Alkaline Phosphatase/ALPP Antibody (ALPP/2899R) - Azide and BSA Free
Novus Biologicals, part of Bio-Techne | Catalog # NBP3-08817
Recombinant Monoclonal Antibody
Conjugate
Catalog #
Key Product Details
Species Reactivity
Human
Applications
Immunohistochemistry-Paraffin, Western Blot
Label
Unconjugated
Antibody Source
Recombinant Monoclonal Rabbit IgG Clone # ALPP/2899R
Format
Azide and BSA Free
Concentration
1 mg/ml
Product Specifications
Immunogen
Recombinant full-length human Alkaline Phosphatase/ALPP protein (Uniprot: P05187)
Localization
Cytoplasmic and cell surface
Specificity
Reacts with a 70kDa membrane-bound isozyme (Regan and Nagao type) of Placental Alkaline Phosphatase (PLAP) occurring in the placenta during the 3rd trimester of gestation. It is highly specific for PLAP and shows no cross-reaction with other isozymes of alkaline phosphatase. Anti-PLAP reacts with germ cell tumors and can discriminate between these and other neoplasms. Somatic neoplasms e.g. breast, gastrointestinal, prostatic, and urinary cancers may also immunoreact with antibodies to PLAP. Anti-PLAP positivity in conjunction with anti-keratin negativity favors seminoma over carcinoma. Germ cell tumors are usually anti-keratin positive, but they regularly fail to stain with anti-EMA, whereas most carcinomas stain with anti-EMA. Anti-PLAP has been useful in the diagnosis of gestational trophoblastic disease.
Marker
Germ Cell Tumor Marker
Clonality
Monoclonal
Host
Rabbit
Isotype
IgG
Theoretical MW
70 kDa.
Disclaimer note: The observed molecular weight of the protein may vary from the listed predicted molecular weight due to post translational modifications, post translation cleavages, relative charges, and other experimental factors.
Disclaimer note: The observed molecular weight of the protein may vary from the listed predicted molecular weight due to post translational modifications, post translation cleavages, relative charges, and other experimental factors.
Description
1.0 mg/ml of antibody purified from Bioreactor Concentrate by Protein A/G. Prepared in 10mM PBS WITHOUT BSA & azide. Also available at 200 ug/ml WITH BSA & azide (NBP3-07800).
Antibody with azide - store at 2 to 8C. Antibody without azide - store at -20 to -80C.
Antibody with azide - store at 2 to 8C. Antibody without azide - store at -20 to -80C.
Scientific Data Images for Alkaline Phosphatase/ALPP Antibody (ALPP/2899R) - Azide and BSA Free
Western Blot: Alkaline Phosphatase/ALPP Antibody (ALPP/2899R)Azide and BSA Free [NBP3-08817]
Western Blot: Alkaline Phosphatase/ALPP Antibody (ALPP/2899R) - Azide and BSA Free [NBP3-08817] - Western Blot Analysis of JEG-3 cell lysate using Alkaline Phosphatase/ALPP Rabbit Recombinant Monoclonal Antibody (ALPP/2899R).Immunohistochemistry-Paraffin: Alkaline Phosphatase/ALPP Antibody (ALPP/2899R) - Azide and BSA Free [NBP3-08817]
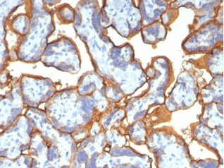
Immunohistochemistry-Paraffin: Alkaline Phosphatase/ALPP Antibody (ALPP/2899R) - Azide and BSA Free [NBP3-08817] - Formalin-fixed, paraffin-embedded human placenta stained with Alkaline Phosphatase/ALPP Rabbit Recombinant Monoclonal Antibody (ALPP/2899R).Alkaline Phosphatase/ALPP Antibody (ALPP/2899R)
Formalin-fixed, paraffin-embedded human placenta stained with Alkaline Phosphatase/ALPP antibody (ALPP/2899R). Inset: PBS instead of primary antibody; secondary only negative control.Applications for Alkaline Phosphatase/ALPP Antibody (ALPP/2899R) - Azide and BSA Free
Application
Recommended Usage
Immunohistochemistry-Paraffin
0.25-0.5 ug/ml
Western Blot
1-2 ug/ml
Application Notes
Immunohistochemistry Formalin-fixed: 0.25-0.5ug/ml for 30 minutes at RT. No special pretreatment is required for the immunohistochemical staining of formalin-fixed tissues
Formulation, Preparation, and Storage
Purification
Protein A or G purified
Formulation
10 mM PBS
Format
Azide and BSA Free
Preservative
No Preservative
Concentration
1 mg/ml
Shipping
The product is shipped with polar packs. Upon receipt, store it immediately at the temperature recommended below.
Stability & Storage
Store at -20 to -80C. Avoid freeze-thaw cycles.
Background: Alkaline Phosphatase/ALPP
Long Name
Alkaline Phosphatase, Placental Type
Alternate Names
Alkaline Phosphatase, PLAP, SEAP
Gene Symbol
ALPP
Additional Alkaline Phosphatase/ALPP Products
Product Documents for Alkaline Phosphatase/ALPP Antibody (ALPP/2899R) - Azide and BSA Free
Product Specific Notices for Alkaline Phosphatase/ALPP Antibody (ALPP/2899R) - Azide and BSA Free
This product is for research use only and is not approved for use in humans or in clinical diagnosis. Primary Antibodies are guaranteed for 1 year from date of receipt.
Loading...
Loading...
Loading...
Loading...
Loading...