Skip to main content

BMP-2 Antibody - BSA Free

Novus Biologicals, part of Bio-Techne | Catalog # NBP1-19751

Novus Biologicals, part of Bio-Techne

Key Product Details

Species Reactivity

Validated:

Human, Mouse, Rat, Canine

Cited:

Human, Mouse, Rat

Applications

Validated:

Immunohistochemistry, Immunohistochemistry-Paraffin, Western Blot, Immunocytochemistry/ Immunofluorescence

Cited:

Immunohistochemistry-Paraffin, Western Blot, Immunoblotting, Immunocytochemistry/ Immunofluorescence, IF/IHC, IHC-F

Label

Unconjugated

Antibody Source

Polyclonal Rabbit IgG

Format

BSA Free

Concentration

1 mg/ml

Product Specifications

Immunogen

A synthetic peptide made to an internal region of human BMP2 (within residues 250-350) [Swiss-Prot# P12643]

Reactivity Notes

Use in Canine reported in scientific literature (PMID:34311726)

Localization

Secreted

Clonality

Polyclonal

Host

Rabbit

Isotype

IgG

Theoretical MW

44 kDa.
Disclaimer note: The observed molecular weight of the protein may vary from the listed predicted molecular weight due to post translational modifications, post translation cleavages, relative charges, and other experimental factors.

Description

Novus Biologicals Rabbit BMP-2 Antibody - BSA Free (NBP1-19751) is a polyclonal antibody validated for use in IHC, WB and ICC/IF. Anti-BMP-2 Antibody: Cited in 30 publications. All Novus Biologicals antibodies are covered by our 100% guarantee.

Scientific Data Images for BMP-2 Antibody - BSA Free

BMP-2 Antibody - BSA Free-Western Blot-NBP1-19751-img0013.jpg
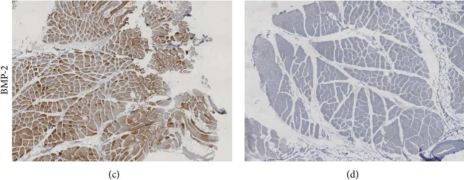
Immunohistochemistry: BMP-2 Antibody - BSA Free [NBP1-19751]

Immunohistochemistry: BMP-2 Antibody - BSA Free [NBP1-19751]

BMP-2-Antibody---BSA-Free-Immunohistochemistry-NBP1-19751-img0012.jpg
Western Blot: BMP-2 AntibodyBSA Free [NBP1-19751]

Western Blot: BMP-2 AntibodyBSA Free [NBP1-19751]

Western Blot: BMP-2 Antibody - BSA Free [NBP1-19751] - Extracts from HUVEC cells.

Applications for BMP-2 Antibody - BSA Free

Application
Recommended Usage

Immunocytochemistry/ Immunofluorescence

reported in scientific literature (PMID 30700748)

Immunohistochemistry

1:50-1:200

Immunohistochemistry-Paraffin

1:50-1:200

Western Blot

0.5 ug/ml
Application Notes
In Western Blot, a band is seen ~44 kDa. Prior to immunostaining paraffin tissues, antigen retrieval with sodium citrate buffer (pH 6.0) is recommended.

Reviewed Applications

Read 1 review rated 1 using NBP1-19751 in the following applications:

Formulation, Preparation, and Storage

Purification

Immunogen affinity purified

Formulation

PBS

Format

BSA Free

Preservative

0.05% Sodium Azide

Concentration

1 mg/ml

Shipping

The product is shipped with polar packs. Upon receipt, store it immediately at the temperature recommended below.

Stability & Storage

Store at 4C short term. Aliquot and store at -20C long term. Avoid freeze-thaw cycles.

Background: BMP-2

Bone morphogenic protein 2 is required for effective healing of fractures in bone. It is necessary for the expression of transcription factors that regulate osteogenesis and differentiation of progenitor cells into mature osteoblasts. Embryologically, BMP2 is important in mesenchymal maturation to fetal valves. The same mechanism of maturation is also utilized by tumor molecular machinery once mesenchymal stem cells are recruited to tumor microenvironments, leading to many recent attempts to generate BMP inhibitors in the treatment of ovarian and colon cancer. The activity of BMP2 is antagonized by the activity of Bambi and Crim1. BMP2 is an interesting target for distinguishing the mechanism by which normal and necessary maturation processes are mutated in tumorigenesis.

Long Name

Bone Morphogenetic Protein 2

Alternate Names

BDA2, BMP2, SSFSC

Entrez Gene IDs

650 (Human); 12156 (Mouse); 29373 (Rat)

Gene Symbol

BMP2

Additional BMP-2 Products

Product Documents for BMP-2 Antibody - BSA Free

Certificate of Analysis

To download a Certificate of Analysis, please enter a lot number in the search box below.

Product Specific Notices for BMP-2 Antibody - BSA Free

This product is for research use only and is not approved for use in humans or in clinical diagnosis. Primary Antibodies are guaranteed for 1 year from date of receipt.

Loading...
Loading...
Loading...
Loading...
Loading...