Skip to main content

Desmin Antibody (SI18-00)

Novus Biologicals, part of Bio-Techne | Catalog # NBP2-67407

Recombinant Monoclonal Antibody.
Novus Biologicals, part of Bio-Techne
Catalog #
Availability
Size / Price
Qty
Loading...
NBP2-67407

Key Product Details

Species Reactivity

Human, Mouse, Rat, Zebrafish

Applications

Flow Cytometry, Immunocytochemistry/ Immunofluorescence, Immunohistochemistry, Immunohistochemistry-Paraffin, Western Blot

Label

Unconjugated

Antibody Source

Recombinant Monoclonal Rabbit IgG Clone # SI18-00 expressed in HEK293

Concentration

1 mg/ml

Product Specifications

Immunogen

Synthetic peptide within Human Desmin aa 421-470 / 470. (SwissProt: P17661 Human; SwissProt: P31001 Mouse; SwissProt: P48675 Rat)

Localization

Cytoplasm, Cell membrane.

Clonality

Monoclonal

Host

Rabbit

Isotype

IgG

Description

Novus Biologicals Rabbit Desmin Antibody (SI18-00) (NBP2-67407) is a recombinant monoclonal antibody validated for use in IHC, WB, Flow and ICC/IF. All Novus Biologicals antibodies are covered by our 100% guarantee.

Scientific Data Images for Desmin Antibody (SI18-00)

Western Blot: Desmin Antibody (SI18-00) [NBP2-67407]

Western Blot: Desmin Antibody (SI18-00) [NBP2-67407]

Western Blot: Desmin Antibody (SI18-00) [NBP2-67407] - Western blot analysis of Desmin on rat skeletal muscle tissue lysates. Proteins were transferred to a PVDF membrane and blocked with 5% BSA in PBS for 1 hour at room temperature. The primary antibody (1/500) was used in 5% BSA at room temperature for 2 ho
Immunocytochemistry/ Immunofluorescence: Desmin Antibody (SI18-00) [NBP2-67407]

Immunocytochemistry/ Immunofluorescence: Desmin Antibody (SI18-00) [NBP2-67407]

Immunocytochemistry/Immunofluorescence: Desmin Antibody (SI18-00) [NBP2-67407] - Staining Desmin in C2C12 cells (green). The nuclear counter stain is DAPI (blue). Cells were fixed in paraformaldehyde, permeabilised with 0.25% Triton X100/PBS.
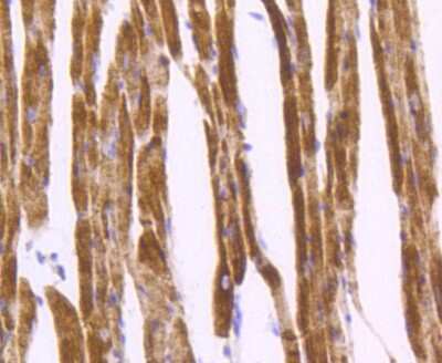
Immunohistochemistry-Paraffin: Desmin Antibody (SI18-00) [NBP2-67407]

Immunohistochemistry-Paraffin: Desmin Antibody (SI18-00) [NBP2-67407]

Immunohistochemistry-Paraffin: Desmin Antibody (SI18-00) [NBP2-67407] - Analysis of paraffin-embedded mouse skeletal muscle tissue using anti-Desmin antibody. Counter stained with hematoxylin.

Applications for Desmin Antibody (SI18-00)

Application
Recommended Usage

Flow Cytometry

1:50-1:100

Immunocytochemistry/ Immunofluorescence

1:50-1:200

Immunohistochemistry-Paraffin

1:50-1:200

Western Blot

1:1000-1:5000

Formulation, Preparation, and Storage

Purification

Protein A purified

Formulation

TBS (pH7.4), 0.05% BSA, 40% Glycerol

Preservative

0.05% Sodium Azide

Concentration

1 mg/ml

Shipping

The product is shipped with polar packs. Upon receipt, store it immediately at the temperature recommended below.

Stability & Storage

Store at 4C short term. Aliquot and store at -20C long term. Avoid freeze-thaw cycles.

Background: Desmin

Desmin is the protein subunit of muscle-type intermediate filaments (IFs). Desmin is one of the five major groups of IFs and is found predominantly in skeletal, cardiac, and smooth muscle.DE-U-10 labels desmin in tumors derived from muscle tissue (leiomyomas and rhabdomyosarcomas) (Debus E et al.).

Alternate Names

CMD1I, DES

Gene Symbol

DES

Additional Desmin Products

Product Documents for Desmin Antibody (SI18-00)

Certificate of Analysis

To download a Certificate of Analysis, please enter a lot number in the search box below.

Product Specific Notices for Desmin Antibody (SI18-00)

This product is for research use only and is not approved for use in humans or in clinical diagnosis. Primary Antibodies are guaranteed for 1 year from date of receipt.

Loading...
Loading...
Loading...
Loading...
Loading...