Skip to main content

Glutathione S-Transferase pi 1/GSTP1 Antibody (OTI4B6)

Novus Biologicals, part of Bio-Techne | Catalog # NBP2-45916

Novus Biologicals, part of Bio-Techne
Catalog #
Availability
Size / Price
Qty
Loading...
NBP2-45916
Conjugate
Catalog #

Key Product Details

Species Reactivity

Human, Mouse, Rat

Applications

Immunohistochemistry, Immunohistochemistry-Paraffin, Western Blot

Label

Unconjugated

Antibody Source

Monoclonal Mouse IgG2B Clone # OTI4B6

Concentration

1 mg/ml

Product Specifications

Immunogen

Full length human recombinant protein of human GSTP1 (NP_000843) produced in E.coli.

Reactivity Notes

Please note that this antibody is reactive to Mouse and derived from the same host, Mouse. Mouse-On-Mouse blocking reagent may be needed for IHC and ICC experiments to reduce high background signal. You can find these reagents under catalog numbers PK-2200-NB and MP-2400-NB. Please contact Technical Support if you have any questions.

Clonality

Monoclonal

Host

Mouse

Isotype

IgG2B

Scientific Data Images for Glutathione S-Transferase pi 1/GSTP1 Antibody (OTI4B6)

Western Blot: Glutathione S-Transferase pi 1/GSTP1 Antibody (OTI4B6) [NBP2-45916]

Western Blot: Glutathione S-Transferase pi 1/GSTP1 Antibody (OTI4B6) [NBP2-45916]

Western Blot: Glutathione S-Transferase pi 1/GSTP1 Antibody (4B6) [NBP2-45916] - Analysis of HEK293T cells were transfected with the pCMV6-ENTRY control (Left lane) or pCMV6-ENTRY GSTP1.
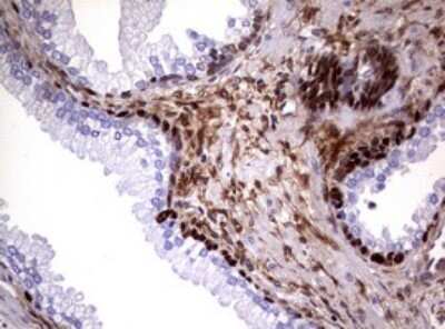
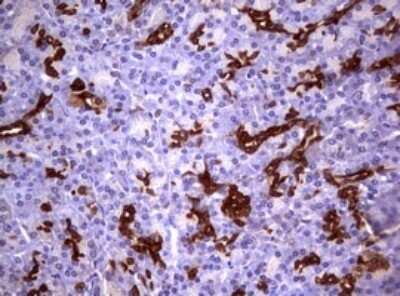
Immunohistochemistry: Glutathione S-Transferase pi 1/GSTP1 Antibody (OTI4B6) [NBP2-45916]

Immunohistochemistry: Glutathione S-Transferase pi 1/GSTP1 Antibody (OTI4B6) [NBP2-45916]

Immunohistochemistry: Glutathione S-Transferase pi 1/GSTP1 Antibody (4B6) [NBP2-45916] - Analysis of Carcinoma of Human thyroid tissue. (Heat-induced epitope retrieval by 10mM citric buffer, pH6.0, 120C for 3min)
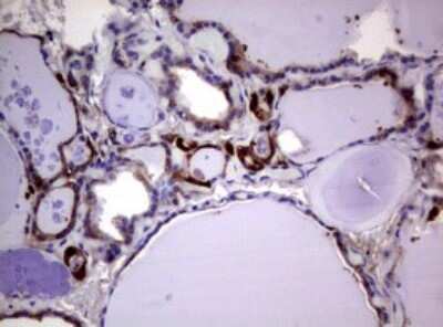
Immunohistochemistry: Glutathione S-Transferase pi 1/GSTP1 Antibody (OTI4B6) [NBP2-45916]

Immunohistochemistry: Glutathione S-Transferase pi 1/GSTP1 Antibody (OTI4B6) [NBP2-45916]

Immunohistochemistry: Glutathione S-Transferase pi 1/GSTP1 Antibody (4B6) [NBP2-45916] - Analysis of Carcinoma of Human prostate tissue. (Heat-induced epitope retrieval by 10mM citric buffer, pH6.0, 120C for 3min)

Applications for Glutathione S-Transferase pi 1/GSTP1 Antibody (OTI4B6)

Application
Recommended Usage

Immunohistochemistry

1:150

Western Blot

1:2000

Formulation, Preparation, and Storage

Purification

Immunogen affinity purified

Formulation

PBS (pH 7.3), 1.0% BSA and 50% Glycerol

Preservative

0.02% Sodium Azide

Concentration

1 mg/ml

Shipping

The product is shipped with polar packs. Upon receipt, store it immediately at the temperature recommended below.

Stability & Storage

Store at -20C. Avoid freeze-thaw cycles.

Background: Glutathione S-Transferase pi 1/GSTP1

GSTP1 (glutathione-S-transferase, pi 1), also called GST3/DFN7, which is located on chromosome 11q13 , is a family of enzymes that play an important role in detoxification by catalyzing the conjugation of many hydrophobic and electrophilic compounds with reduced glutathione. GSTP1 act like a tumor suppressor gene, which when inactivated leads to tumor growth, and the -class glutathione S-transferase is commonly inactivated by somatic CpGisland hypermethylation in cancers of the prostate, liver, and breast. Methylation of regulatory sequences at the GSTP1 gene locus is found in the vast majority (>90%) of prostate carcinomas and is associated with transcriptional down-regulation.

Alternate Names

DFN7, FAEES3, Glutathione STransferase pi 1, GSTP1

Gene Symbol

GSTP1

Additional Glutathione S-Transferase pi 1/GSTP1 Products

Product Documents for Glutathione S-Transferase pi 1/GSTP1 Antibody (OTI4B6)

Certificate of Analysis

To download a Certificate of Analysis, please enter a lot number in the search box below.

Product Specific Notices for Glutathione S-Transferase pi 1/GSTP1 Antibody (OTI4B6)

This product is for research use only and is not approved for use in humans or in clinical diagnosis. Primary Antibodies are guaranteed for 1 year from date of receipt.

Loading...
Loading...
Loading...
Loading...