Alkaline Phosphatase/ALPP Products
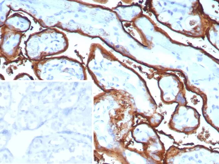
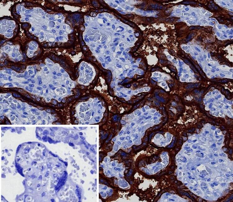
ALPP (Alkaline phosphatase placental type; also SEAP, PALP1 and ALP) is a 66-68 kDa glycoprotein member of the alkaline phosphatase family of molecules. It is principally expressed by 2nd and 3rd trimester synctiotrophoblasts and tumor cells, and represents one of four alkaline phosphatase isozymes. Experimentally, it cleaves phosphate monoesters into alcohol and phosphate. Human ALPP is synthesized as a 535 amino acid (aa) preproprecursor. It contains a 22 aa signal sequence, a 484 mature region (aa 23-506), and a 29 aa C-terminal propeptide that is cleaved to generate a GPI linkage at Asp506. The ALPP gene is highly allelic and may generate three potential splice variants that involve the signal sequence. The ALPP enzyme utilizes one Mg and two Zn ions, and functions as either a homodimer, or a heterodimer with the related Intestinal (ALPI) and Germ cell (GCAP) family members on the cell surface. ALPP is reported to oligomerize under certain conditions. Over aa 23-506, human ALPP shares 96% and 77% aa identity with chimpazeee ALPP and mouse embryonic-type alkaline phosphatase, respectively. It also shares 88% and 98% aa identity with IAP and GCAP, respectively. Over aa 23-506, human ALPP shares 86% aa identity with human ALPI.
639 results for "Alkaline Phosphatase/ALPP" in Products
639 results for "Alkaline Phosphatase/ALPP" in Products
Alkaline Phosphatase/ALPP Products
ALPP (Alkaline phosphatase placental type; also SEAP, PALP1 and ALP) is a 66-68 kDa glycoprotein member of the alkaline phosphatase family of molecules. It is principally expressed by 2nd and 3rd trimester synctiotrophoblasts and tumor cells, and represents one of four alkaline phosphatase isozymes. Experimentally, it cleaves phosphate monoesters into alcohol and phosphate. Human ALPP is synthesized as a 535 amino acid (aa) preproprecursor. It contains a 22 aa signal sequence, a 484 mature region (aa 23-506), and a 29 aa C-terminal propeptide that is cleaved to generate a GPI linkage at Asp506. The ALPP gene is highly allelic and may generate three potential splice variants that involve the signal sequence. The ALPP enzyme utilizes one Mg and two Zn ions, and functions as either a homodimer, or a heterodimer with the related Intestinal (ALPI) and Germ cell (GCAP) family members on the cell surface. ALPP is reported to oligomerize under certain conditions. Over aa 23-506, human ALPP shares 96% and 77% aa identity with chimpazeee ALPP and mouse embryonic-type alkaline phosphatase, respectively. It also shares 88% and 98% aa identity with IAP and GCAP, respectively. Over aa 23-506, human ALPP shares 86% aa identity with human ALPI.
| Reactivity: | Human, Mouse, Rat |
| Details: | Mouse IgG2a Kappa Monoclonal Clone #8B6 |
| Applications: | IHC, WB, ELISA, ICC/IF, Flow, +1 More |
Recombinant Monoclonal Antibody
| Reactivity: | Human |
| Details: | Rabbit IgG Monoclonal Clone #ALPP/2899R |
| Applications: | IHC, WB |
Recombinant Monoclonal Antibody
| Reactivity: | Human |
| Details: | Rabbit IgG Monoclonal Clone #ALPP/2899R |
| Applications: | IHC, WB |
Recombinant Monoclonal Antibody
| Reactivity: | Human |
| Details: | Rabbit IgG Kappa Monoclonal Clone #ALPP/8112R |
| Applications: | IHC |
Recombinant Monoclonal Antibody
| Reactivity: | Human |
| Details: | Rabbit IgG Kappa Monoclonal Clone #ALPP/8112R |
| Applications: | IHC |
Recombinant Monoclonal Antibody
| Reactivity: | Human |
| Details: | Rabbit IgG Kappa Monoclonal Clone #ALPP/9109R |
| Applications: | IHC |
Recombinant Monoclonal Antibody
| Reactivity: | Human |
| Details: | Rabbit IgG Kappa Monoclonal Clone #ALPP/9109R |
| Applications: | IHC |
| Reactivity: | Human |
| Details: | Mouse IgG2a Kappa Monoclonal Clone #ALPP/238 |
| Applications: | ELISA |
| Reactivity: | Human |
| Details: | Mouse IgG1 kappa Monoclonal Clone #ALPP/516 |
| Applications: | ELISA |
| Reactivity: | Human |
| Details: | Mouse IgG1 kappa Monoclonal Clone #ALPP/516 |
| Applications: | ELISA |
Recombinant Monoclonal Antibody
| Reactivity: | Human |
| Details: | Rabbit IgG Monoclonal Clone #ALPP/2899R |
| Applications: | IHC, WB |
| Reactivity: | Human |
| Details: | Mouse IgG2a Kappa Monoclonal Clone #ALPP/238 |
| Applications: | ELISA |
Recombinant Monoclonal Antibody
| Reactivity: | Human |
| Details: | Rabbit IgG Kappa Monoclonal Clone #ALPP/9109R |
| Applications: | IHC |
Recombinant Monoclonal Antibody
| Reactivity: | Human |
| Details: | Rabbit IgG Kappa Monoclonal Clone #ALPP/8112R |
| Applications: | IHC |
Recombinant Monoclonal Antibody
| Reactivity: | Human |
| Details: | Rabbit IgG Kappa Monoclonal Clone #ALPP/8112R |
| Applications: | IHC |
Recombinant Monoclonal Antibody
| Reactivity: | Human |
| Details: | Rabbit IgG Monoclonal Clone #ALPP/2899R |
| Applications: | IHC, WB |
Recombinant Monoclonal Antibody
| Reactivity: | Human |
| Details: | Rabbit IgG Monoclonal Clone #ALPP/2899R |
| Applications: | IHC, WB |
Recombinant Monoclonal Antibody
| Reactivity: | Human |
| Details: | Rabbit IgG Kappa Monoclonal Clone #ALPP/8112R |
| Applications: | IHC |
Recombinant Monoclonal Antibody
| Reactivity: | Human |
| Details: | Rabbit IgG Kappa Monoclonal Clone #ALPP/9109R |
| Applications: | IHC |
Recombinant Monoclonal Antibody
| Reactivity: | Human |
| Details: | Rabbit IgG Kappa Monoclonal Clone #ALPP/9109R |
| Applications: | IHC |
| Reactivity: | Human |
| Details: | Mouse IgG2a Kappa Monoclonal Clone #ALPP/238 |
| Applications: | ELISA |
Recombinant Monoclonal Antibody
| Reactivity: | Human |
| Details: | Rabbit IgG Monoclonal Clone #ALPP/2899R |
| Applications: | IHC, WB |
Recombinant Monoclonal Antibody
| Reactivity: | Human |
| Details: | Rabbit IgG Kappa Monoclonal Clone #ALPP/8112R |
| Applications: | IHC |
| Reactivity: | Human |
| Details: | Mouse IgG1 kappa Monoclonal Clone #ALPP/516 |
| Applications: | ELISA |
Recombinant Monoclonal Antibody
| Reactivity: | Human |
| Details: | Rabbit IgG Monoclonal Clone #ALPP/2899R |
| Applications: | IHC, WB |