Skip to main content

ZNF746 Antibody - BSA Free

Novus Biologicals, part of Bio-Techne | Catalog # NBP3-47410

Novus Biologicals, part of Bio-Techne
Catalog #
Availability
Size / Price
Qty
Loading...
NBP3-47410

Key Product Details

Species Reactivity

Human, Rat

Applications

ELISA, Immunohistochemistry, Western Blot

Label

Unconjugated

Antibody Source

Polyclonal Rabbit IgG

Format

BSA Free

Concentration

Please see the vial label for concentration. If unlisted please contact technical services.

Product Specifications

Immunogen

zinc finger protein 746. (Uniprot# Q6NUN9)

Clonality

Polyclonal

Host

Rabbit

Isotype

IgG

Description

Novus Biologicals Rabbit ZNF746 Antibody - BSA Free (NBP3-47410) is a polyclonal antibody validated for use in IHC, WB and ELISA. All Novus Biologicals antibodies are covered by our 100% guarantee.

Scientific Data Images for ZNF746 Antibody - BSA Free

ZNF746 Antibody - BSA Free

Western Blot: ZNF746 Antibody - BSA Free [NBP3-47410] -

Western Blot: ZNF746 Antibody - BSA Free [NBP3-47410] - HepG2 cell lysates were subjected to SDS PAGE followed by western blot with (ZNF746 antibody) at dilution of 1:1000
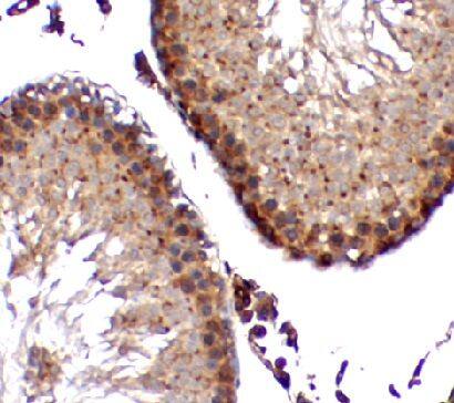
ZNF746 Antibody - BSA Free

Immunohistochemistry: ZNF746 Antibody - BSA Free [NBP3-47410] -

Immunohistochemistry: ZNF746 Antibody - BSA Free [NBP3-47410] - Immunohistochemistry of paraffin-embedded rat testis tissue slide using (ZNF746 antibody) at dilution of 1:100

Applications for ZNF746 Antibody - BSA Free

Application
Recommended Usage

Immunohistochemistry

1:20-1:200

Western Blot

1:500-1:5000
Application Notes
Theoretical Molecular Weight is 50-55 kDa, 70-85 kDa

Formulation, Preparation, and Storage

Purification

Immunogen affinity purified

Formulation

PBS, 50% Glycerol, pH (7.3)

Format

BSA Free

Preservative

0.02% Sodium Azide

Concentration

Please see the vial label for concentration. If unlisted please contact technical services.

Shipping

The product is shipped with polar packs. Upon receipt, store it immediately at the temperature recommended below.

Stability & Storage

Store at -20C. Avoid freeze-thaw cycles.

Background: ZNF746

ZNF746 may be involved in transcriptional regulation

Alternate Names

FLJ31413, PARIS, Parkin-interacting sustrate, zinc finger protein 746

Gene Symbol

ZNF746

Additional ZNF746 Products

Product Documents for ZNF746 Antibody - BSA Free

Certificate of Analysis

To download a Certificate of Analysis, please enter a lot number in the search box below.

Product Specific Notices for ZNF746 Antibody - BSA Free

This product is for research use only and is not approved for use in humans or in clinical diagnosis. Primary Antibodies are guaranteed for 1 year from date of receipt.

Loading...
Loading...
Loading...
Loading...