Skip to main content

ZNF322A Antibody - BSA Free

Novus Biologicals, part of Bio-Techne | Catalog # NBP2-33384

Novus Biologicals, part of Bio-Techne
Catalog #
Availability
Size / Price
Qty
Loading...
NBP2-33384-25ul
NBP2-33384

Key Product Details

Species Reactivity

Validated:

Human

Cited:

Human

Predicted:

Mouse (91%), Rat (91%). Backed by our 100% Guarantee.

Applications

Validated:

Immunohistochemistry, Immunohistochemistry-Paraffin, Western Blot

Cited:

Western Blot

Label

Unconjugated

Antibody Source

Polyclonal Rabbit IgG

Format

BSA Free

Concentration

Concentrations vary lot to lot. See vial label for concentration. If unlisted please contact technical services.

Product Specifications

Immunogen

This antibody was developed against a recombinant protein corresponding to amino acids: QRIHMEEKPHQWSACESGFLLGMDFVAQQKMRTQTEELHYKYTVCD

Clonality

Polyclonal

Host

Rabbit

Isotype

IgG

Description

Novus Biologicals Rabbit ZNF322A Antibody - BSA Free (NBP2-33384) is a polyclonal antibody validated for use in IHC and WB. Anti-ZNF322A Antibody: Cited in 1 publication. All Novus Biologicals antibodies are covered by our 100% guarantee.

Scientific Data Images for ZNF322A Antibody - BSA Free

Western Blot: ZNF322A Antibody [NBP2-33384]

Western Blot: ZNF322A Antibody [NBP2-33384]

Western Blot: ZNF322A Antibody [NBP2-33384] - Lane 1: Marker [kDa] 250, 130, 95, 72, 55, 36, 28, 17, 10. Lane 2: Human cell line RT-4. Lane 3: Human cell line U-251MG
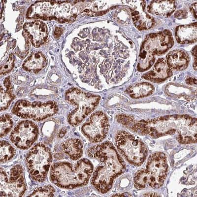
Immunohistochemistry: ZNF322A Antibody [NBP2-33384]

Immunohistochemistry: ZNF322A Antibody [NBP2-33384]

Immunohistochemistry: ZNF322A Antibody [NBP2-33384] - Staining of human kidney shows strong cytoplasmic positivity in cells in tubules.

Applications for ZNF322A Antibody - BSA Free

Application
Recommended Usage

Immunohistochemistry

1:50 - 1:200

Immunohistochemistry-Paraffin

1:50 - 1:200

Western Blot

0.04-0.4 ug/ml
Application Notes
For IHC-Paraffin, HIER pH 6 retrieval is recommended.

Formulation, Preparation, and Storage

Purification

Affinity purified

Formulation

PBS (pH 7.2) and 40% Glycerol

Format

BSA Free

Preservative

0.02% Sodium Azide

Concentration

Concentrations vary lot to lot. See vial label for concentration. If unlisted please contact technical services.

Shipping

The product is shipped with polar packs. Upon receipt, store it immediately at the temperature recommended below.

Stability & Storage

Store at 4C short term. Aliquot and store at -20C long term. Avoid freeze-thaw cycles.

Background: ZNF322A

ZNF322A is a member of the zinc-finger transcription factor family and may regulate transcriptional activation in MAPK(see MAPK1; MIM 176948) signaling pathways (Li et al., 2004 (PubMed 15555580)).(supplied by OMIM)

Alternate Names

FLJ23393, HCG12, HLA complex group 12, zinc finger protein 322, zinc finger protein 322A, zinc finger protein 388, zinc finger protein 489, ZNF322A, ZNF388, ZNF489

Gene Symbol

ZNF322

UniProt

Additional ZNF322A Products

Product Documents for ZNF322A Antibody - BSA Free

Certificate of Analysis

To download a Certificate of Analysis, please enter a lot number in the search box below.

Product Specific Notices for ZNF322A Antibody - BSA Free

This product is for research use only and is not approved for use in humans or in clinical diagnosis. Primary Antibodies are guaranteed for 1 year from date of receipt.

Loading...
Loading...
Loading...
Loading...