Skip to main content

Recombinant SARS-CoV-2 Spike RBD Alexa Fluor® 647 Protein

R&D Systems, part of Bio-Techne | Catalog # AFR10500

His-tag
R&D Systems, part of Bio-Techne
Catalog #
Availability
Size / Price
Qty
Loading...
AFR10500-020

Key Product Details

  • R&D Systems HEK293-derived Recombinant SARS-CoV-2 Spike RBD Alexa Fluor® 647 Protein (AFR10500)
  • Quality control testing to verify active proteins with lot specific assays by in-house scientists
  • All R&D Systems proteins are covered with a 100% guarantee

Source

HEK293

Accession #

Structure / Form

Labeled with Alexa Fluor® 647


Excitation Wavelength: 650 nm  
Emission Wavelength: 668 nm

Conjugate

Alexa Fluor 647 (Excitation= 650 nm, Emission= 668 nm)

Applications

Bioactivity

Product Specifications

Source

Human embryonic kidney cell, HEK293-derived sars-cov-2 Spike RBD protein
Arg319-Phe541, with a C-terminal 6-His tag

Purity

>95%, by SDS-PAGE visualized with Silver Staining and quantitative densitometry by Coomassie® Blue Staining.

Endotoxin Level

<1.0 EU per 1 μg of the protein by the LAL method.

N-terminal Sequence Analysis

Arg319

Predicted Molecular Mass

26 kDa

SDS-PAGE

28-38 kDa, under reducing conditions.

Activity

Measured by flow cytometry for its ability to bind HEK293 human embryonic kidney cells transfected with human ACE-2 at 0.50-3.00 µg/mL (100 µL/well).

Please Note: Optimal dilutions should be determined by each laboratory for each application.

Scientific Data Images for Recombinant SARS-CoV-2 Spike RBD Alexa Fluor® 647 Protein

Detection of ACE-2 on HEK293 Transfectants with Recombinant SARS-CoV-2 Spike RBD His-tag Alexa Fluor® 647 by Flow Cytometry.

HEK293 human embryonic kidney cells transfected with human ACE-2 were stained with (A) 1 µg/mL (100 µL/well) Recombinant SARS-CoV-2 Spike RBD His-tag Alexa Fluor® 647 Protein (Catalog # AFR10500) or (B) unstained.

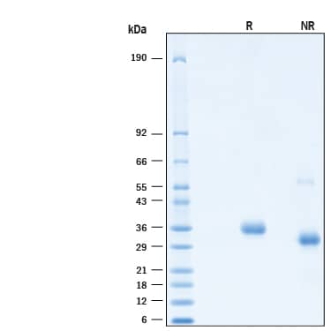
Recombinant SARS-CoV-2 Spike RBD His-tag Alexa Fluor® 647 SDS-PAGE

2 μg/lane of Recombinant SARS-CoV-2 Spike RBD His-tag Alexa Fluor® 647 Protein(Catalog # AFR10500) was resolved with SDS-PAGE under reducing (R) and non-reducing (NR) conditions and visualized by Coomassie® Blue staining, showing bands at 28-38 kDa.

Formulation, Preparation and Storage

AFR10500
Formulation Supplied as a 0.2 μm filtered solution in PBS with BSA as a carrier protein.
Shipping The product is shipped with dry ice or equivalent. Upon receipt, store it immediately at the temperature recommended below.
Stability & Storage Protect from light. Use a manual defrost freezer and avoid repeated freeze-thaw cycles.
  • 6 months from date of receipt, -20 to -70 °C as supplied.
  • 1 month, 2 to 8 °C under sterile conditions after opening.
  • 3 months, -20 to -70 °C under sterile conditions after opening.

Background: Spike RBD

SARS-CoV-2, which causes the global pandemic coronavirus disease 2019 (Covid-19), belongs to a family of viruses known as coronaviruses that are commonly comprised of four structural proteins: Spike protein(S), Envelope protein (E), Membrane protein (M), and Nucleocapsid protein (N) (1). SARS-CoV-2 Spike Protein (S Protein) is a glycoprotein that mediates membrane fusion and viral entry. The S protein is homotrimeric, with each ~180-kDa monomer consisting of two subunits, S1 and S2 (2). In SARS-CoV-2, as with most coronaviruses, proteolytic cleavage of the S protein into two distinct peptides, S1 and S2 subunits, is required for activation. The S1 subunit is focused on attachment of the protein to the host receptor while the S2 subunit is involved with cell fusion (3-5). Based on structural biology studies, the receptor binding domain (RBD), located in the C-terminal region of S1, can be oriented either in the up/standing or down/lying state (6). The standing state is associated with higher pathogenicity and both SARS-CoV-1 and MERS can access this state due to the flexibility in their respective RBDs. A similar two-state structure and flexibility is found in the SARS-CoV-2 RBD (7). Based on amino acid (aa) sequence homology, the SARS-CoV-2 S1 subunit RBD has 73% identity with the RBD of the SARS-CoV-1 S1 RBD, but only 22% homology with the MERS S1 RBD. The low aa sequence homology is consistent with the finding that SARS and MERS bind different cellular receptors (8). The S Protein of the SARS-CoV-2 virus, like the SARS-CoV-1 counterpart, binds Angiotensin-Converting Enzyme 2 (ACE2), but with much higher affinity and faster binding kinetics (9). Before binding to the ACE2 receptor, structural analysis of the S1 trimer shows that only one of the three RBD domains in the trimeric structure is in the "up" conformation. This is an unstable and transient state that passes between trimeric subunits but is nevertheless an exposed state to be targeted for neutralizing antibody therapy (10). Polyclonal antibodies to the RBD of the SARS-CoV-2 protein have been shown to inhibit interaction with the ACE2 receptor, confirming RBD as an attractive target for vaccinations or antiviral therapy (11). There is also promising work showing that the RBD may be used to detect presence of neutralizing antibodies present in a patient's bloodstream, consistent with developed immunity after exposure to the SARS-CoV-2 virus (12). Lastly, it has been demonstrated the S Protein can invade host cells through the CD147/EMMPRIN receptor and mediate membrane fusion (13).

