Skip to main content

Recombinant Mouse TGF-beta RI/ALK-5 Fc Chimera Protein, CF

R&D Systems, part of Bio-Techne | Catalog # 587-RIB

R&D Systems, part of Bio-Techne
Catalog #
Availability
Size / Price
Qty
Loading...
587-RIB-050

Key Product Details

Source

Sf 21 (baculovirus)

Accession #

Structure / Form

Disulfide-linked homodimer

Conjugate

Unconjugated

Applications

Bioactivity

Product Specifications

Source

Spodoptera frugiperda, Sf 21 (baculovirus)-derived mouse TGF-beta RI/ALK-5 protein
Mouse TGF-beta RI
(Ala21-Glu121) & (Thr22-Glu121)
Accession # BAA05023.1
IEGRMD Human IgG1
(Pro100-Lys330)
N-terminus C-terminus

Purity

>90%, by SDS-PAGE visualized with Silver Staining and quantitative densitometry by Coomassie® Blue Staining.

Endotoxin Level

<0.10 EU per 1 μg of the protein by the LAL method.

N-terminal Sequence Analysis

Ala21 & Thr22

Predicted Molecular Mass

37.5 kDa (monomer)

SDS-PAGE

40-50 kDa, under reducing conditions.

Activity

Measured by its binding ability in a functional ELISA.
When Recombinant Mouse Endoglin/CD105 Fc Chimera Protein (Catalog # 1320-EN) is immobilized at 2.00 µg/mL (100 µL/well), Recombinant Mouse TGF‑ beta RI/ALK‑5 Fc Chimera (Catalog # 587-RIB) binds with an ED50 of 2.00-15.0 µg/mL.

Scientific Data Images for Recombinant Mouse TGF-beta RI/ALK-5 Fc Chimera Protein, CF

Recombinant Mouse TGF‑ beta RI/ALK‑5 Fc Chimera Protein Binding Activity.

Measured by its binding ability in a functional ELISA. When Recombinant Mouse Endoglin/CD105 Fc Chimera Protein (1320-EN) is immobilized at 2.00 µg/mL (100 µL/well), Recombinant Mouse TGF‑ beta RI/ALK‑5 Fc Chimera Protein (Catalog # 587-RIB) binds with an ED50 of 2.00-15.0 µg/mL.

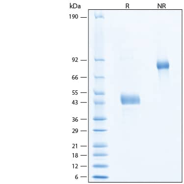
Recombinant Mouse TGF-beta RI/ALK-5 Fc Chimera Protein SDS-PAGE.

2 μg/lane of Recombinant Mouse TGF-beta RI/ALK-5 Fc Chimera Protein (Catalog # 587-RIB) was resolved with SDS-PAGE under reducing (R) and non-reducing (NR) conditions and visualized by Coomassie® Blue staining, showing bands at 40-50 kDa and 80-100 kDa, respectively.

Formulation, Preparation and Storage

587-RIB
Formulation Supplied as a 0.2 μm filtered solution in PBS with Trehalose.
Reconstitution

Reconstitution Buffer Available:
Size / Price
Qty
Loading...
Shipping The product is shipped with dry ice or equivalent. Upon receipt, store it immediately at the temperature recommended below.
Stability & Storage Use a manual defrost freezer and avoid repeated freeze-thaw cycles.
  • 6 months from date of receipt, -70 °C as supplied.
  • 1 month, 2 to 8 °C under sterile conditions after opening.
  • 3 months, -20 to -70 °C under sterile conditions after opening.

Background: TGF-beta RI/ALK-5

TGF-beta RI, also called ALK-5, is an approximately 55 kDa type I transmembrane serine/threonine receptor kinase (1, 2). It contains a cysteine-rich extracellular domain (ECD), a transmembrane helix, and a C-terminal cytoplasmic kinase domain (3). Within the cytoplasmic domain there is also a short, conserved regulatory sequence known as the GS region that is N-terminal to the kinase domain (1). Within the ECD, mouse TGF-beta RI shares 98% and 90% amino acid sequence identity with rat and human TGF-beta RI, respectively. In the presence of TGF-beta, TGF-beta RI forms a complex with, and is phosphorylated by, TGF-beta RII (1). Phosphorylated TGF-beta RI can then transiently bind and phosphorylate Smad2 and Smad3 (2, 4-6). These phosphorylated Smads form heteromeric complexes with Smad4, translocate to the nucleus, and regulate target gene transcription (2, 4-6). TGF-beta RI is likely important during development, since mice deficient for TGF-beta RI die at midgestation with severe defects in vascular development of the yolk sac and placenta, and an absence of circulating red blood cells (7). Furthermore, TGF-beta RI appears to be involved in proper lymphatic network development (8). Mutations in TGF-beta RI have been identified in pancreatic, colorectal, ovarian, and head and neck cancers (9).

References

  1. Wrana, J.L. et al. (1994) Nature 370:341.
  2. Massagué, J. (2012) Nat. Rev. Mol. Cell Biol. 13:616.
  3. Huse, M. et al. (1999) Cell 96:425.
  4. Marcías-Silva, M. et al. (1996) Cell 87:1215.
  5. Zhang, Y. et al. (1996) Nature 383:168.
  6. Huse, M. et al. (2001) Mol. Cell 8:671.
  7. Larsson, J. et al. (2001) EMBO J. 20:1663.
  8. James, J.M. et al. (2013) Development 140:3903.
  9. Sheen, Y.Y. et al. (2013) Biomol. Ther. (Seoul) 21:323.

Long Name

Transforming Growth Factor beta Receptor I

Alternate Names

ALK-5, SKR4, TGF-bRI, TGFbetaRI, TGFBR1

Entrez Gene IDs

7046 (Human); 21812 (Mouse); 29591 (Rat)

Gene Symbol

TGFBR1

UniProt

Additional TGF-beta RI/ALK-5 Products

Product Documents for Recombinant Mouse TGF-beta RI/ALK-5 Fc Chimera Protein, CF

Certificate of Analysis

To download a Certificate of Analysis, please enter a lot number in the search box below.

Note: Certificate of Analysis not available for kit components.

Product Specific Notices for Recombinant Mouse TGF-beta RI/ALK-5 Fc Chimera Protein, CF

For research use only

Loading...
Loading...