Skip to main content

CXCL12/SDF-1 alpha Antibody - Azide and BSA Free

Novus Biologicals, part of Bio-Techne | Catalog # NBP2-29480

Novus Biologicals, part of Bio-Techne

Key Product Details

Species Reactivity

Validated:

Human

Cited:

Human, Rat

Applications

Validated:

Immunohistochemistry, Immunohistochemistry-Paraffin, Western Blot, ELISA, Functional

Cited:

Immunohistochemistry-Paraffin, IF/IHC

Label

Unconjugated

Antibody Source

Polyclonal Rabbit IgG

Format

Azide and BSA Free

Concentration

LYOPH mg/ml

Product Specifications

Immunogen

Recombinant human SDF-1alpha

Specificity

NBP2-29480 recognises human SDF 1 alpha, otherwise known as CXCL12a, a 68 amino acid stromal cell derived CXC chemokine, which arises from alternative splicing of the SDF 1 gene. The two isoforms, SDF 1 alpha and SDF 1 beta, share an identical amino acid sequence, except for an additional four residues in the C terminal region of the beta isoform.

Clonality

Polyclonal

Host

Rabbit

Isotype

IgG

Description

Novus Biologicals Rabbit CXCL12/SDF-1 alpha Antibody - Azide and BSA Free (NBP2-29480) is a polyclonal antibody validated for use in IHC, WB and ELISA. Anti-CXCL12/SDF-1 alpha Antibody: Cited in 4 publications. All Novus Biologicals antibodies are covered by our 100% guarantee.

Scientific Data Images for CXCL12/SDF-1 alpha Antibody - Azide and BSA Free

Immunohistochemistry-Paraffin: CXCL12/SDF-1 alpha Antibody - Azide and BSA Free [NBP2-29480]

Immunohistochemistry-Paraffin: CXCL12/SDF-1 alpha Antibody - Azide and BSA Free [NBP2-29480]

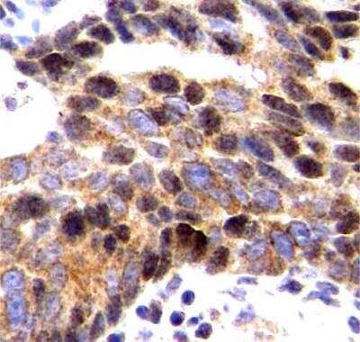
Immunohistochemistry-Paraffin: CXCL12/SDF-1 alpha Antibody [NBP2-29480] - Formalin fixed paraffin embedded tissue section of human colorectal carcinoma stained using SDF-1 alpha antibody (NBP2-29480) with DAB detection. Sodium citrate buffer (pH6.0) based heat mediated antigen retrieval was employed in this IHC-P validation.
Immunohistochemistry-Paraffin: CXCL12/SDF-1 alpha Antibody - Azide and BSA Free [NBP2-29480]

Immunohistochemistry-Paraffin: CXCL12/SDF-1 alpha Antibody - Azide and BSA Free [NBP2-29480]

Immunohistochemistry-Paraffin: CXCL12/SDF-1 alpha Antibody [NBP2-29480] - Formalin fixed paraffin embedded tissue section of human colorectal carcinoma stained using SDF-1 alpha antibody (NBP2-29480) with DAB detection. Sodium citrate buffer (pH6.0) based heat mediated antigen retrieval was employed in this IHC-P validation.

Applications for CXCL12/SDF-1 alpha Antibody - Azide and BSA Free

Application
Recommended Usage

ELISA

0.5-2.0ug/ml

Functional

2.0-4.0ug/ml

Immunohistochemistry-Paraffin

0.5ug/ml

Western Blot

0.1-0.2ug/ml
Application Notes
This product requires antigen retrieval using heat treatment prior to staining of paraffin sections.Sodium citrate buffer pH 6.0 is recommended for this purpose. NBP2-29480 may be used under either reducing or non reducing western blotting conditions. Use in Immunohistochemistry reported in scientific literature (PMID: 31116013).

Formulation, Preparation, and Storage

Purification

Immunogen affinity purified

Reconstitution

Reconstitute with 0.1 ml distilled water. Add 0.09% Sodium Azide for long term storage.

Formulation

PBS

Format

Azide and BSA Free

Preservative

No Preservative

Concentration

LYOPH mg/ml

Shipping

The product is shipped with polar packs. Upon receipt, store it immediately at the temperature recommended below.

Stability & Storage

Store at -20C. Avoid freeze-thaw cycles.

Background: CXCL12/SDF-1 alpha

SDF 1 binds with high affinity to the G protein coupled receptor CXCR4 (fusin) and acts as a chemoattractant for T and B lymphocytes, monocytes and migratory neurons, and is a vital factor in haematopoiesis and angiogenesis. By competitively binding to CXCR4, SDF 1 acts as an inhibitor for the CXCR4 mediated entry of HIV 1 virus into target T cells, and the SDF 1 CXCR4 interaction is important for the regulation of trafficking of normal and malignant stem cells.

Alternate Names

SDF1 alpha, SDF1a

Gene Symbol

CXCL12

UniProt

Additional CXCL12/SDF-1 alpha Products

Product Documents for CXCL12/SDF-1 alpha Antibody - Azide and BSA Free

Certificate of Analysis

To download a Certificate of Analysis, please enter a lot number in the search box below.

Product Specific Notices for CXCL12/SDF-1 alpha Antibody - Azide and BSA Free

This product is for research use only and is not approved for use in humans or in clinical diagnosis. Primary Antibodies are guaranteed for 1 year from date of receipt.

Loading...
Loading...
Loading...
Loading...
Loading...