Skip to main content

FIBP Antibody - BSA Free

Novus Biologicals, part of Bio-Techne | Catalog # NBP3-46318

Novus Biologicals, part of Bio-Techne
Catalog #
Availability
Size / Price
Qty
Loading...
NBP3-46318

Key Product Details

Species Reactivity

Human, Mouse

Applications

Immunohistochemistry, Western Blot, ELISA

Label

Unconjugated

Antibody Source

Polyclonal Rabbit IgG

Format

BSA Free

Concentration

Please see the vial label for concentration. If unlisted please contact technical services.

Product Specifications

Immunogen

fibroblast growth factor (acidic) intracellular binding protein. (Uniprot# O43427)

Clonality

Polyclonal

Host

Rabbit

Isotype

IgG

Theoretical MW

42 kDa.
Disclaimer note: The observed molecular weight of the protein may vary from the listed predicted molecular weight due to post translational modifications, post translation cleavages, relative charges, and other experimental factors.

Scientific Data Images for FIBP Antibody - BSA Free

FIBP Antibody - BSA Free

Western Blot: FIBP Antibody - BSA Free [NBP3-46318] -

Western Blot: FIBP Antibody - BSA Free [NBP3-46318] - BxPC-3 cells were subjected to SDS PAGE followed by western blot with ( FIBP Antibody) at dilution of 1:1000
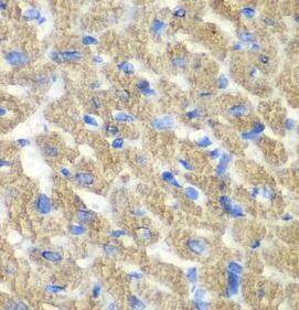
FIBP Antibody - BSA Free

Immunohistochemistry: FIBP Antibody - BSA Free [NBP3-46318] -

Immunohistochemistry: FIBP Antibody - BSA Free [NBP3-46318] - Immunohistochemistry of paraffin-embedded mouse heart using ( FIBP Antibody) at dilution of 1:100

Applications for FIBP Antibody - BSA Free

Application
Recommended Usage

Immunohistochemistry

1:50 - 1:200

Western Blot

1:500 - 1:2000

Formulation, Preparation, and Storage

Purification

Immunogen affinity purified

Formulation

PBS, 50% Glycerol, pH (7.3)

Format

BSA Free

Preservative

0.02% Sodium Azide

Concentration

Please see the vial label for concentration. If unlisted please contact technical services.

Shipping

The product is shipped with polar packs. Upon receipt, store it immediately at the temperature recommended below.

Stability & Storage

Store at -20C. Avoid freeze-thaw cycles.

Background: FIBP

Acidic fibroblast growth factor is mitogenic for a variety of different cell types and acts by stimulating mitogenesisor inducing morphological changes and differentiation. The FIBP protein is an intracellular protein that bindsselectively to acidic fibroblast growth factor (aFGF). It is postulated that FIBP may be involved in the mitogenicaction of aFGF. Two transcript variants encoding different isoforms have been found for this gene. (provided byRefSeq)

Alternate Names

fibroblast growth factor (acidic) intracellular binding protein

Gene Symbol

FIBP

Additional FIBP Products

Product Documents for FIBP Antibody - BSA Free

Certificate of Analysis

To download a Certificate of Analysis, please enter a lot number in the search box below.

Product Specific Notices for FIBP Antibody - BSA Free

This product is for research use only and is not approved for use in humans or in clinical diagnosis. Primary Antibodies are guaranteed for 1 year from date of receipt.

Loading...
Loading...
Loading...
Loading...