Skip to main content

ZFP200 Antibody (OTI5F4)

Novus Biologicals, part of Bio-Techne | Catalog # NBP2-46423

Novus Biologicals, part of Bio-Techne
Catalog #
Availability
Size / Price
Qty
Loading...
NBP2-46423

Key Product Details

Species Reactivity

Human

Applications

Immunohistochemistry, Immunohistochemistry-Paraffin, Western Blot

Label

Unconjugated

Antibody Source

Monoclonal Mouse IgG1 Clone # OTI5F4

Concentration

1 mg/ml

Product Specifications

Immunogen

Full length human recombinant protein of human ZNF200 (NP_932353) produced in E.coli.

Clonality

Monoclonal

Host

Mouse

Isotype

IgG1

Theoretical MW

45.2 kDa.
Disclaimer note: The observed molecular weight of the protein may vary from the listed predicted molecular weight due to post translational modifications, post translation cleavages, relative charges, and other experimental factors.

Description

Novus Biologicals Mouse ZFP200 Antibody (OTI5F4) (NBP2-46423) is a monoclonal antibody validated for use in IHC and WB. All Novus Biologicals antibodies are covered by our 100% guarantee.

Scientific Data Images for ZFP200 Antibody (OTI5F4)

Western Blot: ZFP200 Antibody (OTI5F4) [NBP2-46423]

Western Blot: ZFP200 Antibody (OTI5F4) [NBP2-46423]

Western Blot: ZFP200 Antibody (5F4) [NBP2-46423] - Analysis of HEK293T cells were transfected with the pCMV6-ENTRY control (Left lane) or pCMV6-ENTRY ZNF200.
Immunohistochemistry: ZFP200 Antibody (OTI5F4) [NBP2-46423]

Immunohistochemistry: ZFP200 Antibody (OTI5F4) [NBP2-46423]

Immunohistochemistry: ZFP200 Antibody (5F4) [NBP2-46423] - Analysis of Carcinoma of Human prostate tissue. (Heat-induced epitope retrieval by 1 mM EDTA in 10mM Tris, pH8.5, 120C for 3min)
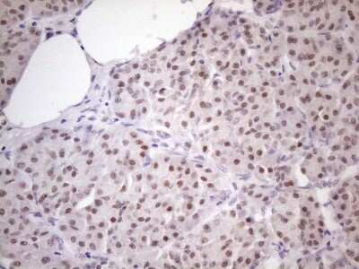
Immunohistochemistry: ZFP200 Antibody (OTI5F4) [NBP2-46423]

Immunohistochemistry: ZFP200 Antibody (OTI5F4) [NBP2-46423]

Immunohistochemistry: ZFP200 Antibody (5F4) [NBP2-46423] - Analysis of Adenocarcinoma of Human breast tissue. (Heat-induced epitope retrieval by 1 mM EDTA in 10mM Tris, pH8.5, 120C for 3min)

Applications for ZFP200 Antibody (OTI5F4)

Application
Recommended Usage

Immunohistochemistry

1:150

Immunohistochemistry-Paraffin

1:150

Western Blot

1:2000

Formulation, Preparation, and Storage

Purification

Immunogen affinity purified

Formulation

PBS (pH 7.3), 1.0% BSA and 50% Glycerol

Preservative

0.02% Sodium Azide

Concentration

1 mg/ml

Shipping

The product is shipped with polar packs. Upon receipt, store it immediately at the temperature recommended below.

Stability & Storage

Store at -20C. Avoid freeze-thaw cycles.

Background: ZFP200

ZFP200 (ZNF200) is a gene that codes for a protein with three isoforms, with lengths of 395, 394 and 394 amino acids and weights of approximately 46, 45, and 45 kDa respectively. ZFP200 is highly expressed in the testis and could have a role in spermatogenesis. Current studies are being done on diseases and disorder related to this gene including familial Mediterranean fever, anemia, and prostatitis. ZFP200 has also been shown to have interactions with PPARGC1B and UBC in pathways such as the generic transcription and gene expression pathways.

Alternate Names

MGC45293, zinc finger protein 200, ZNFMF

Gene Symbol

ZNF200

Additional ZFP200 Products

Product Documents for ZFP200 Antibody (OTI5F4)

Certificate of Analysis

To download a Certificate of Analysis, please enter a lot number in the search box below.

Product Specific Notices for ZFP200 Antibody (OTI5F4)

This product is for research use only and is not approved for use in humans or in clinical diagnosis. Primary Antibodies are guaranteed for 1 year from date of receipt.

Loading...
Loading...
Loading...
Loading...