Skip to main content

Recombinant Human TNF-alpha Avi-tag Protein, CF

R&D Systems, part of Bio-Techne | Catalog # AVI10728

Biotinylated, Analyzed by SEC-MALS
R&D Systems, part of Bio-Techne
Catalog #
Availability
Size / Price
Qty
Loading...
AVI10728-025

Key Product Details

  • R&D Systems CHO-derived Recombinant Human TNF-alpha Avi-tag Protein (AVI10728)
  • Quality control testing to verify active proteins with lot specific assays by in-house scientists
  • All R&D Systems proteins are covered with a 100% guarantee

Source

CHO

Accession #

Structure / Form

Homotrimer, biotinylated via Avi-tag

Conjugate

Biotin

Applications

Bioactivity

Product Specifications

Source

Chinese Hamster Ovary cell line, CHO-derived human TNF-alpha protein
Avi-tag Human TNF alpha
(Val77-Leu233)
Accession # P01375.1
N-terminus C-terminus

Purity

>95%, by SDS-PAGE visualized with Silver Staining and quantitative densitometry by Coomassie® Blue Staining.

Endotoxin Level

<0.10 EU per 1 μg of the protein by the LAL method.

N-terminal Sequence Analysis

Gly of Avi-tag

Predicted Molecular Mass

19 kDa

SDS-PAGE

15-22 kDa, under reducing conditions

Activity

The biotin to protein ratio is greater than 0.7 as determined by the HABA assay.


Measured by its binding ability in a functional ELISA.
When Recombinant Human TNF RI/TNFRSF1A Fc Chimera (Catalog # 372-RI) is coated at 0.025 μg/mL (100 μL/well), Biotinylated Recombinant Human TNF‑ alpha Avi-tag binds with an ED50 of 2-12 ng/mL.

Measured in a cytotoxicity assay using L-929 mouse fibroblast cells in the presence of the metabolic inhibitor actinomycin D. Matthews, N. and M.L. Neale (1987) in Lymphokines and Interferons, A Practical Approach. Clemens, M.J. et al. (eds): IRL Press. 221.
The ED50 for this effect is 20-200 pg/mL.

Scientific Data Images for Recombinant Human TNF-alpha Avi-tag Protein, CF

Biotinylated Recombinant Human TNF‑ alpha Avi-tag Protein SEC-MALS.

Biotinylated Recombinant Human TNF‑ alpha Avi-tag Protein (Catalog # AVI10728) has a molecular weight (MW) of 59.1, as analyzed by SEC-MALS, suggesting that this protein exists as a homotrimer.

Biotinylated Recombinant Human TNF-alpha Avi-tag Protein Binding Activity.

When Recombinant Human TNF RI/TNFRSF1A Fc Chimera (372-RI) is coated at 0.025 μg/mL (100 μL/well), Biotinylated Recombinant Human TNF‑alpha Avi-tag binds with an ED50 of 2-12 ng/mL.

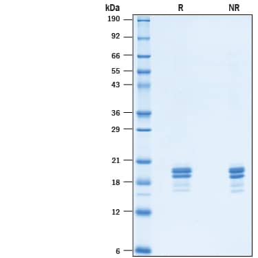
Recombinant Human TNF-alpha Avi-tag Protein SDS-PAGE.

2 μg/lane of Recombinant Human TNF-alpha Avi-tag (Catalog # AVI10728) was resolved with SDS-PAGE under reducing (R) and non-reducing (NR) conditions and visualized by Coomassie® Blue staining, showing bands at 15-22 kDa.

Formulation, Preparation and Storage

AVI10728
Formulation Lyophilized from a 0.2 μm filtered solution in PBS with Trehalose.
Reconstitution Reconstitute at 500 μg/mL in PBS.
Shipping The product is shipped at ambient temperature. Upon receipt, store it immediately at the temperature recommended below.
Stability & Storage Use a manual defrost freezer and avoid repeated freeze-thaw cycles.
  • 12 months from date of receipt, -20 to -70 °C as supplied.
  • 1 month, 2 to 8 °C under sterile conditions after reconstitution.
  • 3 months, -20 to -70 °C under sterile conditions after reconstitution.

