Skip to main content

ZNF475 Antibody - BSA Free

Novus Biologicals, part of Bio-Techne | Catalog # NBP2-86498

Novus Biologicals, part of Bio-Techne
Catalog #
Availability
Size / Price
Qty
Loading...
NBP2-86498-0.1ml

Key Product Details

Species Reactivity

Human

Applications

Immunohistochemistry, Immunohistochemistry-Paraffin, Western Blot

Label

Unconjugated

Antibody Source

Polyclonal Rabbit

Format

BSA Free

Concentration

1 mg/ml

Product Specifications

Immunogen

The immunogen is a synthetic peptide directed towards the N-terminal region of human ZNF475. Peptide sequence: SNRSYAGKQTDECNEFGKALLYLKQEKTHSGVEYSEYNKSGKALSHKAAI The peptide sequence for this immunogen was taken from within the described region.

Clonality

Polyclonal

Host

Rabbit

Description

Novus Biologicals Rabbit ZNF475 Antibody - BSA Free (NBP2-86498) is a polyclonal antibody validated for use in IHC and WB. All Novus Biologicals antibodies are covered by our 100% guarantee.

Scientific Data Images for ZNF475 Antibody - BSA Free

Western Blot: ZNF475 Antibody [NBP2-86498]

Western Blot: ZNF475 Antibody [NBP2-86498]

Western Blot: ZNF475 Antibody [NBP2-86498] - Jurkat Whole Cell
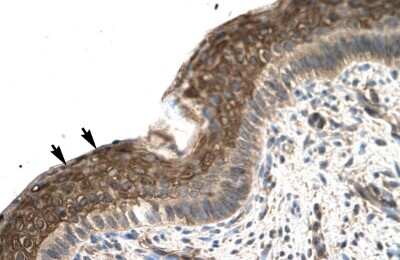
Immunohistochemistry-Paraffin: ZNF475 Antibody [NBP2-86498]

Immunohistochemistry-Paraffin: ZNF475 Antibody [NBP2-86498]

Immunohistochemistry-Paraffin: ZNF475 Antibody [NBP2-86498] - Rabbit Anti-ZFP1 Antibody. Paraffin Embedded Tissue: Human Spermatophore. Cellular Data: Epithelial cells. Antibody Concentration: 4.0-8.0 ug/ml. Magnification: 400X
Immunohistochemistry-Paraffin: ZNF475 Antibody [NBP2-86498]

Immunohistochemistry-Paraffin: ZNF475 Antibody [NBP2-86498]

Immunohistochemistry-Paraffin: ZNF475 Antibody [NBP2-86498] - Rabbit Anti-ZFP1 Antibody. Paraffin Embedded Tissue: Human Intestine. Cellular Data: Epithelial cells of intestinal villas. Antibody Concentration: 4.0-8.0 ug/ml. Magnification: 400X

Applications for ZNF475 Antibody - BSA Free

Application
Recommended Usage

Western Blot

1.0 ug/ml

Formulation, Preparation, and Storage

Purification

Protein A purified

Formulation

PBS, 2% Sucrose

Format

BSA Free

Preservative

0.09% Sodium Azide

Concentration

1 mg/ml

Shipping

The product is shipped with polar packs. Upon receipt, store it immediately at the temperature recommended below.

Stability & Storage

Store at 4C short term. Aliquot and store at -20C long term. Avoid freeze-thaw cycles.

Background: ZNF475

ZNF475 may be involved in transcriptional regulation

Alternate Names

FLJ34243, Zfp-1, zinc finger protein 1 homolog, zinc finger protein 1 homolog (mouse), Zinc finger protein 475, ZNF475zfp-1

Gene Symbol

ZFP1

Additional ZNF475 Products

Product Documents for ZNF475 Antibody - BSA Free

Certificate of Analysis

To download a Certificate of Analysis, please enter a lot number in the search box below.

Product Specific Notices for ZNF475 Antibody - BSA Free

This product is for research use only and is not approved for use in humans or in clinical diagnosis. Primary Antibodies are guaranteed for 1 year from date of receipt.

Loading...
Loading...
Loading...
Loading...