1/GSTP1

GSTP1 (glutathione-S-transferase, pi 1), also called GST3/DFN7, which is located on chromosome 11q13 , is a family of enzymes that play an important role in detoxification by catalyzing the conjugation of many hydrophobic and electrophilic compounds with reduced glutathione. GSTP1 act like a tumor suppressor gene, which when inactivated leads to tumor growth, and the -class glutathione S-transferase is commonly inactivated by somatic CpGisland hypermethylation in cancers of the prostate, liver, and breast. Methylation of regulatory sequences at the GSTP1 gene locus is found in the vast majority (>90%) of prostate carcinomas and is associated with transcriptional down-regulation.

Alternate Names

DFN7, FAEES3, Glutathione STransferase pi 1, GSTP1

Gene Symbol

GSTP1

Additional Glutathione S-Transferase pi 1/GSTP1 Products

Product Documents

Certificate of Analysis

To download a Certificate of Analysis, please enter a lot number in the search box below.

Product Specific Notices

This product is for research use only and is not approved for use in humans or in clinical diagnosis. Primary Antibodies are guaranteed for 1 year from date of receipt.

Loading...
Loading...
Loading...
Loading...
Loading...