Skip to main content

Human Total HSP60 DuoSet IC ELISA

R&D Systems, part of Bio-Techne | Catalog # DYC1800-2

R&D Systems, part of Bio-Techne
Catalog #
Availability
Size / Price
Qty
Loading...
DYC1800-2
DYC1800-5

Ancillary Products Available

Key Product Details

Assay Type

Solid Phase Sandwich ELISA

Assay Range

625-40000 pg/mL

Sample Type

Cell Lysates

Reactivity

Human

Human Total HSP60 DuoSet IC ELISA Features

  • Optimized capture and detection antibody pairings with recommended concentrations save lengthy development time
  • Development protocols are provided to guide further assay optimization
  • Assay can be customized to your specific needs
  • Available in 2, 5, and 15- (96-well) plate pack sizes
  • Economical alternative to Western blot

Product Summary for Human Total HSP60 DuoSet IC ELISA

This DuoSet IC ELISA contains the basic components required for the development of sandwich ELISAs to measure total HSP60 in cell lysates. An immobilized capture antibody specific for HSP60 binds both phosphorylated and unphosphorylated HSP60. After washing away unbound material, a biotinylated detection antibody is used to detect both phosphorylated and unphosphorylated protein, utilizing a standard Streptavidin-HRP format.

 

Product Specifications

Assay Format

96-well strip plate (sold separately)

Sample Volume Required

Cell lysates (100 µL)

Detection Method

Colorimetric ELISA - 450nm (TMB)

Conjugate

Biotin

Label

HRP

Scientific Data Images for Human Total HSP60 DuoSet IC ELISA

Standard Curve

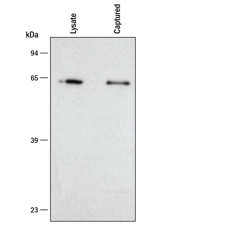
Specificity of Human Total HSP60 DuoSet IC ELISA is Shown by Western Blot.

Specificity of Human Total HSP60 DuoSet IC ELISA is Shown by Western Blot.

Lysates prepared from Jurkat human acute T cell leukemia cells were incubated in wells coated with Human Total HSP60 Capture Antibody. Unbound material was removed by washing and bound material was solubilized in SDS gel sample buffer. The same lysate and captured proteins were electrophoresed, transferred to an Immobilon-P membrane (Millipore) and immunoblotted with Human Total HSP60 Detection Antibody. Only a single band corresponding to HSP60 was detected. To further determine specificity, recombinant human (rh) HSP27 (Catalog # 1580-HS) and rhHSP70 (Catalog # AP-100) were assayed at 400 ng/mL and did not cross-react or interfere in the assay.
Quantifications of HSP60 in Human Cell Lysates.

Quantifications of HSP60 in Human Cell Lysates.

Lysates prepared from Md from MCF-7 human breast cancer cells, HeLa human cervical epithelial carcinoma cells and Jurkat human acute T cell leukemia cells were quantified with this DuoSet IC ELISA. The same lysates were also immunoblotted (inset) with Mouse Anti-human HSP60 (Catalog # MAB1800) Antibody. The DuoSet IC ELISA results correlate well with the relative amounts of HSP60 detected by Western blot.

Kit Contents for Human Total HSP60 DuoSet IC ELISA

  • Capture Antibody
  • Conjugated Detection Antibody
  • Calibrated Immunoassay Standard or Control
  • Streptavidin-HRP

Other Reagents Required


PBS: (Catalog # DY006), or 137 mM NaCl, 2.7 mM KCl, 8.1 mM Na2HPO4, 1.5 mM KH2O4, pH 7.2 - 7.4, 0.2 µm filtered

Wash Buffer: (Catalog # WA126), or equivalent

Lysis Buffer*

IC Diluent*

Blocking Buffer*


Substrate Solution: 1:1 mixture of Color Reagent A (H2O2) and Color Reagent B (Tetramethylbenzidine) (Catalog # DY999)

Stop Solution: 2 N H2SO4 (Catalog # DY994)

Microplates: From Costar EIA Plate (Costar Catalog # 2592) or R&D Systems (Catalog # DY990), or equivalent

Plate Sealers: ELISA Plate Sealers (Catalog # DY992), or equivalent

*For the Lysis Buffer, IC Diluent, and Blocking BUffer recommended for a specific DuoSet ELISA Development Kit, please see the product

Preparation and Storage

Shipping

The product is shipped at ambient temperature. Upon receipt, store it immediately at the temperature recommended below.

Stability & Storage

Store the unopened product at 2 - 8 °C. Do not use past expiration date.

Background: HSP60

The heat shock proteins are a highly conserved family of stress response proteins. HSPs function primarily as molecular chaperones, facilitating the folding of other cellular proteins, preventing protein aggregation, or targeting improperly folded proteins to specific degradative pathways. Some HSPs are expressed at low levels under normal physiological conditions but show dramatically increased expression in response to cellular stress, others are constitutively expressed. Specific HSPs play a role in regulating apoptosis by interacting directly with key components of the apoptotic pathway.

Long Name

Heat Shock Protein 60

Alternate Names

cpn60, GROEL, HSPD1, SPG13

Entrez Gene IDs

3329 (Human); 110907 (Mouse); 63868 (Rat)

Gene Symbol

HSPD1

Additional HSP60 Products

Product Documents for Human Total HSP60 DuoSet IC ELISA

Certificate of Analysis

To download a Certificate of Analysis, please enter a lot number in the search box below.

Note: Certificate of Analysis not available for kit components.

Product Specific Notices for Human Total HSP60 DuoSet IC ELISA

For research use only

Loading...
Loading...
Loading...