Skip to main content

FGFR2 Antibody (OTI5C5)

Novus Biologicals, part of Bio-Techne | Catalog # NBP2-00932

Novus Biologicals, part of Bio-Techne
Catalog #
Availability
Size / Price
Qty
Loading...
NBP2-00932

Key Product Details

Species Reactivity

Human, Mouse, Rat

Applications

Immunohistochemistry, Immunohistochemistry-Paraffin, Western Blot, Flow Cytometry, Immunocytochemistry/ Immunofluorescence

Label

Unconjugated

Antibody Source

Monoclonal Mouse IgG2B Clone # OTI5C5

Concentration

0.85 mg/ml

Product Specifications

Immunogen

Full length human recombinant protein of human FGFR2(NP_000132) produced in HEK293T cell.

Reactivity Notes

Please note that this antibody is reactive to Mouse and derived from the same host, Mouse. Mouse-On-Mouse blocking reagent may be needed for IHC and ICC experiments to reduce high background signal. You can find these reagents under catalog numbers PK-2200-NB and MP-2400-NB. Please contact Technical Support if you have any questions.

Clonality

Monoclonal

Host

Mouse

Isotype

IgG2B

Description

Novus Biologicals Mouse FGFR2 Antibody (OTI5C5) (NBP2-00932) is a monoclonal antibody validated for use in IHC, WB, Flow and ICC/IF. All Novus Biologicals antibodies are covered by our 100% guarantee.

Scientific Data Images for FGFR2 Antibody (OTI5C5)

Western Blot: FGFR2 Antibody (OTI5C5) [NBP2-00932]

Western Blot: FGFR2 Antibody (OTI5C5) [NBP2-00932]

Western Blot: FGF R2 Antibody (5C5) [NBP2-00932] - Analysis of FGF R2 in HEK293T cells (left, control) and HEK293T cells overexpressing FGF R2 (right) using anti-FGF R2 antibody. Image from verified customer review.
Immunocytochemistry/Immunofluorescence: FGFR2 Antibody (5C5) [NBP2-00932] Staining of COS7 cells transiently transfected by pCMV6-ENTRY FGFR2.
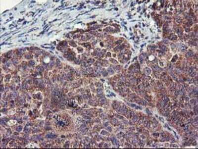
Immunohistochemistry-Paraffin: FGFR2 Antibody (OTI5C5) [NBP2-00932]

Immunohistochemistry-Paraffin: FGFR2 Antibody (OTI5C5) [NBP2-00932]

Immunohistochemistry-Paraffin: FGFR2 Antibody (5C5) [NBP2-00932] - Staining of paraffin-embedded Human endometrium tissue using anti-FGFR2 mouse monoclonal antibody.

Applications for FGFR2 Antibody (OTI5C5)

Application
Recommended Usage

Flow Cytometry

1:100

Immunocytochemistry/ Immunofluorescence

1:100

Immunohistochemistry

1:150

Immunohistochemistry-Paraffin

1:150

Western Blot

1:200-1:1000

Reviewed Applications

Read 1 review rated 5 using NBP2-00932 in the following applications:

Formulation, Preparation, and Storage

Purification

Immunogen affinity purified

Formulation

PBS (pH 7.3), 1.0% BSA and 50% Glycerol

Preservative

0.02% Sodium Azide

Concentration

0.85 mg/ml

Shipping

The product is shipped with polar packs. Upon receipt, store it immediately at the temperature recommended below.

Stability & Storage

Store at -20C. Avoid freeze-thaw cycles.

Background: FGFR2

The protein encoded by this gene is a member of the fibroblast growth factor receptor family, where amino acid sequence is highly conserved between members and throughout evolution. FGFR family members differ from one another in their ligand affinities and tissue distribution. A full-length representative protein consists of an extracellular region, composed of three immunoglobulin-like domains, a single hydrophobic membrane-spanning segment and a cytoplasmic tyrosine kinase domain. The extracellular portion of the protein interacts with fibroblast growth factors, setting in motion a cascade of downstream signals, ultimately influencing mitogenesis and differentiation. This particular family member is a high-affinity receptor for acidic, basic and/or keratinocyte growth factor, depending on the isoform. Mutations in this gene are associated with Crouzon syndrome, Pfeiffer syndrome, Craniosynostosis, Apert syndrome, Jackson-Weiss syndrome, Beare-Stevenson cutis gyrata syndrome, Saethre-Chotzen syndrome, and syndromic craniosynostosis. Multiple alternatively spliced transcript variants encoding different isoforms have been noted for this gene. [provided by RefSeq].

Long Name

Fibroblast Growth Factor Receptor 2

Alternate Names

CD332, FGF R2

Entrez Gene IDs

2263 (Human)

Gene Symbol

FGFR2

Additional FGFR2 Products

Product Documents for FGFR2 Antibody (OTI5C5)

Certificate of Analysis

To download a Certificate of Analysis, please enter a lot number in the search box below.

Product Specific Notices for FGFR2 Antibody (OTI5C5)

This product is for research use only and is not approved for use in humans or in clinical diagnosis. Primary Antibodies are guaranteed for 1 year from date of receipt.

Loading...
Loading...
Loading...
Loading...
Loading...