Skip to main content

Recombinant SARS-CoV-2 B.1.617.2 Spike GCN4-IZ Protein, CF

R&D Systems, part of Bio-Techne | Catalog # 10878-CV

Delta Variant (India) His-tag
R&D Systems, part of Bio-Techne
Catalog #
Availability
Size / Price
Qty
Loading...
10878-CV-100

Key Product Details

  • R&D Systems HEK293-derived Recombinant SARS-CoV-2 B.1.617.2 Spike GCN4-IZ Protein (10878-CV)
  • Quality control testing to verify active proteins with lot specific assays by in-house scientists
  • All R&D Systems proteins are covered with a 100% guarantee

Source

HEK293

Accession #

Conjugate

Unconjugated

Applications

Bioactivity

Product Specifications

Source

Human embryonic kidney cell, HEK293-derived sars-cov-2 Spike protein
SARS-CoV-2 Spike
(Val16-Lys1211)(Thr19Arg, Gly142Asp, Glu156Gly, Phe157del, Arg158del, Leu452Arg, Thr478Lys, Asp614Gly, Pro681Arg, Asp950Asn)(Arg682Ser, Arg685Ser, Lys986Pro, Val987Pro)
Accession # YP_009724390.1
GCN4-IZ 6-His tag
N-terminus C-terminus

Purity

>95%, by SDS-PAGE visualized with Silver Staining and quantitative densitometry by Coomassie® Blue Staining.

Endotoxin Level

<0.10 EU per 1 μg of the protein by the LAL method.

N-terminal Sequence Analysis

Val16

Predicted Molecular Mass

138 kDa

SDS-PAGE

144-170 kDa, under reducing conditions.

Activity

Measured by its binding ability in a functional ELISA with Recombinant Human ACE-2 His-tag (Catalog # 933-ZN).

Scientific Data Images for Recombinant SARS-CoV-2 B.1.617.2 Spike GCN4-IZ Protein, CF

Recombinant SARS-CoV-2 B.1.617.2 Spike (GCN4-IZ) His-tag Protein, CF

Recombinant SARS-CoV-2 Spike B.1.617.2 (GCN4-IZ) His-tag (Catalog # 10878-CV) binds Recombinant Human ACE-2 His-tag (933-ZN) in a functional ELISA.

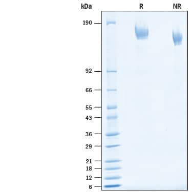
Recombinant SARS-CoV-2 B.1.617.2 Spike GCN4-IZ His-tag Protein SDS-PAGE.

2 μg/lane of Recombinant SARS-CoV-2 B.1.617.2 Spike His-tag Protein (Catalog # 10878-CV) was resolved with SDS-PAGE under reducing (R) and non-reducing (NR) conditions and visualized by Coomassie® Blue staining, showing bands at 144-170 kDa.
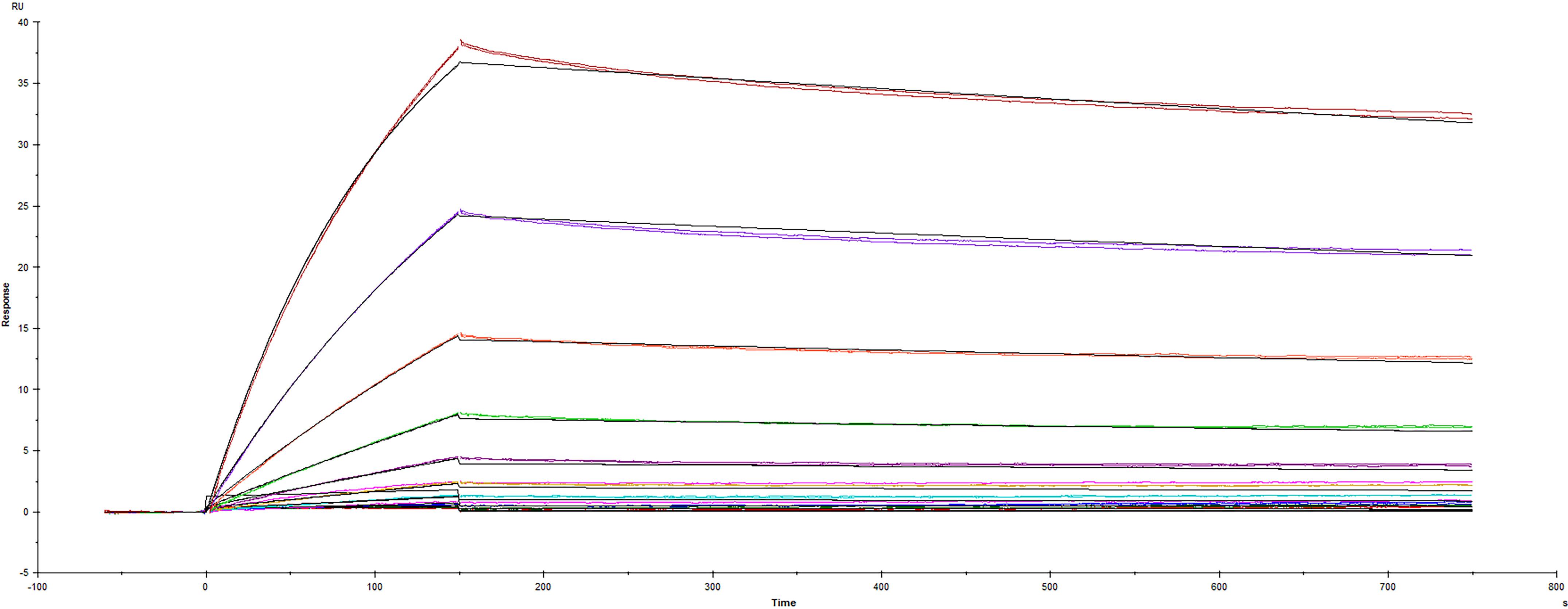
Surface plasmon resonance (SPR) sensorgram of Human ACE-2 binding to SARS-CoV-2 Delta variant Spike protein B.1.617.2

