BATF3 Antibody - BSA Free
Novus Biologicals, part of Bio-Techne | Catalog # NBP2-41296
Conjugate
Catalog #
Key Product Details
Species Reactivity
Human
Applications
Validated:
Immunohistochemistry, Immunohistochemistry-Paraffin, Western Blot, ELISA, Immunocytochemistry/ Immunofluorescence
Cited:
Western Blot
Label
Unconjugated
Antibody Source
Polyclonal Rabbit IgG
Format
BSA Free
Concentration
1 mg/ml
Product Specifications
Immunogen
Antibody was raised against a 16 amino acid peptide near the amino terminus of human BATF3. The immunogen is located within the first 50 amino acids of BATF3. Amino Acid Squence: APGNQPQPQPQQQSPE
Specificity
BATF3 antibody is predicted to have no cross-reactivity to other BATF family members.
Clonality
Polyclonal
Host
Rabbit
Isotype
IgG
Theoretical MW
17 kDa.
Disclaimer note: The observed molecular weight of the protein may vary from the listed predicted molecular weight due to post translational modifications, post translation cleavages, relative charges, and other experimental factors.
Disclaimer note: The observed molecular weight of the protein may vary from the listed predicted molecular weight due to post translational modifications, post translation cleavages, relative charges, and other experimental factors.
Description
Novus Biologicals Rabbit BATF3 Antibody - BSA Free (NBP2-41296) is a polyclonal antibody validated for use in IHC, WB, ELISA and ICC/IF. Anti-BATF3 Antibody: Cited in 1 publication. All Novus Biologicals antibodies are covered by our 100% guarantee.
Scientific Data Images for BATF3 Antibody - BSA Free
Western Blot: BATF3 AntibodyBSA Free [NBP2-41296]
Western Blot: BATF3 Antibody [NBP2-41296] - Analysis of BATF3 in 293 cell lysate with BATF3 antibody at 0.5 ug/ml in (A) the absence and (B) the presence of blocking peptide.Immunohistochemistry: BATF3 Antibody - BSA Free [NBP2-41296]
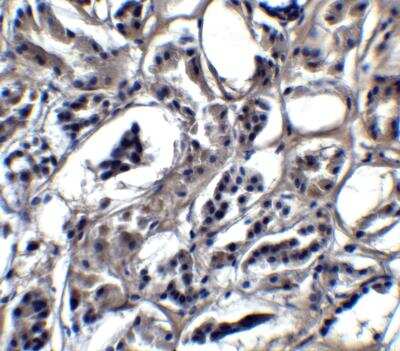
Immunohistochemistry: BATF3 Antibody [NBP2-41296] - Immunohistochemistry of BATF3 in human kidney tissue with BATF3 antibody at 5 ug/mL.Immunofluorescence: BATF3 Antibody - BSA Free [NBP2-41296]
Immunofluorescence: BATF3 Antibody [NBP2-41296] - Immunofluorescence of BATF3 in human kidney tissue with BATF3 Antibody at 20 ug/mL.Applications for BATF3 Antibody - BSA Free
Application
Recommended Usage
Immunocytochemistry/ Immunofluorescence
20 ug/ml
Immunohistochemistry
10 ug/ml
Western Blot
0.5 ug/ml
Formulation, Preparation, and Storage
Purification
Peptide affinity purified
Formulation
PBS
Format
BSA Free
Preservative
0.02% Sodium Azide
Concentration
1 mg/ml
Shipping
The product is shipped with polar packs. Upon receipt, store it immediately at the temperature recommended below.
Stability & Storage
Store at 4C.
Background: BATF3
Long Name
Basic Leucine Zipper Transcription Factor, ATF-like 3
Alternate Names
JDP1, JUNDM1, SNFT
Gene Symbol
BATF3
Additional BATF3 Products
Product Documents for BATF3 Antibody - BSA Free
Product Specific Notices for BATF3 Antibody - BSA Free
This product is for research use only and is not approved for use in humans or in clinical diagnosis. Primary Antibodies are guaranteed for 1 year from date of receipt.
Loading...
Loading...
Loading...
Loading...