Skip to main content

Recombinant Human BTN1A1/Butyrophilin His Avi Protein, CF

R&D Systems, part of Bio-Techne | Catalog # AVI8467

Biotinylated
R&D Systems, part of Bio-Techne
Catalog #
Availability
Size / Price
Qty
Loading...
AVI8467-050

Key Product Details

  • R&D Systems HEK293-derived Recombinant Human BTN1A1/Butyrophilin His Avi Protein (AVI8467)
  • Quality control testing to verify active proteins with lot specific assays by in-house scientists
  • All R&D Systems proteins are covered with a 100% guarantee

Source

HEK293

Accession #

Structure / Form

Biotinylated protein via Avi-tag

Conjugate

Biotin

Applications

Binding Activity, Bioactivity

Product Specifications

Source

Human embryonic kidney cell, HEK293-derived human BTN1A1/Butyrophilin protein
Human BTN1A1/Butyrophilin
(Ala27-Arg242)
Accession # Q13410
HHHHHH  Avi-tag
N-terminus C-terminus

Purity

>95%, by SDS-PAGE visualized with Silver Staining and quantitative densitometry by Coomassie® Blue Staining.

Endotoxin Level

<0.10 EU per 1 μg of the protein by the LAL method.

N-terminal Sequence Analysis

Ala27

Predicted Molecular Mass

27 kDa

SDS-PAGE

30-43 kDa, under reducing conditions

Activity

The biotin to protein ratio is greater than 0.7 as determined by the HABA assay.

Measured by its ability to inhibit anti-CD3 antibody induced IL-2 secretion in human T lymphocytes.
The ED50 for this effect is 0.5-3 μg/mL.


Measured by its binding ability in a functional ELISA.
When Rabbit Anti-Human BTN1A1/Butyrophilin Monoclonal Antibody (Catalog # MAB84671) is immobilized at 10 μg/mL (100 μL/well), the concentration of Biotinylated Recombinant Human BTN1A1/Butyrophilin His-tag Avi-tag (Catalog # AVI8467) that produces 50% of the optimal binding response is 0.01-0.1 μg/mL.

Scientific Data Images for Recombinant Human BTN1A1/Butyrophilin His Avi Protein, CF

Recombinant Human BTN1A1/Butyrophilin His Avi Protein Binding Activity

Recombinant Human BTN1A1/Butyrophilin His Avi Protein Binding Activity

When Rabbit Anti-Human BTN1A1/Butyrophilin Monoclonal Antibody (Catalog # MAB84671) is immobilized at 10 μg/mL, 100 μL/well, it binds Biotinylated Recombinant Human BTN1A1/Butyrophilin His-tag Avi-tag (Catalog # AVI8467) with an ED50 of 0.01-0.1 μg/mL.
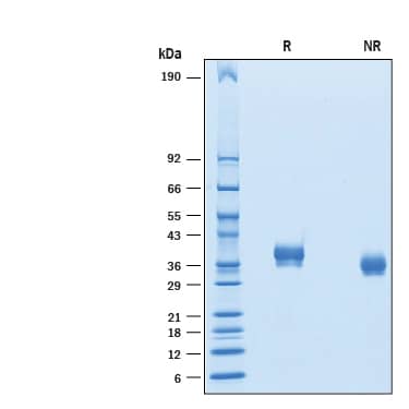
Recombinant Human BTN1A1/Butyrophilin His Avi Protein SDS-PAGE

Recombinant Human BTN1A1/Butyrophilin His Avi Protein SDS-PAGE

2 μg/lane of Biotinylated Recombinant Human BTN1A1/Buyrophilin His-tag Avi-tag (Catalog # AvI8467)was resolved with SDS-PAGE under reducing (R) and non-reducing (NR) conditions and visualized by Coomassie® blue staining, showing bands at 30-43 kDa.

Formulation, Preparation and Storage

AVI8467
Formulation Lyophilized from a 0.2 μm filtered solution in PBS with Trehalose.
Reconstitution Reconstitute at 100 μg/mL in PBS.
Shipping The product is shipped at ambient temperature. Upon receipt, store it immediately at the temperature recommended below.
Stability & Storage Use a manual defrost freezer and avoid repeated freeze-thaw cycles.
  • 12 months from date of receipt, -20 to -70 °C as supplied.
  • 1 month, 2 to 8 °C under sterile conditions after reconstitution.
  • 3 months, -20 to -70 °C under sterile conditions after reconstitution.

Background: BTN1A1/Butyrophilin

Butyrophilin 1A1 (also called BTN1A1), a 55 kDa type I transmembrane glycoprotein, is a member of the Ig superfamily. BTN1A1 is 494 amino acids (aa) long and is composed of an extracellular domain (ECD) (aa 27-242), a transmembrane domain and a cytoplasmic tail (aa 270-526) which contains the B30.2 domain. The BTN1A1 ECD displays two predicted IgV and IgC domains as do B7 and Skint proteins which interact with other Ig superfamily members (1).The B30.2 domain of BTN1A1 binds to xanthine oxidoreductase (XOR) (2). This interaction stabilizes the association of XOR with the milk fat globule membrane and appears to be essential in the control of milk fat globule secretion (3, 4, 5). Binding to XOR is conserved among BTN1A1 orthologs, but is not shared by BTN2A1 or BTN3A1 (2). The B30.2 domain of butyrophilins is also described as a sensor for detecting changes in intracellular phopho-antigen (pAg) concentrations. B30.2 binding to pAg induces a cascade of events leading to the activation of gamma delta T cells (6). In vitro, BTN1A1 has an inhibitory effect on CD4+ T cell proliferation, and in addition reduces expression of cytokines associated with T cell activation such as IL-2 and IFN-gamma (7, 8). Furthermore, in vivo, BTN1A1 has a protective effect against the development of experimental autoimmune encephalomyelitis (EAE) (9). The ECD of human BTN1A1 shares 68% aa sequence identity with both mouse and rat BTN1A1. Because butyrophilins are structurally related to B7 proteins and are functionally implicated in immune regulation, they may represent an emerging family of co-stimulatory/inhibitory molecules.

References

  1. Abeler-Dorner, L. et al. (2012) Trends Immunol. 33:34.
  2. Jeong, J. et al. (2009) J. Biol. Chem. 284:22444.
  3. Vorback, C. et al. (2002) Genes Dev. 16:3223.
  4. Ogg, S.L. et al. (2004) Proc. Natl. Acad. Sci. USA 101:10084.
  5. Robenek, H. et al. (2006) Proc. Natl. Acad. Sci. USA 103:10385.
  6. Sandstrom, A. et al. (2014) Immunity 40:490.
  7. Arnet, H.A. and Viney, J.L. (2014) Nat.Rev.Immunol.14:559.
  8. Smith, I.A. et al. (2010) J.Immunol. 184:3514.
  9. Mana, P. et al. (2004) J.Immunol. 16:489.

Alternate Names

BTN, BTN1A1

Entrez Gene IDs

696 (Human); 12231 (Mouse); 306956 (Rat)

Gene Symbol

BTN1A1

UniProt

Additional BTN1A1/Butyrophilin Products

Product Documents for Recombinant Human BTN1A1/Butyrophilin His Avi Protein, CF

Certificate of Analysis

To download a Certificate of Analysis, please enter a lot number in the search box below.

Note: Certificate of Analysis not available for kit components.

Product Specific Notices for Recombinant Human BTN1A1/Butyrophilin His Avi Protein, CF

For research use only

Loading...
Loading...
Loading...