Background: TNF-alpha

Tumor necrosis factor alpha (TNF-alpha), also known as cachectin and TNFSF2, is the prototypic ligand of the TNF superfamily. It is a pleiotropic molecule that plays a central role in inflammation, immune system development, apoptosis, and lipid metabolism (1, 2). Human TNF-alpha consisits of a 35 amino acid (aa) cytoplasmic domain, a 21 aa transmembrane segment, and a 177 aa extracellular domain (ECD) (3). Within the ECD, human TNF-alpha shares 97% aa sequence identity with rhesus and 71%-92% with bovine, canine, cotton rat, equine, feline, mouse, porcine, and rat TNF-alpha. TNF-alpha is produced by a wide variety of immune, epithelial, endothelial, and tumor cells (1, 2). TNF-alpha is assembled intracellularly to form a noncovalently linked homotrimer which is expressed on the cell surface (4). Cell surface TNF-alpha can induce the lysis of neighboring tumor cells and virus infected cells, and it can generate its own downstream cell signaling following ligation by soluble TNFR I (2, 5). Shedding of membrane bound TNF-alpha by TACE/ADAM17 releases the bioactive cytokine, a 55 kDa soluble trimer of the TNF-alpha extracellular domain (6-8). TNF-alpha binds the ubiquitous 55-60 kDa TNF RI (9, 10) and the hematopoietic cell-restricted 80 kDa TNF RII (11, 12), both of which are also expressed as homotrimers (1, 2, 13). Both type I and type II receptors bind TNF-alpha with comparable affinity (14), although only TNF RI contains a cytoplasmic death domain which triggers the activation of apoptosis. Soluble forms of both types of receptors are released and can neutralize the biological activity of TNF-alpha (15). Our Avi-tag Biotinylated human TNF-alpha features biotinylation at a single site contained within the Avi-tag, a unique 15 amino acid peptide. Protein orientation will be uniform when bound to streptavidin-coated surface due to the precise control of bionylation and the rest of the protein is unchanged so there is no interference in the protein bioactivity.


References

  1. Zelova, H. and J. Hosek (2013) Inflamm. Res. 62:641.
  2. Juhasz, K. et al. (2013) Expert Rev. Clin. Immunol. 9:335.
  3. Pennica, D. et al. (1984) Nature 312:724.
  4. Tang, P. et al. (1996) Biochemistry 35:8216.
  5. Perez, C. et al. (1990) Cell 63:251.
  6. Black, R.A. et al. (1997) Nature 385:729.
  7. Moss, M.L. et al. (1997) Nature 385:733.
  8. Gearing, A.J.H. et al. (1994) Nature 370:555.
  9. Schall, T.J. et al. (1990) Cell 61:361.
  10. Loetscher, H. et al. (1990) Cell 61:351.
  11. Dembic, Z. et al. (1990) Cytokine 2:231.
  12. Smith, C.A. et al. (1990) Science 248:1019.
  13. Loetscher, H. et al. (1991) J. Biol. Chem. 266:18324.
  14. Pinckard, J.K. et al. (1997) J. Biol. Chem. 272:10784.
  15. Engelmann, H. et al. (1990) J. Biol. Chem. 265:1531.

Long Name

Tumor Necrosis Factor alpha

Alternate Names

Cachetin, DIF, TNF, TNF-A, TNFA, TNFalpha, TNFG1F, TNFSF1A, TNFSF2

Entrez Gene IDs

7124 (Human); 21926 (Mouse); 24835 (Rat); 397086 (Porcine); 280943 (Bovine); 403922 (Canine); 102139631 (Cynomolgus Monkey); 100033834 (Equine); 493755 (Feline); 100009088 (Rabbit)

Gene Symbol

TNF

UniProt

Additional TNF-alpha Products

Product Documents for Recombinant Human TNF-alpha Avi-tag Protein, CF

Certificate of Analysis

To download a Certificate of Analysis, please enter a lot number in the search box below.

Note: Certificate of Analysis not available for kit components.

Product Specific Notices for Recombinant Human TNF-alpha Avi-tag Protein, CF

For research use only

Loading...
Loading...
Loading...