Skip to main content

ZNF746 Antibody - BSA Free

Novus Biologicals, part of Bio-Techne | Catalog # NBP2-13594

Novus Biologicals, part of Bio-Techne
Catalog #
Availability
Size / Price
Qty
Loading...
NBP2-13594
NBP2-13594-25ul

Key Product Details

Species Reactivity

Validated:

Human

Predicted:

Mouse (95%), Rat (94%). Backed by our 100% Guarantee.

Applications

Immunohistochemistry, Immunohistochemistry-Paraffin, Chromatin Immunoprecipitation-exo-Seq

Label

Unconjugated

Antibody Source

Polyclonal Rabbit IgG

Format

BSA Free

Concentration

Concentrations vary lot to lot. See vial label for concentration. If unlisted please contact technical services.

Product Specifications

Immunogen

This antibody was developed against a recombinant protein corresponding to the amino acids: WNFRCKPPVGLNPRTGPEGLPYSSPDNGEAILDPSQAPRPFNEPCKYPGRTKGFGHKPGLKKHP

Clonality

Polyclonal

Host

Rabbit

Isotype

IgG

Description

Novus Biologicals Rabbit ZNF746 Antibody - BSA Free (NBP2-13594) is a polyclonal antibody validated for use in IHC. All Novus Biologicals antibodies are covered by our 100% guarantee.

Scientific Data Images for ZNF746 Antibody - BSA Free

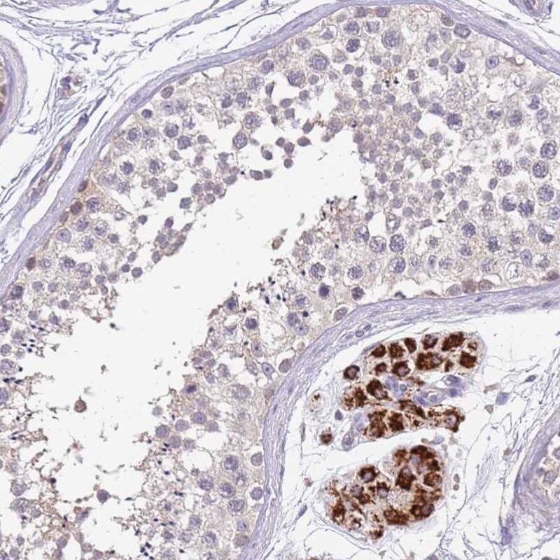
Immunohistochemistry-Paraffin: ZNF746 Antibody [NBP2-13594]

Immunohistochemistry-Paraffin: ZNF746 Antibody [NBP2-13594]

Immunohistochemistry-Paraffin: ZNF746 Antibody [NBP2-13594] - Staining of human testis shows strong cytoplasmic positivity in Leydig cells.
Immunohistochemistry: ZNF746 Antibody [NBP2-13594]

Immunohistochemistry: ZNF746 Antibody [NBP2-13594]

Immunohistochemistry: ZNF746 Antibody [NBP2-13594] - Staining of human placenta shows strong cytoplasmic positivity in trophoblastic cells.
ZNF746 Antibody - BSA Free Immunohistochemistry: ZNF746 Antibody - BSA Free [NBP2-13594]

Immunohistochemistry: ZNF746 Antibody - BSA Free [NBP2-13594]

Staining of human testis shows strong cytoplasmic positivity in Leydig cells.

Applications for ZNF746 Antibody - BSA Free

Application
Recommended Usage

Chromatin Immunoprecipitation-exo-Seq

1-10ug per reaction

Immunohistochemistry

1:50 - 1:200

Immunohistochemistry-Paraffin

1:50 - 1:200
Application Notes
For IHC-Paraffin, HIER pH 6 retrieval is recommended.

Formulation, Preparation, and Storage

Purification

Immunogen affinity purified

Formulation

PBS (pH 7.2) and 40% Glycerol

Format

BSA Free

Preservative

0.02% Sodium Azide

Concentration

Concentrations vary lot to lot. See vial label for concentration. If unlisted please contact technical services.

Shipping

The product is shipped with polar packs. Upon receipt, store it immediately at the temperature recommended below.

Stability & Storage

Store at 4C short term. Aliquot and store at -20C long term. Avoid freeze-thaw cycles.

Background: ZNF746

ZNF746 may be involved in transcriptional regulation

Alternate Names

FLJ31413, PARIS, Parkin-interacting sustrate, zinc finger protein 746

Gene Symbol

ZNF746

Additional ZNF746 Products

Product Documents for ZNF746 Antibody - BSA Free

Certificate of Analysis

To download a Certificate of Analysis, please enter a lot number in the search box below.

Product Specific Notices for ZNF746 Antibody - BSA Free

This product is for research use only and is not approved for use in humans or in clinical diagnosis. Primary Antibodies are guaranteed for 1 year from date of receipt.

Loading...
Loading...
Loading...
Loading...