Skip to main content

ZER1 Antibody - BSA Free

Novus Biologicals, part of Bio-Techne | Catalog # NBP1-32801

Novus Biologicals, part of Bio-Techne
Catalog #
Availability
Size / Price
Qty
Loading...
NBP1-32801

Key Product Details

Species Reactivity

Human, Mouse

Applications

Immunohistochemistry, Immunohistochemistry-Paraffin, Western Blot

Label

Unconjugated

Antibody Source

Polyclonal Rabbit IgG

Format

BSA Free

Concentration

Concentrations vary lot to lot. See vial label for concentration. If unlisted please contact technical services.

Product Specifications

Immunogen

Recombinant protein encompassing a sequence within the C-terminus region of human ZER1. The exact sequence is proprietary.

Clonality

Polyclonal

Host

Rabbit

Isotype

IgG

Theoretical MW

88 kDa.
Disclaimer note: The observed molecular weight of the protein may vary from the listed predicted molecular weight due to post translational modifications, post translation cleavages, relative charges, and other experimental factors.

Scientific Data Images for ZER1 Antibody - BSA Free

Western Blot: ZER1 Antibody [NBP1-32801]

Western Blot: ZER1 Antibody [NBP1-32801]

Western Blot: ZER1 Antibody [NBP1-32801] - Sample (50 ug of whole cell lysate) A: Mouse brain 7. 5% SDS PAGE; antibody diluted at 1:1000.
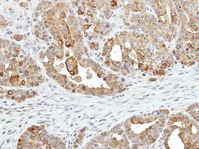
Immunohistochemistry-Paraffin: ZER1 Antibody [NBP1-32801]

Immunohistochemistry-Paraffin: ZER1 Antibody [NBP1-32801]

Immunohistochemistry-Paraffin: ZER1 Antibody [NBP1-32801] - Paraffin-embedded NCI-N87 xenograft, using antibody at 1:500 dilution.
ZER1 Antibody - BSA Free

Western Blot: ZER1 Antibody [NBP1-32801] -

Various whole cell extracts (30 ug) were separated by 7.5% SDS-PAGE, and the membrane was blotted with ZER1 antibody [C2C3], C-term (NBP1-32801) diluted at 1:500. The HRP-conjugated anti-rabbit IgG antibody was used to detect the primary antibody.

Applications for ZER1 Antibody - BSA Free

Application
Recommended Usage

Immunohistochemistry

1:100-1:1000

Immunohistochemistry-Paraffin

1:100-1:1000

Western Blot

1:500-1:3000

Formulation, Preparation, and Storage

Purification

Antigen Affinity-purified

Formulation

PBS, 1% BSA, 20% Glycerol

Format

BSA Free

Preservative

0.025% Proclin 300

Concentration

Concentrations vary lot to lot. See vial label for concentration. If unlisted please contact technical services.

Shipping

The product is shipped with polar packs. Upon receipt, store it immediately at the temperature recommended below.

Stability & Storage

Aliquot and store at -20C or -80C. Avoid freeze-thaw cycles.

Background: ZER1

Probably acts as target recruitment subunit in the E3 ubiquitin ligase complex ZER1-CUL2-Elongin BC

Alternate Names

C9orf60, chromosome 9 open reading frame 60, homolog of Zyg-11, Hzygzyg-11 homolog B (C. elegans)-like, protein zer-1 homolog, zer-1 homolog (C. elegans), ZYG homolog, Zyg-11 homolog B-like protein, ZYG11BL, ZYGRP11-545E17.4

Gene Symbol

ZER1

Additional ZER1 Products

Product Documents for ZER1 Antibody - BSA Free

Certificate of Analysis

To download a Certificate of Analysis, please enter a lot number in the search box below.

Product Specific Notices for ZER1 Antibody - BSA Free

This product is for research use only and is not approved for use in humans or in clinical diagnosis. Primary Antibodies are guaranteed for 1 year from date of receipt.

Loading...
Loading...
Loading...
Loading...

⚠ WARNING: This product can expose you to chemicals including mercury, which is known to the State of California to cause reproductive toxicity with developmental effects.  For more information go to www.P65Warnings.ca.gov.