ICT Antibody - BSA Free
Novus Biologicals, part of Bio-Techne | Catalog # NBP1-87963
Key Product Details
Species Reactivity
Human, Rat
Applications
Immunohistochemistry, Immunohistochemistry-Paraffin, Western Blot
Label
Unconjugated
Antibody Source
Polyclonal Rabbit IgG
Format
BSA Free
Concentration
Concentrations vary lot to lot. See vial label for concentration. If unlisted please contact technical services.
Product Specifications
Immunogen
This antibody was developed against Recombinant Protein corresponding to amino acids: TEFKSIYSLDKLYPESQGSDTAWRVPNGAKQADSDIPLDRLTISYCRSSGPGGQNVNKVNSKAEVRFHLATAEWIAEPVRQKIAITHKNKINRLGELILTSESSRYQFRNLADCLQKIRDMI
Reactivity Notes
Reactivity reported in scientific literature (PMID: 23435261)
Clonality
Polyclonal
Host
Rabbit
Isotype
IgG
Description
Novus Biologicals Rabbit ICT Antibody - BSA Free (NBP1-87963) is a polyclonal antibody validated for use in IHC and WB. Anti-ICT Antibody: Cited in 1 publication. All Novus Biologicals antibodies are covered by our 100% guarantee.
Scientific Data Images for ICT Antibody - BSA Free
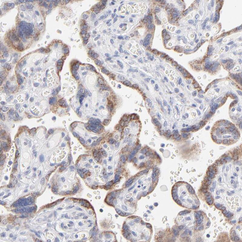
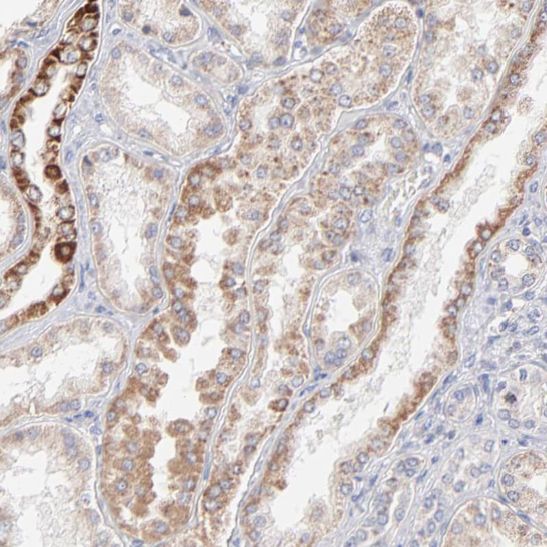
Immunohistochemistry-Paraffin: ICT Antibody - BSA Free [NBP1-87963]
Staining of human pancreas shows very weak granular cytoplasmic positivity in exocrine glandular cells.Immunohistochemistry-Paraffin: ICT Antibody - BSA Free [NBP1-87963]
Staining of human placenta shows moderate granular cytoplasmic positivity in trophoblastic cells.Immunohistochemistry-Paraffin: ICT Antibody - BSA Free [NBP1-87963]
Staining of human kidney shows moderate granular cytoplasmic positivity in cells in tubules.Applications for ICT Antibody - BSA Free
Application
Recommended Usage
Immunohistochemistry
1:50 - 1:200
Immunohistochemistry-Paraffin
1:50 - 1:200
Western Blot
0.04-0.4 ug/ml
Application Notes
For IHC-Paraffin, HIER pH 6 retrieval is recommended.
Formulation, Preparation, and Storage
Purification
Immunogen affinity purified
Formulation
PBS (pH 7.2) and 40% Glycerol
Format
BSA Free
Preservative
0.02% Sodium Azide
Concentration
Concentrations vary lot to lot. See vial label for concentration. If unlisted please contact technical services.
Shipping
The product is shipped with polar packs. Upon receipt, store it immediately at the temperature recommended below.
Stability & Storage
Store at 4C short term. Aliquot and store at -20C long term. Avoid freeze-thaw cycles.
Background: ICT
Alternate Names
Digestion substraction 1, DS-1DS1, EC 3.1.1.29, immature colon carcinoma transcript 1, Immature colon carcinoma transcript 1 protein, peptidyl-tRNA hydrolase ICT1, mitochondrial
Gene Symbol
MRPL58
Additional ICT Products
Product Documents for ICT Antibody - BSA Free
Product Specific Notices for ICT Antibody - BSA Free
This product is for research use only and is not approved for use in humans or in clinical diagnosis. Primary Antibodies are guaranteed for 1 year from date of receipt.
Loading...
Loading...
Loading...
Loading...