Skip to main content

ICT Products

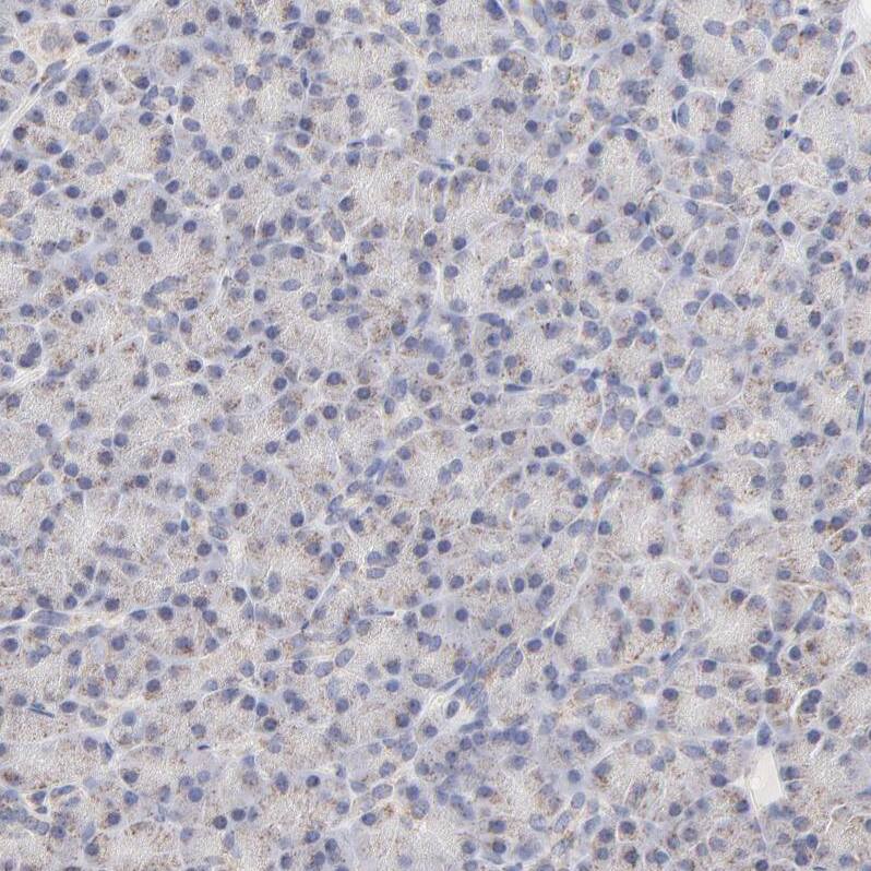
The adult colon epithelium contains 3 differentiated cell types that arise from a multipotent stem cell. Deviation from the normal maturation pathway by neoplastic transformation is thought to initiate in stem cells or their early descendants. One potential marker is ICT1 whose mRNA and protein were more highly expressed in undifferentiated than in differentiated cells.
Show More

76 results for "ICT" in Products

76 results for "ICT" in Products

ICT Products

The adult colon epithelium contains 3 differentiated cell types that arise from a multipotent stem cell. Deviation from the normal maturation pathway by neoplastic transformation is thought to initiate in stem cells or their early descendants. One potential marker is ICT1 whose mRNA and protein were more highly expressed in undifferentiated than in differentiated cells.
Show More
Applications: IHC, WB
Reactivity: Human, Rat
Applications: WB, ICC/IF
Reactivity: Human
Applications: WB, ELISA, Flow
Reactivity: Human
Applications: IHC, WB
Reactivity: Human
Applications: IHC, WB
Reactivity: Human
Applications: WB, ELISA, Flow
Reactivity: Human
Applications: WB, ELISA
Reactivity: Human
Applications: WB, ELISA
Reactivity: Human
Applications: WB
Reactivity: Human
Applications: WB
Applications: IP
Reactivity: Human
Applications: PAGE
Applications: AC
Applications: WB, ELISA, Flow
Reactivity: Human
Applications: WB, ELISA, Flow
Reactivity: Human
Applications: IHC, WB
Reactivity: Human
Applications: IHC, WB
Reactivity: Human
Applications: IHC, WB
Reactivity: Human
Applications: IHC, WB
Reactivity: Human
Applications: IHC, WB
Reactivity: Human
Applications: WB, ELISA, Flow
Reactivity: Human
Applications: WB, ELISA, Flow
Reactivity: Human
Applications: IHC, WB
Reactivity: Human
Applications: WB, ELISA, Flow
Reactivity: Human
Applications: WB, ELISA, Flow
Reactivity: Human
Results Per Page
5 10 25 50
/ 4