ZNF234 Antibody - BSA Free
Novus Biologicals, part of Bio-Techne | Catalog # NBP3-06253
Conjugate
Catalog #
Key Product Details
Species Reactivity
Human
Applications
Immunohistochemistry, Immunohistochemistry-Paraffin, Western Blot, Immunoprecipitation
Label
Unconjugated
Antibody Source
Polyclonal Rabbit IgG
Format
BSA Free
Concentration
Please see the vial label for concentration. If unlisted please contact technical services.
Product Specifications
Immunogen
Produced in rabbits immunized with E. coli-derived Human ZNF234 fragment.
Clonality
Polyclonal
Host
Rabbit
Isotype
IgG
Description
This antibody can be stored at 2C-8C for one month without detectable loss of activity. Antibody products are stable for twelve months from date of receipt when stored at -20C to -80C. Avoid repeated freeze-thaw cycles.
Scientific Data Images for ZNF234 Antibody - BSA Free
Western Blot: ZNF234 Antibody [NBP3-06253]
Western Blot: ZNF234 Antibody [NBP3-06253] - Anti-ZDHHC3 rabbit polyclonal antibody at 1:500 dilutionLane A: HepG2 Whole Cell LysateLysates/proteins at 30 ug per lane.SecondaryGoat Anti-Rabbit IgG (H+L) HRP at 110000 dilution.Developed using the ECL technique.Performed under reducing conditions.Predicted band size:34 kDaObserved band size:48 kDaImmunohistochemistry-Paraffin: ZNF234 Antibody [NBP3-06253]
Immunohistochemistry-Paraffin: ZNF234 Antibody [NBP3-06253] - Immunochemical staining of human ZNF234 in human liver with rabbit polyclonal antibody at 1:100 dilution, formalin-fixed paraffin embedded sections.Immunohistochemistry-Paraffin: ZNF234 Antibody [NBP3-06253]
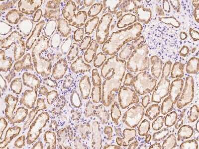
Immunohistochemistry-Paraffin: ZNF234 Antibody [NBP3-06253] - Immunochemical staining of human ZNF234 in human kidney with rabbit polyclonal antibody at 1:100 dilution, formalin-fixed paraffin embedded sections.Applications for ZNF234 Antibody - BSA Free
Application
Recommended Usage
Immunohistochemistry-Paraffin
1:50-1:200
Immunoprecipitation
1-5uL/mg of lysate
Western Blot
1:500-1:2000
Formulation, Preparation, and Storage
Purification
Antigen and protein A Affinity-purified
Formulation
PBS
Format
BSA Free
Preservative
0.03% Proclin 300
Concentration
Please see the vial label for concentration. If unlisted please contact technical services.
Shipping
The product is shipped with polar packs. Upon receipt, store it immediately at the temperature recommended below.
Stability & Storage
Store at 4C short term. Aliquot and store at -20C long term. Avoid freeze-thaw cycles.
Background: ZNF234
Alternate Names
HZF4, ZNF234 zinc finger protein 234, ZNF269
Gene Symbol
ZNF234
Additional ZNF234 Products
Product Specific Notices for ZNF234 Antibody - BSA Free
This product is for research use only and is not approved for use in humans or in clinical diagnosis. Primary Antibodies are guaranteed for 1 year from date of receipt.
Loading...
Loading...
Loading...
Loading...