Skip to main content

Recombinant Rat Reg3A Protein, CF

R&D Systems, part of Bio-Techne | Catalog # 8347-RG

R&D Systems, part of Bio-Techne
Catalog #
Availability
Size / Price
Qty
Loading...
8347-RG-050

Key Product Details

  • R&D Systems E. coli-derived Recombinant Rat Reg3A Protein (8347-RG)
  • Quality control testing to verify active proteins with lot specific assays by in-house scientists
  • All R&D Systems proteins are covered with a 100% guarantee

Source

E. coli

Accession #

Conjugate

Unconjugated

Applications

Bioactivity

Product Specifications

Source

E. coli-derived rat Reg3A protein
Glu26-Gln174, with a N-terminal Met

Purity

>95%, by SDS-PAGE with silver staining.

Endotoxin Level

<0.10 EU per 1 μg of the protein by the LAL method.

N-terminal Sequence Analysis

Met

Predicted Molecular Mass

17 kDa

SDS-PAGE

16 kDa, reducing conditions

Activity

Measured in a cell proliferation assay using RT4-D6P2T rat schwannoma cells.
The ED50 for this effect is 0.1-0.6 μg/mL.

Scientific Data Images for Recombinant Rat Reg3A Protein, CF

Reg3A Induced Cell Proliferation.

Reg3A Induced Cell Proliferation.

Recombinant Rat Reg3A (Catalog # 8347-RG) stimulates cell proliferation by RT4‑D6P2T rat schwannoma cells. The ED50 for this effect is 0.1-0.6 μg/mL.
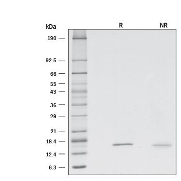
Reg3A Induced Cell Proliferation.

Reg3A Induced Cell Proliferation.

1 μg/lane of Recombinant Rat Reg3A (Catalog # 8347-RG) was resolved with SDS-PAGE under reducing (R) and non-reducing (NR) conditions and visualized by silver staining, showing bands at 16.5 and 16.1 kDa, respectively.

Formulation, Preparation and Storage

8347-RG
Formulation Lyophilized from a 0.2 μm filtered solution in PBS.
Reconstitution
Reconstitute at 500 μg/mL in sterile PBS.

Reconstitution Buffer Available:
Size / Price
Qty
Loading...
Shipping The product is shipped at ambient temperature. Upon receipt, store it immediately at the temperature recommended below.
Stability & Storage Use a manual defrost freezer and avoid repeated freeze-thaw cycles.
  • 12 months from date of receipt, -20 to -70 °C as supplied.
  • 1 month, 2 to 8 °C under sterile conditions after reconstitution.
  • 3 months, -20 to -70 °C under sterile conditions after reconstitution.

Background: Reg3A

Reg3A (Regenerating islet-derived protein 3 alpha), also known as Reg III-alpha, PAP2 (pancreatitis-associated protein 2), and Lithostathine 3 in rats, or HIP/PAP (human islet peptide/PAP) in humans, is a secreted 16-17 kDa type III member of the Reg family, which is the group 7 subfamily of C-type lectins (1, 2). The four type III genes ( alpha-delta) in the rat Reg family are thought to have cell-protective and proliferative effects (2-4). Like other Reg proteins, the 149 amino acid (aa) mature rat mouse Reg3A (aa 26‑174) contains a small, trypsin-cleavable PAP domain (aa 26-36) and a C-type lectin domain (2, 5).  Mature rat Reg3A shares 82% and 58% aa sequence identity with mouse and human Reg3A, (also called HIP/PAP) respectively. Rodent Reg3A is mainly expressed in the intestinal tract and the exocrine pancreas by acinar cells and islet alpha cells;, and it is up-regulated by IL-6 enhances expression (1, 3, 6, 7). Pancreatic Reg3A expression is also increased in mouse models of type 1 diabetes (4). In the rat brain, nerve injury and inflammation increase Reg3A expression in dorsal root ganglion neurons, while low dopamine levels duringin stress induce its production by melanocytes (8, 9). Treatment of rat macrophages with Reg3A causes up-regulation of NFkB signaling and modulation of cytokine production (2, 10). In humans, Reg3A expression and proteolytic activation in the small intestine areis thought to have a protective effect against infection and TNF-alpha -induced stress (11).

References

  1. Narushima, Y et al. (1997) Gene 185:159.
  2. Viterbo, D. et al. (2008) J. Immunol. 181:1959.
  3. Cui, W. et al. (2009) Growth Factors 27:195.
  4. Lu, Y. et al. (2006) Am. J. Physiol. Endocrinol. Metab. 291:E50.
  5. Graf, R. et al. (2001) J. Biol. Chem. 276:21028.
  6. Wang, Y. et al. (2011) Growth Factors 29:72.
  7. Gurr, W. et al. (2007) Diabetes 56:34.
  8. He, S.Q. et al. (2010) Mol. Pain 6:23.
  9. Konishi, H. et al. (2011) Biochem. Biophys. Res. Commun. 407:7.
  10. Viterbo, D. et al. (2008) J. Immunol. 181:1948.
  11. Medveczky, P. et al. (2009) Biochem. J. 420:335.

Long Name

Regenerating Islet-derived IIIa

Alternate Names

Lithostathine 3, PAP2, REG3A

Entrez Gene IDs

5068 (Human); 19694 (Mouse); 171162 (Rat)

Gene Symbol

REG3A

UniProt

Additional Reg3A Products

Product Documents for Recombinant Rat Reg3A Protein, CF

Certificate of Analysis

To download a Certificate of Analysis, please enter a lot number in the search box below.

Note: Certificate of Analysis not available for kit components.

Product Specific Notices for Recombinant Rat Reg3A Protein, CF

For research use only

Loading...
Loading...
Loading...