Binding of ACE-2 to SARS-CoV-2 Delta variant Spike protein B.1.617.2 by surface plasmon resonance (SPR).

Recombinant SARS-CoV-2 B.1.617.2 Delta variant Spike protein His-tag (Catalog #10878-CV) was immobilized on a Biacore Sensor Chip CM5, and binding to recombinant human ACE-2 (933-ZN) was measured at a concentration range between 0.046 nM and 47.2 nM. The double-referenced sensorgram was fit to a 1:1 binding model to determine the binding kinetics and affinity, with an affinity constant of KD=1.29 nM.

Formulation, Preparation and Storage

10878-CV
Formulation Lyophilized from a 0.2 μm filtered solution in PBS with Trehalose.
Reconstitution Reconstitute at 500 μg/mL in PBS.
Shipping The product is shipped at ambient temperature. Upon receipt, store it immediately at the temperature recommended below.
Stability & Storage Use a manual defrost freezer and avoid repeated freeze-thaw cycles.
  • 12 months from date of receipt, -20 to -70 °C as supplied.
  • 1 month, 2 to 8 °C under sterile conditions after reconstitution.
  • 3 months, -20 to -70 °C under sterile conditions after reconstitution.

Background: Spike

SARS-CoV-2, which causes the global pandemic coronavirus disease 2019 (Covid-19), belongs to a family of viruses known as coronaviruses that also include MERS and SARS-CoV-1. Coronaviruses are commonly comprised of four structural proteins: Spike protein (S), Envelope protein (E), Membrane protein (M) and Nucleocapsid protein (N) (1). The SARS-CoV-2 S protein is a glycoprotein that mediates membrane fusion and viral entry. The S protein is homotrimeric, with each ~180-kDa monomer consisting of two subunits, S1 and S2 (2). In SARS-CoV-2, as with most coronaviruses, proteolytic cleavage of the S protein into S1 and S2 subunits is required for activation. The S1 subunit is focused on attachment of the protein to the host receptor while the S2 subunit is involved with cell fusion (3-5). A metallopeptidase, angiotensin-converting enzyme 2 (ACE-2), has been identified as a functional receptor for SARS-CoV-2 through interaction with a receptor binding domain (RBD) located at the C-terminus of S1 subunit (6, 7). The S protein of SARS-CoV-2 shares 75% and 29% amino acid sequence identity with S protein of SARS-CoV-1 and MERS, respectively. The SARS-CoV-2 delta variant (B.1.617.2) carrying the amino acid substitution L452R and T478K in the RBD was identified as a prevalent strain in India and has been detected in more than 40 countries (8, 9). It has higher transmissible rate and more resistant to vaccine (10).

References

  1. Wu, F. et al. (2020) Nature 579:265.
  2. Tortorici, M.A. and D. Veesler (2019) Adv. Virus Res. 105:93.
  3. Bosch, B.J. et al. (2003). J. Virol. 77:8801.
  4. Belouzard, S. et al. (2009) Proc. Natl. Acad. Sci. 106:5871.
  5. Millet, J.K. and G.R. Whittaker (2015) Virus Res. 202:120.
  6. Li, W. et al. (2003) Nature 426:450.
  7. Wong, S.K. et al. (2004) J. Biol. Chem. 279:3197.
  8. Yadav, P.D. et al. (2021) bioRxiv https://doi.org/10.1101/2021.04.23.441101.
  9. Cherian, S. et al. (2021) bioRxiv https://doi.org/10.1101/2021.04.22.440932.
  10. Bernal, J. et al. (2021) medRxiv https://doi.org/10.1101/2021.05.22.21257658.

Long Name

Spike Protein

Alternate Names

S Protein

Entrez Gene IDs

918758 (HCoV-229E); 2943499 (HCoV-NL63); 39105218 (HCoV-OC43); 37616432 (MERS-CoV); 1489668 (SARS-CoV); 43740568 (SARS-CoV-2)

Gene Symbol

S

UniProt

Additional Spike Products

Product Documents for Recombinant SARS-CoV-2 B.1.617.2 Spike GCN4-IZ Protein, CF

Certificate of Analysis

To download a Certificate of Analysis, please enter a lot number in the search box below.

Note: Certificate of Analysis not available for kit components.

Product Specific Notices for Recombinant SARS-CoV-2 B.1.617.2 Spike GCN4-IZ Protein, CF

For research use only

Loading...
Loading...
Loading...