ZCCHC8 Antibody - BSA Free
Novus Biologicals, part of Bio-Techne | Catalog # NB100-94995
Conjugate
Catalog #
Key Product Details
Validated by
Knockout/Knockdown, Independent Antibodies
Species Reactivity
Validated:
Human
Cited:
Human
Applications
Validated:
Immunohistochemistry, Immunohistochemistry-Paraffin, Western Blot, Immunocytochemistry/ Immunofluorescence, Immunoprecipitation, Knockdown Validated
Cited:
Western Blot, Immunoprecipitation, Knockdown Validated
Label
Unconjugated
Antibody Source
Polyclonal Rabbit IgG
Format
BSA Free
Concentration
1.0 mg/ml
Product Specifications
Immunogen
The immunogen recognized by this antibody maps to a region between residue 1 and 50 of human zinc finger, CCHC domain containing 8 using the numbering given in entry NP_060082.2 (GeneID 55596).
Clonality
Polyclonal
Host
Rabbit
Isotype
IgG
Description
Novus Biologicals Rabbit ZCCHC8 Antibody - BSA Free (NB100-94995) is a polyclonal antibody validated for use in IHC, WB, ICC/IF and IP. Anti-ZCCHC8 Antibody: Cited in 5 publications. All Novus Biologicals antibodies are covered by our 100% guarantee.
Scientific Data Images for ZCCHC8 Antibody - BSA Free
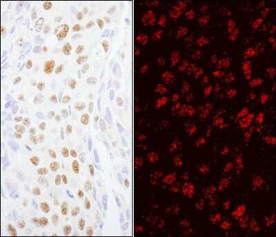
Immunohistochemistry-Paraffin: ZCCHC8 Antibody [NB100-94995]
Immunohistochemistry-Paraffin: ZCCHC8 Antibody [NB100-94995] - Sections of human breast carcinoma. Antibody: Affinity purified rabbit anti-used at a dilution of 1:5,000 (0.2ug/ml) and 1:2,000 (0.5ug/ml). Detection: DAB and Red-fluorescent Goat anti-Rabbit IgG-heavy and light chain, cross-adsorbedAntibody DyLight (R) 594 Conjugated used at a dilution of 1:100Immunoprecipitation: ZCCHC8 Antibody [NB100-94995]
Immunoprecipitation: ZCCHC8 Antibody [NB100-94995] - Detection of Human ZCCHC8 by Western Blot of Immunoprecipitates. Samples: Whole cell lysate (1 mg for IP, 20% of IP loaded) from HeLa cells. Antibody: Affinity purified rabbit anti-ZCCHC8 antibody NB100-94995 used for IP at 3 mcg/mg lysate. ZCCHC8 was also immunoprecipitated by rabbit anti-ZCCHC8 antibody NB100-94996, which recognizes a downstream epitope.Applications for ZCCHC8 Antibody - BSA Free
Application
Recommended Usage
Immunocytochemistry/ Immunofluorescence
1:1000 - 1:5000
Immunohistochemistry
1:2000 - 1:10000
Immunohistochemistry-Paraffin
1:2000 - 1:10000
Immunoprecipitation
2-5 ug/mg lysate
Western Blot
1:100-1:2000
Application Notes
Epitope retrieval with citrate buffer pH 6.0 is recommended for FFPE tissue sections. ZCCHC8 antibody validated for WB from a verified customer review.
Reviewed Applications
Read 2 reviews rated 5 using NB100-94995 in the following applications:
Formulation, Preparation, and Storage
Purification
Immunogen affinity purified
Formulation
Tris-Citrate/Phosphate (pH 7.0 - 8.0)
Format
BSA Free
Preservative
0.09% Sodium Azide
Concentration
1.0 mg/ml
Shipping
The product is shipped with polar packs. Upon receipt, store it immediately at the temperature recommended below.
Stability & Storage
Store at 4C. Do not freeze.
Background: ZCCHC8
Alternate Names
DKFZp434E2220, zinc finger CCHC domain-containing protein 8, zinc finger, CCHC domain containing 8
Entrez Gene IDs
55596 (Human)
Gene Symbol
ZCCHC8
UniProt
Additional ZCCHC8 Products
Product Documents for ZCCHC8 Antibody - BSA Free
Product Specific Notices for ZCCHC8 Antibody - BSA Free
This product is for research use only and is not approved for use in humans or in clinical diagnosis. Primary Antibodies are guaranteed for 1 year from date of receipt.
Loading...
Loading...
Loading...
Loading...