Fibulin 1 Antibody (CL0337) - Azide and BSA Free
Novus Biologicals, part of Bio-Techne | Catalog # NBP3-43893
Key Product Details
Validated by
Species Reactivity
Validated:
Predicted:
Applications
Label
Antibody Source
Format
Concentration
Product Specifications
Immunogen
Clonality
Host
Isotype
Scientific Data Images for Fibulin 1 Antibody (CL0337) - Azide and BSA Free
Western Blot: Fibulin 1 Antibody [NBP3-43893]
Lane 1: Marker [kDa]Lane 2: Human plasma
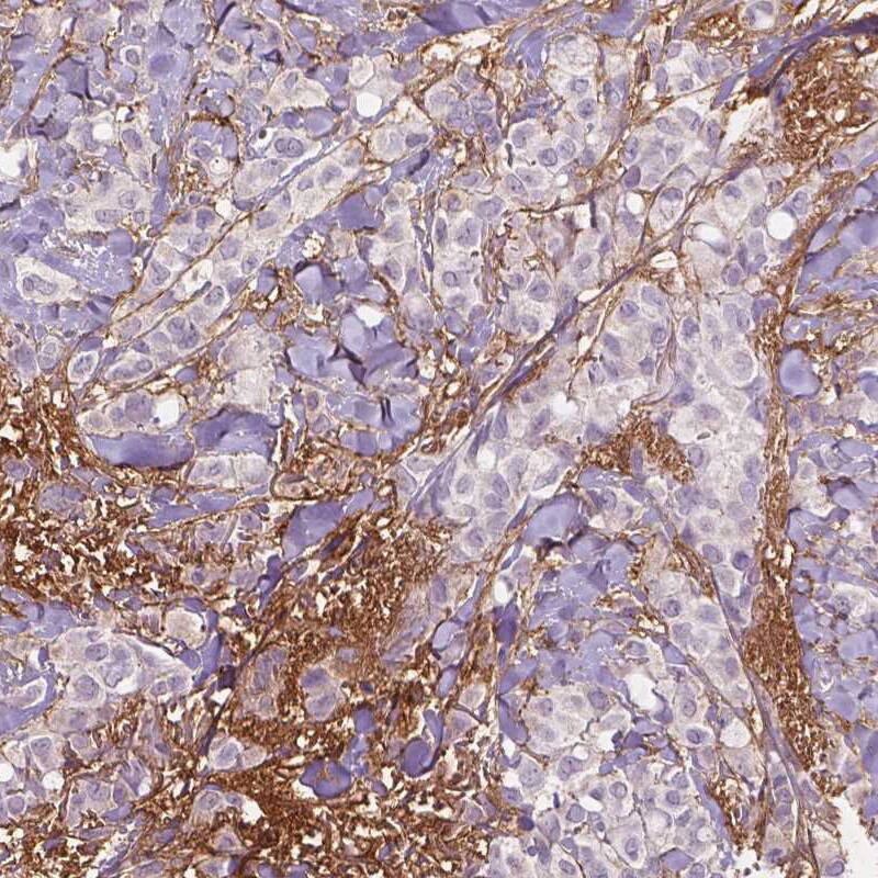
Immunohistochemistry-Paraffin: Fibulin 1 Antibody [NBP3-43893]
Staining of human breast cancer shows moderate positivity in the extracellular matrix of tumor stroma.Applications for Fibulin 1 Antibody (CL0337) - Azide and BSA Free
Immunocytochemistry/ Immunofluorescence
Immunohistochemistry-Paraffin
Western Blot
Formulation, Preparation, and Storage
Purification
Reconstitution
Formulation
Format
Preservative
Concentration
Shipping
Stability & Storage
Background: Fibulin 1
Fibulin 1 is a matricellular glycoprotein component of the elastic fiber core in connective tissues. It self-aggregates and additionally binds to several extracellular matrix and cellular proteins including Aggrecan, Versican, Fibronectin, ECM1, NOV/CCN3, and pro-HB-EGF. Fibulin 1c enhances ADAMTS-1 mediated cleavage of Aggrecan and Versican and can itself be cleaved by neutrophil elastase or MMP-13. It functions as a bridge between Fibrinogen and Fibrin, enabling Fibrin attachment to the platelet cell surface via Integrin alpha 2 beta 3. Fibulin 1 inhibits cardiomyocyte proliferation and Fibronectin-mediated cell adhesion and can promote bone formation.
Alternate Names
Gene Symbol
Additional Fibulin 1 Products
Product Documents for Fibulin 1 Antibody (CL0337) - Azide and BSA Free
Product Specific Notices for Fibulin 1 Antibody (CL0337) - Azide and BSA Free
This product is for research use only and is not approved for use in humans or in clinical diagnosis. Primary Antibodies are guaranteed for 1 year from date of receipt.