References

  1. Wu, F. et al. (2020) Nature 579:265.
  2. Tortorici, M.A. and D. Veesler (2019). Adv. Virus Res. 105:93.
  3. Bosch, B.J. et al. (2003) J. Virol. 77:8801.
  4. Belouzard, S. et al. (2009) Proc. Natl. Acad. Sci. 106:5871.
  5. Millet, J.K. and G. R. Whittaker (2015) Virus Res. 202:120.
  6. Yuan, Y. et al. (2017) Nat. Commun. 8:15092.
  7. Walls, A.C. et al. (2010) Cell 180:281.
  8. Jiang, S. et al. (2020) Trends. Immunol. 41:355.
  9. Ortega, J.T. et al. (2020) EXCLI J. 19:410.
  10. Wrapp, D. et al. (2020) Science 367:1260.
  11. Tai, W. et al. (2020) Cell. Mol. Immunol. 17:613.
  12. Okba, N. M. A. et al. (2020). Emerg. Infect. Dis. 26:1478
  13. Wang, K. et al. (2020) Signal Transduct. Target Ther. 5:283.

Long Name

Spike Receptor Binding Domain

Entrez Gene IDs

3200426 (HCoV-HKU1); 14254594 (MERS-CoV); 1489668 (SARS-CoV); 43740568 (SARS-CoV-2)

Gene Symbol

S

UniProt

Additional Spike RBD Products

Product Documents for Recombinant SARS-CoV-2 Spike RBD Alexa Fluor® 647 Protein

Certificate of Analysis

To download a Certificate of Analysis, please enter a lot number in the search box below.

Note: Certificate of Analysis not available for kit components.

Product Specific Notices for Recombinant SARS-CoV-2 Spike RBD Alexa Fluor® 647 Protein

This product is provided under an agreement between Life Technologies Corporation and R&D Systems, Inc, and the manufacture, use, sale or import of this product is subject to one or more US patents and corresponding non-US equivalents, owned by Life Technologies Corporation and its affiliates. The purchase of this product conveys to the buyer the non-transferable right to use the purchased amount of the product and components of the product only in research conducted by the buyer (whether the buyer is an academic or for-profit entity). The sale of this product is expressly conditioned on the buyer not using the product or its components (1) in manufacturing; (2) to provide a service, information, or data to an unaffiliated third party for payment; (3) for therapeutic, diagnostic or prophylactic purposes; (4) to resell, sell, or otherwise transfer this product or its components to any third party, or for any other commercial purpose. Life Technologies Corporation will not assert a claim against the buyer of the infringement of the above patents based on the manufacture, use or sale of a commercial product developed in research by the buyer in which this product or its components was employed, provided that neither this product nor any of its components was used in the manufacture of such product. For information on purchasing a license to this product for purposes other than research, contact Life Technologies Corporation, Cell Analysis Business Unit, Business Development, 29851 Willow Creek Road, Eugene, OR 97402, Tel: (541) 465-8300. Fax: (541) 335-0354.
This product is provided under an agreement between Life Technologies Corporation and R&D Systems, Inc, and the manufacture, use, sale or import of this product is subject to one or more US patents and corresponding non-US equivalents, owned by Life Technologies Corporation and its affiliates. The purchase of this product conveys to the buyer the non-transferable right to use the purchased amount of the product and components of the product only in research conducted by the buyer (whether the buyer is an academic or for-profit entity). The sale of this product is expressly conditioned on the buyer not using the product or its components (1) in manufacturing; (2) to provide a service, information, or data to an unaffiliated third party for payment; (3) for therapeutic, diagnostic or prophylactic purposes; (4) to resell, sell, or otherwise transfer this product or its components to any third party, or for any other commercial purpose. Life Technologies Corporation will not assert a claim against the buyer of the infringement of the above patents based on the manufacture, use or sale of a commercial product developed in research by the buyer in which this product or its components was employed, provided that neither this product nor any of its components was used in the manufacture of such product. For information on purchasing a license to this product for purposes other than research, contact Life Technologies Corporation, Cell Analysis Business Unit, Business Development, 29851 Willow Creek Road, Eugene, OR 97402, Tel: (541) 465-8300. Fax: (541) 335-0354.

For research use only

Loading...
Loading...