Skip to main content

FGFR2 Antibody (OTI5C5) - Azide and BSA Free

Novus Biologicals, part of Bio-Techne | Catalog # NBP2-70731

Novus Biologicals, part of Bio-Techne

Key Product Details

Species Reactivity

Human, Mouse, Rat

Applications

Immunohistochemistry, Immunohistochemistry-Paraffin, Western Blot, Flow Cytometry, Immunocytochemistry/ Immunofluorescence, CyTOF-ready

Label

Unconjugated

Antibody Source

Monoclonal Mouse IgG2B Clone # OTI5C5

Format

Azide and BSA Free

Concentration

LYOPH mg/ml

Product Specifications

Immunogen

Full length human recombinant protein of human FGFR2(NP_000132) produced in HEK293T cell.

Reactivity Notes

Please note that this antibody is reactive to Mouse and derived from the same host, Mouse. Mouse-On-Mouse blocking reagent may be needed for IHC and ICC experiments to reduce high background signal. You can find these reagents under catalog numbers PK-2200-NB and MP-2400-NB. Please contact Technical Support if you have any questions.

Clonality

Monoclonal

Host

Mouse

Isotype

IgG2B

Description

Novus Biologicals Mouse FGFR2 Antibody (OTI5C5) - Azide and BSA Free (NBP2-00932) is a monoclonal antibody validated for use in IHC, WB, Flow and ICC/IF. All Novus Biologicals antibodies are covered by our 100% guarantee.

Scientific Data Images for FGFR2 Antibody (OTI5C5) - Azide and BSA Free

Western Blot: FGFR2 Antibody (OTI5C5)Azide and BSA Free [NBP2-70731]

Western Blot: FGFR2 Antibody (OTI5C5)Azide and BSA Free [NBP2-70731]

Western Blot: FGFR2 Antibody (OTI5C5) - Azide and BSA Free [NBP2-70731] - HEK293T cells were transfected with the pCMV6-ENTRY control (Left lane) or pCMV6-ENTRY FGFR2 (Right lane) cDNA for 48 hrs and lysed. Equivalent amounts of cell lysates (5 ug per lane) were separated by SDS-PAGE and immunoblotted with anti-FGFR2.
Immunocytochemistry/ Immunofluorescence: FGFR2 Antibody (OTI5C5) - Azide and BSA Free [NBP2-70731]

Immunocytochemistry/ Immunofluorescence: FGFR2 Antibody (OTI5C5) - Azide and BSA Free [NBP2-70731]

Immunocytochemistry/Immunofluorescence: FGFR2 Antibody (OTI5C5) - Azide and BSA Free [NBP2-70731] - Staining of COS7 cells transiently transfected by pCMV6-ENTRY FGFR2.
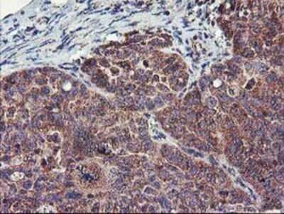
Immunohistochemistry: FGFR2 Antibody (OTI5C5) - Azide and BSA Free [NBP2-70731]

Immunohistochemistry: FGFR2 Antibody (OTI5C5) - Azide and BSA Free [NBP2-70731]

Immunohistochemistry: FGFR2 Antibody (OTI5C5) - Azide and BSA Free [NBP2-70731] - Staining of paraffin-embedded Human breast tissue using anti-FGFR2 mouse monoclonal antibody.

Applications for FGFR2 Antibody (OTI5C5) - Azide and BSA Free

Application
Recommended Usage

Flow Cytometry

1:100

Immunocytochemistry/ Immunofluorescence

1:100

Immunohistochemistry

1:150

Immunohistochemistry-Paraffin

1:150

Western Blot

1:200 - 1:1000

Formulation, Preparation, and Storage

Purification

Immunogen affinity purified

Reconstitution

we recommend adding 100uL distilled water to a final antibody concentration of about 1 mg/mL. To use this carrier-free antibody for conjugation experiment, we strongly recommend performing another round of desalting process.

Formulation

Lyophilized from PBS (pH 7.3) with 8% Trehalose

Format

Azide and BSA Free

Preservative

No Preservative

Concentration

LYOPH mg/ml

Shipping

The product is shipped with polar packs. Upon receipt, store it immediately at the temperature recommended below.

Stability & Storage

Store at -20C. Avoid freeze-thaw cycles.

Background: FGFR2

FGF activity is mediated by a family of type I transmembrane tyrosine kinases, which undergo dimerization and autophosphorylation after ligand binding. Five distinct genes encode closely related FGF receptors, FGFR1 through 5. FGFRs contain three Ig-like domains and a stretch of acidic residues between the first and second Ig-like domains. FGFR1, 2, 3, and -4 have a cytoplasmic split tyrosine-kinase domain, but FGFR5 does not. Multiple forms of FGFR1, 2, and 3 are generated by alternative splicing.

Long Name

Fibroblast Growth Factor Receptor 2

Alternate Names

CD332, FGF R2

Gene Symbol

FGFR2

Additional FGFR2 Products

Product Documents for FGFR2 Antibody (OTI5C5) - Azide and BSA Free

Certificate of Analysis

To download a Certificate of Analysis, please enter a lot number in the search box below.

Product Specific Notices for FGFR2 Antibody (OTI5C5) - Azide and BSA Free

This product is for research use only and is not approved for use in humans or in clinical diagnosis. Primary Antibodies are guaranteed for 1 year from date of receipt.

Loading...
Loading...
Loading...
Loading...
Loading...
Loading...