NKX2.2 Products
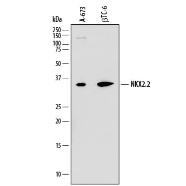
NKX2.2, also known as NKX2-2 or NKX2B, is a homeobox nuclear transcription factor that belongs to the NKX2 protein family. Human NKX2.2 is a 273 amino acid (aa) protein with a predicted molecular weight of approximately 30 kDa. It shows 98% aa sequence identity with the mouse and rat orthologs. NKX2.2 specifies differentiation of pancreatic islet cells such as those of the alpha, beta, PP, and epsilon lineages. It also functions in developmental neuronal patterning of the ventral spinal cord in response to Sonic Hedgehog gradients, and contributes to the pathfinding of commissural neurons.
320 results for "NKX2.2" in Products
320 results for "NKX2.2" in Products
NKX2.2 Products
NKX2.2, also known as NKX2-2 or NKX2B, is a homeobox nuclear transcription factor that belongs to the NKX2 protein family. Human NKX2.2 is a 273 amino acid (aa) protein with a predicted molecular weight of approximately 30 kDa. It shows 98% aa sequence identity with the mouse and rat orthologs. NKX2.2 specifies differentiation of pancreatic islet cells such as those of the alpha, beta, PP, and epsilon lineages. It also functions in developmental neuronal patterning of the ventral spinal cord in response to Sonic Hedgehog gradients, and contributes to the pathfinding of commissural neurons.
| Reactivity: | Human, Mouse, Feline |
| Details: | Rabbit IgG Polyclonal |
| Applications: | IHC, WB, ICC/IF, KO |
| Reactivity: | Human, Mouse, Rat |
| Details: | Mouse IgG2b Monoclonal Clone #883411 |
| Applications: | WB, ICC |
| Reactivity: | Human |
| Details: | Mouse IgG1 Monoclonal Clone #CL11380 |
| Applications: | IHC, WB |
| Reactivity: | Human, Mouse, Rat, Chicken |
| Details: | Mouse IgG2b Kappa Monoclonal Clone #NX2/294 |
| Applications: | IHC |
| Reactivity: | Human |
| Details: | Mouse IgG1 Monoclonal Clone #CL11380 |
| Applications: | IHC, WB |
Recombinant Monoclonal Antibody
| Reactivity: | Human, Mouse, Rat |
| Details: | Rabbit IgG Monoclonal Clone #JE60-66 |
| Applications: | IHC, WB, ICC/IF |
| Reactivity: | Human |
| Details: | Mouse IgG1 kappa Monoclonal Clone #NX2/1524 |
| Applications: | IHC, ICC/IF, Flow, CyTOF-ready, MA |
| Reactivity: | Human, Mouse, Rat |
| Details: | Mouse IgG2b Monoclonal Clone #883411 |
| Applications: | WB, ICC |
| Reactivity: | Human, Mouse, Rat |
| Details: | Mouse IgG2b Monoclonal Clone #883411 |
| Applications: | WB, ICC |
| Reactivity: | Human, Mouse, Rat |
| Details: | Mouse IgG2b Monoclonal Clone #883411 |
| Applications: | WB, ICC |
| Reactivity: | Human, Mouse, Rat |
| Details: | Mouse IgG2b Monoclonal Clone #883411 |
| Applications: | WB, ICC |
| Reactivity: | Human, Mouse, Rat |
| Details: | Mouse IgG2b Monoclonal Clone #883411 |
| Applications: | WB, ICC |
| Reactivity: | Human, Mouse, Rat |
| Details: | Mouse IgG2b Monoclonal Clone #883411 |
| Applications: | WB, ICC |
| Reactivity: | Human, Mouse, Rat |
| Details: | Mouse IgG2b Monoclonal Clone #883411 |
| Applications: | WB, ICC |
| Reactivity: | Human, Mouse, Rat |
| Details: | Mouse IgG2b Monoclonal Clone #883411 |
| Applications: | WB, ICC |
| Reactivity: | Human, Mouse, Rat, Chicken |
| Details: | Mouse IgG1 kappa Monoclonal Clone #rNX2/294 |
| Applications: | IHC, MA |
| Reactivity: | Human, Mouse, Rat, Chicken |
| Details: | Mouse IgG1 kappa Monoclonal Clone #rNX2/294 |
| Applications: | IHC, CyTOF-ready, MA |
| Reactivity: | Human |
| Details: | Mouse IgG1 kappa Monoclonal Clone #NX2/1523 |
| Applications: | IHC, MA |
| Reactivity: | Human, Mouse, Rat, Chicken |
| Details: | Mouse IgG2b Kappa Monoclonal Clone #SPM564 |
| Applications: | IHC |
| Reactivity: | Human |
| Details: | Mouse IgG1 Monoclonal Clone #3E4 |
| Applications: | WB, ELISA, Flow, CyTOF-ready |
Recombinant Monoclonal Antibody
| Reactivity: | Human |
| Details: | Rabbit IgG Monoclonal Clone #NX2/1422R |
| Applications: | IHC |
Recombinant Monoclonal Antibody
| Reactivity: | Human |
| Details: | Rabbit IgG Monoclonal Clone #NX2/1422R |
| Applications: | IHC |
Recombinant Monoclonal Antibody
| Reactivity: | Human |
| Details: | Mouse IgG1 kappa Monoclonal Clone #rNX2/1523 |
| Applications: | IHC |
Recombinant Monoclonal Antibody
| Reactivity: | Human |
| Details: | Rabbit IgG Monoclonal Clone #NX2/2198R |
| Applications: | IHC |