ZBP1/DLM-1/DAI Antibody - BSA Free
Novus Biologicals, part of Bio-Techne | Catalog # NBP1-76854
Conjugate
Catalog #
Key Product Details
Species Reactivity
Validated:
Human, Mouse, Rat
Cited:
Mouse
Applications
Validated:
Immunohistochemistry, Immunohistochemistry-Paraffin, Western Blot, ELISA, Immunocytochemistry/ Immunofluorescence, Knockdown Validated
Cited:
Western Blot, Knockdown Validated
Label
Unconjugated
Antibody Source
Polyclonal Rabbit IgG
Format
BSA Free
Concentration
1 mg/ml
Product Specifications
Immunogen
Antibody was raised against an 18 amino acid synthetic peptide from near the carboxy terminus of human ZBP1. The immunogen is located within the last 50 amino acids of ZBP1. Amino Acid Squence: TPSHSKLTPKLETMTLGN
Specificity
Multiple isoforms of ZBP1 are known to exist.
Clonality
Polyclonal
Host
Rabbit
Isotype
IgG
Theoretical MW
42 kDa.
Disclaimer note: The observed molecular weight of the protein may vary from the listed predicted molecular weight due to post translational modifications, post translation cleavages, relative charges, and other experimental factors.
Disclaimer note: The observed molecular weight of the protein may vary from the listed predicted molecular weight due to post translational modifications, post translation cleavages, relative charges, and other experimental factors.
Description
Novus Biologicals Rabbit ZBP1/DLM-1/DAI Antibody - BSA Free (NBP1-76854) is a polyclonal antibody validated for use in IHC, WB, ELISA and ICC/IF. Anti-ZBP1/DLM-1/DAI Antibody: Cited in 6 publications. All Novus Biologicals antibodies are covered by our 100% guarantee.
Scientific Data Images for ZBP1/DLM-1/DAI Antibody - BSA Free
Western Blot: ZBP1/DLM-1/DAI AntibodyBSA Free [NBP1-76854]
Western Blot: ZBP1/DLM-1/DAI Antibody [NBP1-76854] - Mouse small intestine tissue lysate with Z DNA binding protein antibody at (A) 0.5, (B) 1 and (C) 2 ug/ml.Immunohistochemistry-Paraffin: ZBP1/DLM-1/DAI Antibody - BSA Free [NBP1-76854]
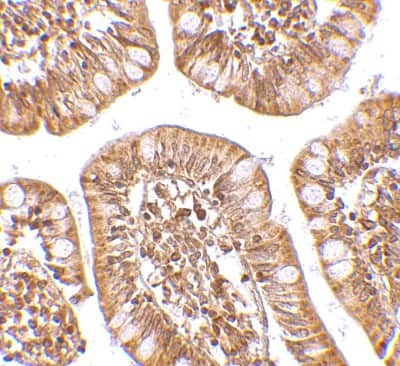
Immunohistochemistry-Paraffin: ZBP1/DLM-1/DAI Antibody [NBP1-76854] - Human small intestine tissue with Z DNA binding protein antibody at 2.5 ug/ml.Immunocytochemistry/ Immunofluorescence: ZBP1/DLM-1/DAI Antibody - BSA Free [NBP1-76854] -
Immunocytochemistry/ Immunofluorescence: ZBP1/DLM-1/DAI Antibody - BSA Free [NBP1-76854] - Immunofluorescence of ZBP1/DLM-1/DAI in Human Small Intestine tissue with ZBP1/DLM-1/DAI antibody at 20 ug/mL.Applications for ZBP1/DLM-1/DAI Antibody - BSA Free
Application
Recommended Usage
ELISA
1:100-1:2000
Immunocytochemistry/ Immunofluorescence
20 ug/ml
Immunohistochemistry
2.5 ug/ml
Immunohistochemistry-Paraffin
2.5 ug/ml
Western Blot
0.5-2 ug/ml
Formulation, Preparation, and Storage
Purification
Peptide affinity purified
Formulation
PBS
Format
BSA Free
Preservative
0.02% Sodium Azide
Concentration
1 mg/ml
Shipping
The product is shipped with polar packs. Upon receipt, store it immediately at the temperature recommended below.
Stability & Storage
Store at 4C.
Background: ZBP1/DLM-1/DAI
Long Name
Zipcode-binding Protein 1
Alternate Names
DAI, DLM-1
Gene Symbol
ZBP1
UniProt
Additional ZBP1/DLM-1/DAI Products
Product Documents for ZBP1/DLM-1/DAI Antibody - BSA Free
Product Specific Notices for ZBP1/DLM-1/DAI Antibody - BSA Free
This product is for research use only and is not approved for use in humans or in clinical diagnosis. Primary Antibodies are guaranteed for 1 year from date of receipt.
Loading...
Loading...
Loading...
Loading...