ZBTB20 Antibody - BSA Free
Novus Biologicals, part of Bio-Techne | Catalog # NBP2-20936
Key Product Details
Species Reactivity
Validated:
Human, Mouse, Rat
Cited:
Human
Applications
Validated:
Immunohistochemistry, Immunohistochemistry-Paraffin, Western Blot, Immunocytochemistry/ Immunofluorescence, Knockdown Validated
Cited:
Western Blot, IF/IHC, Knockdown Validated
Label
Unconjugated
Antibody Source
Polyclonal Rabbit IgG
Format
BSA Free
Concentration
Concentrations vary lot to lot. See vial label for concentration. If unlisted please contact technical services.
Product Specifications
Immunogen
Recombinant protein encompassing a sequence within the center region of human ZBTB20. The exact sequence is proprietary.
Localization
Nucleus
Clonality
Polyclonal
Host
Rabbit
Isotype
IgG
Theoretical MW
81 kDa.
Disclaimer note: The observed molecular weight of the protein may vary from the listed predicted molecular weight due to post translational modifications, post translation cleavages, relative charges, and other experimental factors.
Disclaimer note: The observed molecular weight of the protein may vary from the listed predicted molecular weight due to post translational modifications, post translation cleavages, relative charges, and other experimental factors.
Description
Novus Biologicals Rabbit ZBTB20 Antibody - BSA Free (NBP2-20936) is a polyclonal antibody validated for use in IHC, WB and ICC/IF. Anti-ZBTB20 Antibody: Cited in 1 publication. All Novus Biologicals antibodies are covered by our 100% guarantee.
Scientific Data Images for ZBTB20 Antibody - BSA Free
Immunohistochemistry-Paraffin: ZBTB20 Antibody [NBP2-20936]
Immunohistochemistry-Paraffin: ZBTB20 Antibody [NBP2-20936] - Mouse hippocampus. ZBTB20 stained by ZBTB20 antibody diluted at 1:1000. Antigen Retrieval: Citrate buffer, pH 6.0, 15 min.Immunocytochemistry/ Immunofluorescence: ZBTB20 Antibody [NBP2-20936]
Immunocytochemistry/Immunofluorescence: ZBTB20 Antibody [NBP2-20936] - ZBTB20 antibody detects ZBTB20 protein by immunofluorescent analysis. Sample: DIV10 rat E18 primary hippocampal neuron cells were fixed in 4% paraformaldehyde at RT for 15 min. Green: ZBTB20 stained by ZBTB20 antibody diluted at 1:500. Red: Tau, stained by Tau antibody diluted at 1:500. Blue: Fluoroshield with DAPI.Immunohistochemistry-Paraffin: ZBTB20 Antibody [NBP2-20936]
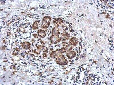
Immunohistochemistry-Paraffin: ZBTB20 Antibody [NBP2-20936] - Human breast cancer, using ZBTB20 antibody at 1:750 dilution. Antigen Retrieval: Trilogy™ (EDTA based, pH 8.0) buffer, 15min.Applications for ZBTB20 Antibody - BSA Free
Application
Recommended Usage
Immunocytochemistry/ Immunofluorescence
1:100-1:1000
Immunohistochemistry
1:100-1:1000
Immunohistochemistry-Paraffin
1:100-1:1000
Knockdown Validated
Reported in scientific publication (PMID: 32363359)
Western Blot
1:500-1:3000
Formulation, Preparation, and Storage
Purification
Antigen Affinity-purified
Formulation
PBS, 20% Glycerol
Format
BSA Free
Preservative
0.025% Proclin 300
Concentration
Concentrations vary lot to lot. See vial label for concentration. If unlisted please contact technical services.
Shipping
The product is shipped with polar packs. Upon receipt, store it immediately at the temperature recommended below.
Stability & Storage
Aliquot and store at -20C or -80C. Avoid freeze-thaw cycles.
Background: ZBTB20
Alternate Names
BTB/POZ zinc finger protein DPZF, dendritic cell-derived BTB/POZ zinc finger, Dendritic-derived BTB/POZ zinc finger protein, DPZFZinc finger protein 288ZNF288DKFZp566F123, FLJ26458, HOF, ODA-8S, zinc finger and BTB domain containing 20, zinc finger and BTB domain-containing protein 20
Gene Symbol
ZBTB20
Additional ZBTB20 Products
Product Documents for ZBTB20 Antibody - BSA Free
Product Specific Notices for ZBTB20 Antibody - BSA Free
This product is for research use only and is not approved for use in humans or in clinical diagnosis. Primary Antibodies are guaranteed for 1 year from date of receipt.
Loading...
Loading...
Loading...
Loading...
⚠ WARNING: This product can expose you to chemicals including mercury, which is known to the State of California to cause reproductive toxicity with developmental effects. For more information go to www.P65Warnings.ca.gov.