Skip to main content

Zinc transporter 9 Antibody - BSA Free

Novus Biologicals, part of Bio-Techne | Catalog # NBP2-83813

Novus Biologicals, part of Bio-Techne
Catalog #
Availability
Size / Price
Qty
Loading...
NBP2-83813-0.1ml

Key Product Details

Species Reactivity

Human

Applications

Immunohistochemistry, Immunohistochemistry-Paraffin, Western Blot

Label

Unconjugated

Antibody Source

Polyclonal Rabbit

Format

BSA Free

Concentration

0.5 mg/ml

Product Specifications

Immunogen

The immunogen is a synthetic peptide directed towards the N-terminal region of human Zinc transporter 9. Peptide sequence: LKQEPLQVRVKAVLKKREYGSKYTQNNFITGVRAINEFCLKSSDLEQLR The peptide sequence for this immunogen was taken from within the described region.

Clonality

Polyclonal

Host

Rabbit

Description

Novus Biologicals Rabbit Zinc transporter 9 Antibody - BSA Free (NBP2-83813) is a polyclonal antibody validated for use in IHC and WB. All Novus Biologicals antibodies are covered by our 100% guarantee.

Scientific Data Images for Zinc transporter 9 Antibody - BSA Free

Western Blot: Zinc transporter 9 Antibody [NBP2-83813]

Western Blot: Zinc transporter 9 Antibody [NBP2-83813]

Western Blot: Zinc transporter 9 Antibody [NBP2-83813] - WB Suggested Anti-SLC30A9 Antibody Titration: 0.2-1 ug/ml. ELISA Titer: 1:62500. Positive Control: HepG2 cell lysate
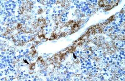
Immunohistochemistry: Zinc transporter 9 Antibody [NBP2-83813]

Immunohistochemistry: Zinc transporter 9 Antibody [NBP2-83813]

Immunohistochemistry: Zinc transporter 9 Antibody [NBP2-83813] - Human Liver

Applications for Zinc transporter 9 Antibody - BSA Free

Application
Recommended Usage

Western Blot

1.0 ug/ml

Formulation, Preparation, and Storage

Purification

Affinity purified

Formulation

PBS, 2% Sucrose

Format

BSA Free

Preservative

0.09% Sodium Azide

Concentration

0.5 mg/ml

Shipping

The product is shipped with polar packs. Upon receipt, store it immediately at the temperature recommended below.

Stability & Storage

Store at 4C short term. Aliquot and store at -20C long term. Avoid freeze-thaw cycles.

Background: Zinc transporter 9

pCMV-SLC30A9 Full length

Alternate Names

C4orf1GRIP1-dependent nuclear receptor coactivator, chromosome 4 open reading frame 1, GAC63, HuEL, HUELexpressed in human embryonic lung, Human embryonic lung protein, solute carrier family 30 (zinc transporter), member 9, Solute carrier family 30 member 9, zinc transporter 9, ZNT9, znT-9

Gene Symbol

SLC30A9

Additional Zinc transporter 9 Products

Product Documents for Zinc transporter 9 Antibody - BSA Free

Certificate of Analysis

To download a Certificate of Analysis, please enter a lot number in the search box below.

Product Specific Notices for Zinc transporter 9 Antibody - BSA Free

This product is for research use only and is not approved for use in humans or in clinical diagnosis. Primary Antibodies are guaranteed for 1 year from date of receipt.

Loading...
Loading...
Loading...
Loading...